扫码关注公众号           扫码咨询技术支持           扫码咨询技术服务
  
客服热线:400-901-9800  客服QQ:4009019800  技术答疑  技术支持  质量反馈  关于我们  联系我们
产品中心-北京博奥森生物技术有限公司
首页 > 产品中心 > 一抗 > 产品信息
Factor VIII Rabbit pAb (bs-2974R)  
订购热线:400-901-9800
订购邮箱:sales@bioss.com.cn
订购QQ:  400-901-9800
技术支持:techsupport@bioss.com.cn
50ul/1180.00元
100ul/1980.00元
200ul/2800.00元
大包装/询价

产品编号 bs-2974R
英文名称 Factor VIII Rabbit pAb
中文名称 凝血因子8/第八凝血因子/第八因子相关抗原抗体
别    名 coagulation factor VIII; Ahf; Antihemophilic factor; Coagulation factor VIII; Coagulation factor VIII associated protein b; Coagulation factor VIII isoform b; Coagulation factor VIII procoagulent component; Coagulation factor VIIIc; Dna segment on chromosome x unique 1253 expressed sequence; Dxs1253e; F8; F8 protein; F8b; F8c; Factor VIII F8b; FactorVIII; FVIII; Hema coagulation factor VIIIc procoagulent component; Hemophilia a; Hemophilia classic; OTTHUMP00000061446; Procoagulant component; FⅧ-Ag; Factor VIIIa heavy chain, 200 kDa isoform; Factor VIIIa heavy chain, 92 kDa isoform; Factor VIII B chain; AHF; DXS1253E; F8B; F8C; FVIII; HEMA; FA8_HUMAN.  
Specific References  (7)     |     bs-2974R has been referenced in 7 publications.
[IF=5.818] Xiaoxiao Song. et al. Effects of Highly Pathogenic Porcine Reproductive and Respiratory Syndrome Virus Infection on the Surface Glycoprofiling of Porcine Pulmonary Microvascular Endothelial Cells. VIRUSES-BASEL. 2022 Nov;14(11):2569  IF ;  Pig.  
[IF=5.201] Qiong Li. et al. CD73+ Mesenchymal Stem Cells Ameliorate Myocardial Infarction by Promoting Angiogenesis. Front Cell Dev Biol. 2021; 9: 637239  WB,IHC ;  Rat.  
[IF=4.75] Zhao, Yuechao, et al. "Estrogen-Induced CCN1 is Critical for Establishment of Endometriosis-like Lesions in Mice." Molecular Endocrinology (2014).  IHC-P ;  Mouse.  
[IF=4.51] Ning et al. Calcyclin-binding protein inhibits proliferation, tumorigenicity, and invasion of gastric cancer. (2007) Mol.Cancer.Re. 5:1254-62  IHC-P ;  Mouse.  
[IF=2.81] Zhu et al. Stereoselective Regulation of P-gp Activity by Clausenamide Enantiomers in Caco-2, KB/KBv and Brain Microvessel Endothelial Cells. (2015) PLoS.On. 10:e0135866  IF(ICC) ;  Rat.  
[IF=1.92] Tang, Xi-lan, et al. "Protective Effect of Kaempferol on LPS plus ATP-Induced Inflammatory Response in Cardiac Fibroblasts." Inflammation: 1-8.  Rat.  
[IF=1.709] Nabeshima CK et al. Immunohistological study of the effect of vascular Endothelial Growth Factor on the angiogenesis of mature root canals in rat molars.J Appl Oral Sci. 2018;26:e20170437.  IHC ;  Rat.  
研究领域 肿瘤  心血管  细胞生物  信号转导  细胞表面分子  血管内皮细胞  肿瘤细胞生物标志物  
抗体来源 Rabbit
克隆类型 Polyclonal
克 隆 号
交叉反应 Mouse (predicted: Human,Rat,Rabbit,Pig,Cow,Dog)
产品应用 IHC-P=1:100-500,IHC-F=1:100-500,IF=1:100-500
not yet tested in other applications.
optimal dilutions/concentrations should be determined by the end user.
理论分子量 200/259 kDa
检测分子量
细胞定位 细胞外基质 分泌型蛋白 
性    状 Liquid
浓    度 1mg/ml
免 疫 原 KLH conjugated synthetic peptide derived from Rabbit Factor VIII: 85-190/2351 
亚    型 IgG
纯化方法 affinity purified by Protein A
缓 冲 液 0.01M TBS (pH7.4) with 1% BSA, 0.02% Proclin300 and 50% Glycerol.
保存条件 Shipped at 4℃. Store at -20℃ for one year. Avoid repeated freeze/thaw cycles.
注意事项 This product as supplied is intended for research use only, not for use in human, therapeutic or diagnostic applications.
PubMed PubMed
产品介绍 This gene encodes coagulation factor VIII, which participates in the intrinsic pathway of blood coagulation; factor VIII is a cofactor for factor IXa which, in the presence of Ca+2 and phospholipids, converts factor X to the activated form Xa. This gene produces two alternatively spliced transcripts. Transcript variant 1 encodes a large glycoprotein, isoform a, which circulates in plasma and associates with von Willebrand factor in a noncovalent complex. This protein undergoes multiple cleavage events. Transcript variant 2 encodes a putative small protein, isoform b, which consists primarily of the phospholipid binding domain of factor VIIIc. This binding domain is essential for coagulant activity. Defects in this gene results in hemophilia A, a common recessive X-linked coagulation disorder. [provided by RefSeq, Jul 2008].

Function:
Factor VIII, along with calcium and phospholipid, acts as a cofactor for factor IXa when it converts factor X to the activated form, factor Xa.

Subunit:
Interacts with vWF. vWF binding is essential for the stabilization of F8 in circulation.

Subcellular Location:
Secreted, extracellular space.

Post-translational modifications:
Sulfation on Tyr-1699 is essential for binding vWF.

DISEASE:
Hemophilia A (HEMA) [MIM:306700]: A disorder of blood coagulation characterized by a permanent tendency to hemorrhage. About 50% of patients have severe hemophilia resulting in frequent spontaneous bleeding into joints, muscles and internal organs. Less severe forms are characterized by bleeding after trauma or surgery. Note=The disease is caused by mutations affecting the gene represented in this entry. Of particular interest for the understanding of the function of F8 is the category of CRM (cross-reacting material) positive patients (approximately 5%) that have considerable amount of F8 in their plasma (at least 30% of normal), but the protein is non-functional; i.e. the F8 activity is much less than the plasma protein level. CRM-reduced is another category of patients in which the F8C antigen and activity are reduced to approximately the same level. Most mutations are CRM negative, and probably affect the folding and stability of the protein.

Similarity:
Belongs to the multicopper oxidase family.
Contains 3 F5/8 type A domains.
Contains 2 F5/8 type C domains.
Contains 6 plastocyanin-like domains.

Database links:

Entrez Gene: 403875 Dog

Entrez Gene: 2157 Human

Entrez Gene: 14069 Mouse

Entrez Gene: 397339 Pig

Omim: 300841 Human

SwissProt: O18806 Dog

SwissProt: P00451 Human

SwissProt: Q06194 Mouse

SwissProt: P12263 Pig

Unigene: 654450 Human

Unigene: 1805 Mouse



第VIII因子抗体用于血管源性良性和恶性肿瘤的诊断,也用于遗传性血友病的研究。在正常动脉、静脉、毛细血管及心脏内细胞的血管内皮细胞上阳性表达。第Ⅷ因子相关抗原抗体在巨核细胞及血小板上也有表达。 第Ⅷ因子相关抗原:是一种糖蛋白,广泛存在于血管上皮、肝脏、脾窦上皮、及淋巴内皮细胞,是血管内皮细胞及其内源性良恶性肿瘤的特异性标记。主要用于血管原性良恶性肿瘤和血管肉瘤的诊断。少数副睾、子宫和输卵管的腺癌样瘤也有表达.
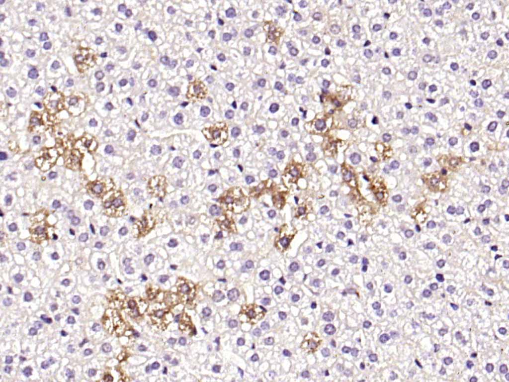
产品图片
Paraformaldehyde-fixed, paraffin embedded (mouse liver); Antigen retrieval by boiling in sodium citrate buffer (pH6.0) for 15min; Block endogenous peroxidase by 3% hydrogen peroxide for 20 minutes; Blocking buffer (normal goat serum) at 37°C for 30min; Antibody incubation with (Factor VIII) Polyclonal Antibody, Unconjugated (bs-2974R) at 1:200 overnight at 4°C, followed by operating according to SP Kit(Rabbit) (sp-0023) instructionsand DAB staining.
版权所有 2004-2026 www.bioss.com.cn 北京博奥森生物技术有限公司
通过国际质量管理体系ISO 9001:2015 GB/T 19001-2016    证书编号: 00124Q34771R2M/1100
通过国际医疗器械-质量管理体系ISO 13485:2016 GB/T 42061-2022     证书编号: CQC24QY20047R0M/1100
京ICP备05066980号-1         京公网安备110107000727号