扫码关注公众号           扫码咨询技术支持           扫码咨询技术服务
  
客服热线:400-901-9800  客服QQ:4009019800  技术答疑  技术支持  质量反馈  关于我们  联系我们
产品中心-北京博奥森生物技术有限公司
首页 > 产品中心 > 一抗 > 产品信息
FSCN1 Rabbit pAb (bs-6848R)  
订购热线:400-901-9800
订购邮箱:sales@bioss.com.cn
订购QQ:  400-901-9800
技术支持:techsupport@bioss.com.cn
50ul/1180.00元
100ul/1980.00元
200ul/2800.00元
大包装/询价

产品编号 bs-6848R
英文名称 FSCN1 Rabbit pAb
中文名称 肌动蛋白结合蛋白Fascin抗体
别    名 55 kDa actin bundling protein; 55 kDa actin-bundling protein; Actin bundling protein; FAN 1; Fscin1; FAN1; Fascin 1; Fascin; Fascin homolog 1 actin bundling protein(Strongylocentrotus purpuratus); Fascin homolog 1; Fascin1; FLJ38511; FSCN 1; FSCN1_HUMAN; HSN; p55; Singed(Drosophila) like(sea urchin fascin homolog like); Singed drosophila homolog like; Singed like(fascin homolog sea urchin)(Drosophila); Singed like(fascin homolog sea urchin); Singed like protein; Singed-like protein; SNL; Strongylocentrotus purpuratus.  
Specific References  (1)     |     bs-6848R has been referenced in 1 publications.
[IF=3.91] Dong, Wei-tao, et al. "iTRAQ proteomic analysis of the interactions between Bombyx mori nuclear polyhedrosis virus and silkworm." Journal of Proteomics (2017).  WB ;  Other Species.  
研究领域 肿瘤  细胞生物  信号转导  细胞骨架  
抗体来源 Rabbit
克隆类型 Polyclonal
克 隆 号
交叉反应 Mouse (predicted: Human,Rat,Dog)
产品应用 IHC-P=1:100-500,IHC-F=1:100-500,IF=1:100-500
not yet tested in other applications.
optimal dilutions/concentrations should be determined by the end user.
理论分子量 55 kDa
检测分子量
细胞定位 细胞浆 
性    状 Liquid
浓    度 1mg/ml
免 疫 原 KLH conjugated synthetic peptide derived from human FSCN1: 401-493/493 
亚    型 IgG
纯化方法 affinity purified by Protein A
缓 冲 液 0.01M TBS (pH7.4) with 1% BSA, 0.02% Proclin300 and 50% Glycerol.
保存条件 Shipped at 4℃. Store at -20℃ for one year. Avoid repeated freeze/thaw cycles.
注意事项 This product as supplied is intended for research use only, not for use in human, therapeutic or diagnostic applications.
PubMed PubMed
产品介绍 Fascin is a highly conserved actin-bundling protein. Fascin, encoded by the human homolog for sn (hsn) gene, has been localized to microspikes and stress fibers of cultured cells where it is thought to be involved in the formation of microfilament bundles. It is expressed predominantly in dendritic cells. Lymphoid cells, myeloid cells and plasma cells are negative. However, Reed Sternberg cells in Hodgkin’s lymphoma are positive for fascin staining. Epstein-Barr virus may induce expression of fascin in B cells.

Function:
Organizes filamentous actin into bundles with a minimum of 4.1:1 actin/fascin ratio. Plays a role in the organization of actin filament bundles and the formation of microspikes, membrane ruffles, and stress fibers. Important for the formation of a diverse set of cell protrusions, such as filopodia, and for cell motility and migration.

Subunit:
Associates with beta-catenin. Interacts with PLXNB3.

Subcellular Location:
Cytoplasm, cytoskeleton. Cell projection, filopodium. Cell projection, invadopodium. Cytoplasm, cytosol. Note=In glioma cells, partially colocalizes with F-actin stress fibers in the cytosol.

Tissue Specificity:
Ubiquitous.

Post-translational modifications:
Phosphorylation on Ser-39 inhibits the actin-binding ability of fascin.

Similarity:
Belongs to the fascin family.

SWISS:
Q16658

Gene ID:
6624

Database links:

Entrez Gene: 6624 Human

Entrez Gene: 14086 Mouse

Entrez Gene: 683788 Rat

Omim: 602689 Human

SwissProt: Q16658 Human

SwissProt: Q61553 Mouse

SwissProt: P85845 Rat

Unigene: 118400 Human

Unigene: 289707 Mouse

Unigene: 199526 Rat



Fascin基因属于fascins家族,其蛋白质编码产物是一种结构独特、进化保守的肌动蛋白(actin)交联蛋白,位于细胞膜皱褶、微棘及应力纤维,在各种转化细胞中促使细胞膜突起并增加细胞运动性。近年来研究发现,fascin在许多上皮来源的肿瘤组织细胞中表达上调,在肿瘤的进展中起重要作用。
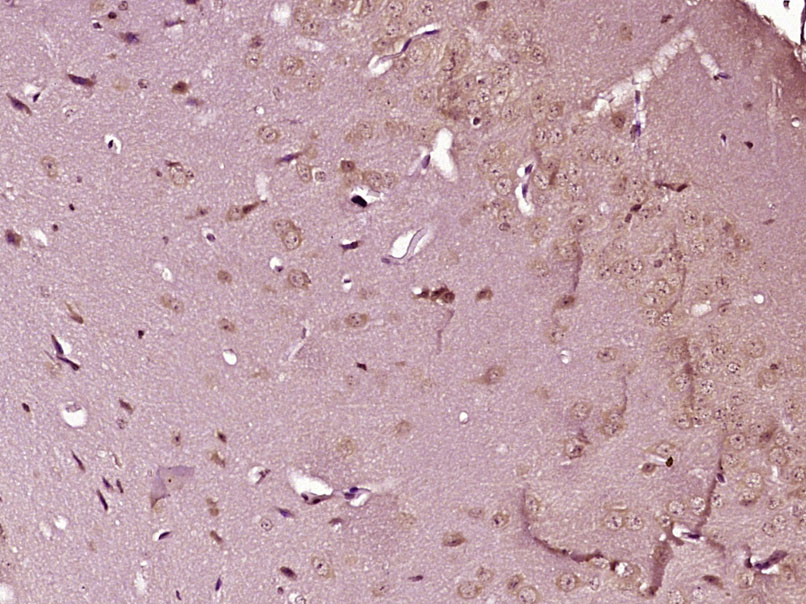
产品图片
Paraformaldehyde-fixed, paraffin embedded (Mouse brain); Antigen retrieval by boiling in sodium citrate buffer (pH6.0) for 15min; Block endogenous peroxidase by 3% hydrogen peroxide for 20 minutes; Blocking buffer (normal goat serum) at 37°C for 30min; Antibody incubation with (Fascin) Polyclonal Antibody, Unconjugated (bs-6848R) at 1:400 overnight at 4°C, followed by operating according to SP Kit(Rabbit) (sp-0023) instructionsand DAB staining.
版权所有 2004-2026 www.bioss.com.cn 北京博奥森生物技术有限公司
通过国际质量管理体系ISO 9001:2015 GB/T 19001-2016    证书编号: 00124Q34771R2M/1100
通过国际医疗器械-质量管理体系ISO 13485:2016 GB/T 42061-2022     证书编号: CQC24QY20047R0M/1100
京ICP备05066980号-1         京公网安备110107000727号