扫码关注公众号           扫码咨询技术支持           扫码咨询技术服务
  
客服热线:400-901-9800  客服QQ:4009019800  技术答疑  技术支持  质量反馈  关于我们  联系我们
产品中心-北京博奥森生物技术有限公司
首页 > 产品中心 > 一抗 > 产品信息
CK12 Rabbit pAb (bs-4625R)  
订购热线:400-901-9800
订购邮箱:sales@bioss.com.cn
订购QQ:  400-901-9800
技术支持:techsupport@bioss.com.cn
50ul/1180.00元
100ul/1980.00元
200ul/2800.00元
大包装/询价

产品编号 bs-4625R
英文名称 CK12 Rabbit pAb
中文名称 细胞角蛋白12抗体
别    名 65 kDa cytokeratin; CK 12; CK 3; CK12; CK3; Cytokeratin 12; Cytokeratin 3; K12; K3; keratin 12(Meesmann corneal dystrophy); Keratin 12; Keratin 3; Keratin, type I cytoskeletal 12; K1C12_HUMAN; Keratin, type II cytoskeletal 3; KRT12; KRT3.  
Specific References  (3)     |     bs-4625R has been referenced in 3 publications.
[IF=4.658] Fan NW et al. Pigment epithelium-derived factor peptide promotes limbal stem cell proliferation through hedgehog pathway. J Cell Mol Med. 2019 Jul;23(7):4759-4769.  IHF ;  Mouse.  
[IF=3.464] Xiao Yichen. et al. Galectin-3 Is a Crucial Immunological Disease Marker in Patients with Fungal Keratitis. DIS MARKERS. 2022;2022:1380560  IF ;  Human.  
[IF=3.315] Li Z et al. Rapid Differentiation of Multi-Zone Ocular Cells from Human Induced Pluripotent Stem Cells and Generation of Corneal Epithelial and Endothelial Cells. Stem Cells Dev. 2019 Mar 5.  IF ;  Human.  
研究领域 细胞生物  信号转导  细胞类型标志物  细胞骨架  
抗体来源 Rabbit
克隆类型 Polyclonal
克 隆 号
交叉反应 Mouse (predicted: Human,Rat,Rabbit,Dog)
产品应用 IHC-P=1:100-500,IHC-F=1:100-500,IF=1:100-500
not yet tested in other applications.
optimal dilutions/concentrations should be determined by the end user.
理论分子量 54 kDa
检测分子量
细胞定位 细胞浆 细胞外基质 分泌型蛋白 
性    状 Liquid
浓    度 1mg/ml
免 疫 原 KLH conjugated synthetic peptide derived from human CK12/Cytokeratin 12: 151-250/494 
亚    型 IgG
纯化方法 affinity purified by Protein A
缓 冲 液 0.01M TBS (pH7.4) with 1% BSA, 0.02% Proclin300 and 50% Glycerol.
保存条件 Shipped at 4℃. Store at -20℃ for one year. Avoid repeated freeze/thaw cycles.
注意事项 This product as supplied is intended for research use only, not for use in human, therapeutic or diagnostic applications.
PubMed PubMed
产品介绍 Cytokeratin 12 is a member of the intermediate filament family of proteins and is a heterotetramer of two type I and two type II keratins. Keratin 3 is specifically expressed in the corneal epithelium with family member KRT12. Cytokeratin 12 encodes the type I intermediate filament chain keratin 12, expressed in corneal epithelia. Defects in KRT3 and KRT12 are a cause of Meesmann corneal dystrophy (MCD), an autosomal dominant disease that causes fragility of the anterior corneal epithelium. Symptoms occur in adulthood and include rupture of the corneal microcysts that may lead to photophobia, contact lens intolerance and intermittent diminution of visual acuity. Defects in KRT12 are a cause of juvenile epithelial corneal dystrophy of Meesmann (MCD)

Function:
May play a unique role in maintaining the normal corneal epithelial function. Together with KRT3, essential for the maintenance of corneal epithelium integrity (By similarity).

Subunit:
Heterotetramer of two type I and two type II keratins. Keratin-3 associates with keratin-12.

Tissue Specificity:
Cornea specific.

DISEASE:
Corneal dystrophy, Meesmann (MECD) [MIM:122100]: An autosomal dominant corneal disease characterized by fragility of the anterior corneal epithelium. Patients are usually asymptomatic until adulthood when rupture of the corneal microcysts may cause erosions, producing clinical symptoms such as photophobia, contact lens intolerance and intermittent diminution of visual acuity. Rarely, subepithelial scarring causes irregular corneal astigmatism and permanent visual impairment. Histological examination shows a disorganized and thickened epithelium with widespread cytoplasmic vacuolation and numerous small, round, debris-laden intraepithelial cysts. Note=The disease is caused by mutations affecting the gene represented in this entry.

Similarity:
Belongs to the intermediate filament family.

SWISS:
Q99456

Gene ID:
3859

Database links:

Entrez Gene: 3859 Human

Entrez Gene: 268482 Mouse

Entrez Gene: 360625 Rat

Omim: 601687 Human

SwissProt: Q99456 Human

SwissProt: Q64291 Mouse

SwissProt: Q6IFW5 Rat

Unigene: 66739 Human

Unigene: 436651 Mouse

Unigene: 94852 Rat



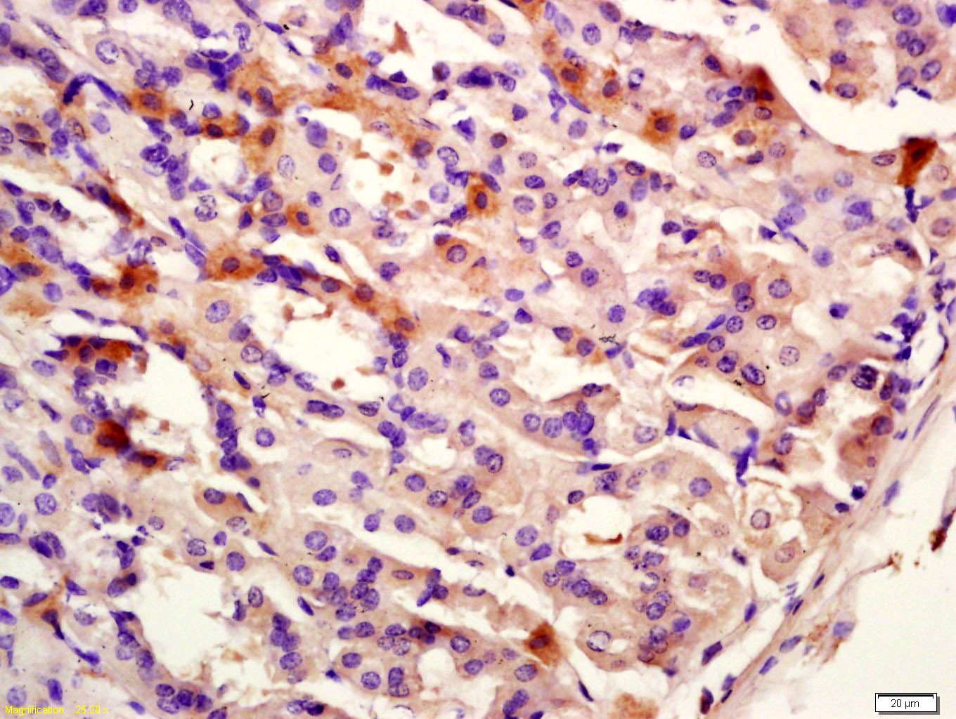
产品图片
Tissue/cell: mouse stomach tissue; 4% Paraformaldehyde-fixed and paraffin-embedded; Antigen retrieval: citrate buffer ( 0.01M, pH 6.0 ), Boiling bathing for 15min; Block endogenous peroxidase by 3% Hydrogen peroxide for 30min; Blocking buffer (normal goat serum,C-0005) at 37℃ for 20 min; Incubation: Anti-CK12 Polyclonal Antibody, Unconjugated(bs-4625R) 1:200, overnight at 4°C, followed by conjugation to the secondary antibody(SP-0023) and DAB(C-0010) staining
版权所有 2004-2026 www.bioss.com.cn 北京博奥森生物技术有限公司
通过国际质量管理体系ISO 9001:2015 GB/T 19001-2016    证书编号: 00124Q34771R2M/1100
通过国际医疗器械-质量管理体系ISO 13485:2016 GB/T 42061-2022     证书编号: CQC24QY20047R0M/1100
京ICP备05066980号-1         京公网安备110107000727号