扫码关注公众号           扫码咨询技术支持           扫码咨询技术服务
  
客服热线:400-901-9800  客服QQ:4009019800  技术答疑  技术支持  质量反馈  关于我们  联系我们
产品中心-北京博奥森生物技术有限公司
首页 > 产品中心 > 一抗 > 产品信息
DOCK1 Rabbit pAb (bs-7110R)  
订购热线:400-901-9800
订购邮箱:sales@bioss.com.cn
订购QQ:  400-901-9800
技术支持:techsupport@bioss.com.cn
50ul/1180.00元
100ul/1980.00元
200ul/2800.00元
大包装/询价

产品编号 bs-7110R
英文名称 DOCK1 Rabbit pAb
中文名称 细胞质分裂付出蛋白1抗体
别    名 180 kDa protein downstream of CRK; Ced5; Dedicator of Cytokinesis 1; Dedicator of cytokinesis protein 1; DOCK 1; DOCK-1; DOCK 180; DOCK1; DOCK1_HUMAN; DOCK180.  
研究领域 肿瘤  细胞生物  信号转导  细胞凋亡  细胞自噬  G蛋白信号  
抗体来源 Rabbit
克隆类型 Polyclonal
克 隆 号
交叉反应 Mouse (predicted: Human,Rat,Sheep,Cow,Chicken,Dog,Horse)
产品应用 IHC-P=1:100-500,IHC-F=1:100-500,IF=1:100-500
not yet tested in other applications.
optimal dilutions/concentrations should be determined by the end user.
理论分子量 215 kDa
检测分子量
细胞定位 细胞浆 细胞膜 
性    状 Liquid
浓    度 1mg/ml
免 疫 原 KLH conjugated synthetic peptide derived from human DOCK1: 465-550/1865 
亚    型
纯化方法 affinity purified by Protein A
缓 冲 液 0.01M TBS (pH7.4) with 1% BSA, 0.02% Proclin300 and 50% Glycerol.
保存条件 Shipped at 4℃. Store at -20℃ for one year. Avoid repeated freeze/thaw cycles.
注意事项 This product as supplied is intended for research use only, not for use in human, therapeutic or diagnostic applications.
PubMed PubMed
产品介绍 Involved in cytoskeletal rearrangements required for phagocytosis of apoptotic cells and cell motility. Functions as a guanine nucleotide exchange factor (GEF), which activates Rac Rho small GTPases by exchanging bound GDP for free GTP. Its GEF activity may be enhanced by ELMO1.
Tissue specificity: Highly expressed in placenta, lung, kidney, pancreas and ovary. Expressed at intermediate level in thymus, testes and colon.

Function:
Involved in cytoskeletal rearrangements required for phagocytosis of apoptotic cells and cell motility. Functions as a guanine nucleotide exchange factor (GEF), which activates Rac Rho small GTPases by exchanging bound GDP for free GTP. Its GEF activity may be enhanced by ELMO1.

Subunit:
Interacts with the SH3 domains of CRK and NCK2 via multiple sites. Interacts with nucleotide-free RAC1 via its DHR-2 domain. Interacts with ELMO1, ELMO2 and probably ELMO3 via its SH3 domain. Interacts with RAC1 and BAI1.

Subcellular Location:
Cytoplasm (Probable). Membrane (Probable). Note=Recruited to membranes via its interaction with phosphatidylinositol 3,4,5-trisphosphate (Probable).

Tissue Specificity:
Highly expressed in placenta, lung, kidney, pancreas and ovary. Expressed at intermediate level in thymus, testes and colon.

Similarity:
Belongs to the DOCK family.
Contains 1 DHR-1 domain.
Contains 1 DHR-2 domain.
Contains 1 SH3 domain.

SWISS:
Q14185

Gene ID:
1793

Database links:

Entrez Gene: 1793 Human

Entrez Gene: 330662 Mouse

Entrez Gene: 309081 Rat

Omim: 601403 Human

SwissProt: Q14185 Human

SwissProt: Q8BUR4 Mouse

Unigene: 159195 Human

Unigene: 645702 Human

Unigene: 436572 Mouse



                                    乳腺癌转移的新标记物DOCK1
    乳腺癌是一种常常发生转移的癌症。将近90%的乳腺癌患者都因为癌症扩散而死,因此,理解这一危险过程的细胞和分子基础机制是十分重要的。
    近日,加拿大蒙特利尔临床研究所(Institut de recherches cliniques de Montreal, IRCM)的科学家在乳腺癌研究方面取得了一个重要的发现,他们确定了,一种名为DOCK1的蛋白质可以作为潜在的靶标用于减少乳腺癌患者的癌转移。相关研究结果刊登在了近期出版的《PNAS》上。
    研究人员在乳腺癌治疗方面尽管已经取得了重要的进展,但是对于癌症扩散的机制却知之甚少。科学家正在试图确定能够调节癌转移过程的蛋白质,因为它们或许可以作为新的药物靶标,并与现有的方法相结合促进治疗的效果。
    在这项研究中,2个主要的癌症亚型——HER-2+型和Basal-like型,很容易转移和复发,并最终导致患者的低生存率。该调查以HER-2+(人类表皮生长因子受体2)型为研究对象, 这代表了大约25%的乳腺癌病例。 HER2阳性肿瘤比其它类型的肿瘤更倾向于快速的发展和扩散。
    研究人员解释到,通过研究HER2+乳腺癌小鼠模型,确定了DOCK1蛋白质是癌转移的一个重要的调控因子。当去除了小鼠中的这一蛋白质后,乳腺癌的肺转移大大减少了。此外,研究发现DOCK1蛋白质有助于肿瘤的生长。
    为了证明DOCK1的表达与乳腺癌预后之间的关系,研究人员对包含患者基因信息的几个数据库进行了分析。结果发现,在HER-2+型或Basal-like型乳腺癌中,高水平的DOCK1与较差的预后以及疾病的复发有关。
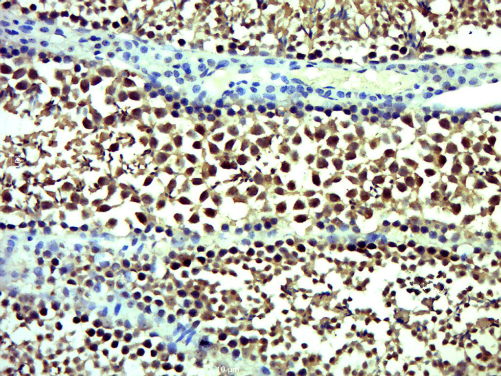
产品图片
Paraformaldehyde-fixed, paraffin embedded (Mouse testis); Antigen retrieval by boiling in sodium citrate buffer (pH6.0) for 15min; Block endogenous peroxidase by 3% hydrogen peroxide for 20 minutes; Blocking buffer (normal goat serum) at 37°C for 30min; Antibody incubation with (DOCK1) Polyclonal Antibody, Unconjugated (bs-7110R) at 1:500 overnight at 4°C, followed by a conjugated secondary (sp-0023) for 20 minutes and DAB staining.
版权所有 2004-2026 www.bioss.com.cn 北京博奥森生物技术有限公司
通过国际质量管理体系ISO 9001:2015 GB/T 19001-2016    证书编号: 00124Q34771R2M/1100
通过国际医疗器械-质量管理体系ISO 13485:2016 GB/T 42061-2022     证书编号: CQC24QY20047R0M/1100
京ICP备05066980号-1         京公网安备110107000727号