扫码关注公众号           扫码咨询技术支持           扫码咨询技术服务
  
客服热线:400-901-9800  客服QQ:4009019800  技术答疑  技术支持  质量反馈  关于我们  联系我们
产品中心-北京博奥森生物技术有限公司
首页 > 产品中心 > 一抗 > 产品信息
SCGB3A1 Rabbit pAb (bs-6397R)  
订购热线:400-901-9800
订购邮箱:sales@bioss.com.cn
订购QQ:  400-901-9800
技术支持:techsupport@bioss.com.cn
50ul/1180.00元
100ul/1980.00元
200ul/2800.00元
大包装/询价

产品编号 bs-6397R
英文名称 SCGB3A1 Rabbit pAb
中文名称 结合珠蛋白家族3A1抗体
别    名 Cytokine high in normal 1; Cytokine HIN-1; Cytokine HIN1; High in normal 1; HIN 1; HIN1; LU105; MGC87867; Pneumo secretory protein 2; PNSP 2; PnSP-2; PNSP2; Secretoglobin family 3A member 1; Secretoglobin family 3A member 1 precursor; Secretoglobin, family 3A, member 1; SG3A1_HUMAN; UGRP2; Uteroglobin related protein 2; Uteroglobin-related protein 2.  
Specific References  (1)     |     bs-6397R has been referenced in 1 publications.
[IF=0] Hongu, Tsunaki. et al. Perivascular tenascin C triggers sequential activation of macrophages and endothelial cells to generate a pro-metastatic vascular niche in the lungs. Nature Cancer. 2022 Apr;3(4):486-504  IHC ;  Human.  
研究领域 细胞生物  生长因子和激素  细胞周期蛋白  结合蛋白  
抗体来源 Rabbit
克隆类型 Polyclonal
克 隆 号
交叉反应 Human
产品应用 IHC-P=1:100-500,IHC-F=1:100-500,IF=1:100-500
not yet tested in other applications.
optimal dilutions/concentrations should be determined by the end user.
理论分子量 8.2 kDa
检测分子量
细胞定位 分泌型蛋白 
性    状 Liquid
浓    度 1mg/ml
免 疫 原 KLH conjugated synthetic peptide derived from human SCGB3A1: 51-104/104 
亚    型 IgG
纯化方法 affinity purified by Protein A
缓 冲 液 0.01M TBS (pH7.4) with 1% BSA, 0.02% Proclin300 and 50% Glycerol.
保存条件 Shipped at 4℃. Store at -20℃ for one year. Avoid repeated freeze/thaw cycles.
注意事项 This product as supplied is intended for research use only, not for use in human, therapeutic or diagnostic applications.
PubMed PubMed
产品介绍 SCGB3A1 is a potential growth inhibitory cytokine.

Function:
Potential growth inhibitory cytokine.

Subcellular Location:
Secreted.

Tissue Specificity:
Highly expressed in breast tissues. Absent in breast cancer cell lines.

Similarity:
Belongs to the secretoglobin family. UGRP subfamily.

SWISS:
Q96QR1

Gene ID:
92304

Database links:

Entrez Gene: 92304 Human

Omim: 606500 Human

SwissProt: Q96QR1 Human

Unigene: 62492 Human



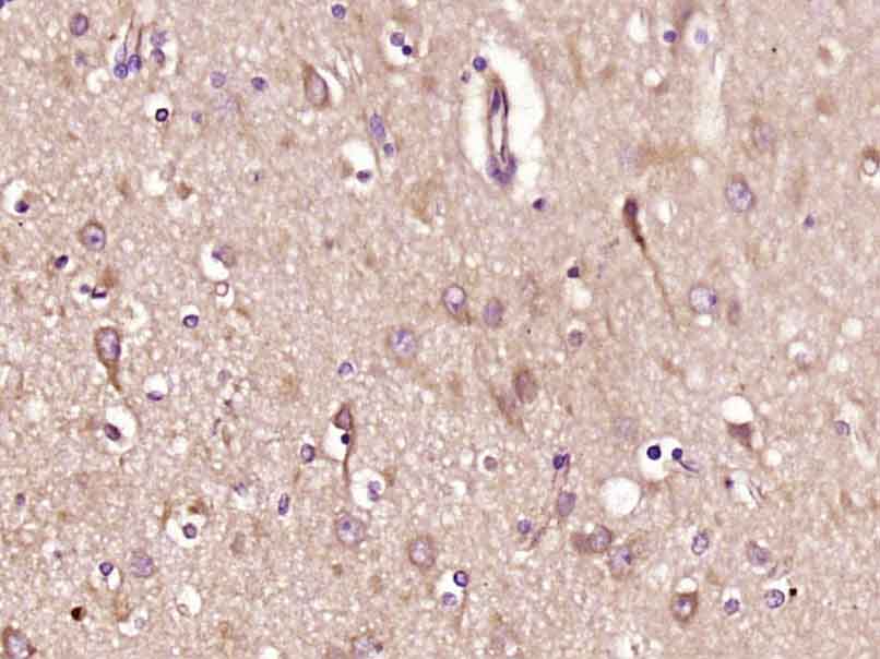
产品图片
Paraformaldehyde-fixed, paraffin embedded (Human brain glioma); Antigen retrieval by boiling in sodium citrate buffer (pH6.0) for 15min; Block endogenous peroxidase by 3% hydrogen peroxide for 20 minutes; Blocking buffer (normal goat serum) at 37°C for 30min; Antibody incubation with (SCGB3A1) Polyclonal Antibody, Unconjugated (bs-6397R) at 1:400 overnight at 4°C, followed by operating according to SP Kit(Rabbit) (sp-0023) instructionsand DAB staining.
版权所有 2004-2026 www.bioss.com.cn 北京博奥森生物技术有限公司
通过国际质量管理体系ISO 9001:2015 GB/T 19001-2016    证书编号: 00124Q34771R2M/1100
通过国际医疗器械-质量管理体系ISO 13485:2016 GB/T 42061-2022     证书编号: CQC24QY20047R0M/1100
京ICP备05066980号-1         京公网安备110107000727号