扫码关注公众号           扫码咨询技术支持           扫码咨询技术服务
  
客服热线:400-901-9800  客服QQ:4009019800  技术答疑  技术支持  质量反馈  关于我们  联系我们
产品中心-北京博奥森生物技术有限公司
首页 > 产品中心 > 一抗 > 产品信息
Retinoic acid induced 17 Rabbit pAb (bs-7709R)  
订购热线:400-901-9800
订购邮箱:sales@bioss.com.cn
订购QQ:  400-901-9800
技术支持:techsupport@bioss.com.cn
50ul/1180.00元
100ul/1980.00元
200ul/2800.00元
大包装/询价

产品编号 bs-7709R
英文名称 Retinoic acid induced 17 Rabbit pAb
中文名称 维甲酸诱导蛋白17抗体
别    名 Zinc finger MIZ domain-containing protein 1; MIZ; PIAS like protein hZimp10; PIAS like protein on chromosome 10; PIAS like protein Zimp10; PIAS-like protein Zimp10; RAI 17; RAI17; RAI-17; Retinoic acid induced 17; Retinoic acid induced protein 17; Retinoic acid-induced protein 17; TRAFIP10; Zimp10; Zinc finger containing Miz1 PIAS like protein on chromosome 10; Zinc finger MIZ domain-containing protein 1; Zinc finger MIZ-type containing 1; Zmiz1; ZMIZ1_HUMAN; hZIMP10; KIAA1224.  
研究领域 细胞生物  细胞周期蛋白  转录调节因子  表观遗传学  
抗体来源 Rabbit
克隆类型 Polyclonal
克 隆 号
交叉反应 Human,Mouse,Rat (predicted: Pig,Sheep,Cow,Chicken,Dog,Horse)
产品应用 IHC-P=1:100-500,IHC-F=1:100-500,IF=1:100-500,Flow-Cyt=1ug/test
not yet tested in other applications.
optimal dilutions/concentrations should be determined by the end user.
理论分子量 115 kDa
检测分子量
细胞定位 细胞核 细胞浆 
性    状 Liquid
浓    度 1mg/ml
免 疫 原 KLH conjugated synthetic peptide derived from human Retinoic acid induced 17: 51-150/1067 
亚    型 IgG
纯化方法 affinity purified by Protein A
缓 冲 液 0.01M TBS (pH7.4) with 1% BSA, 0.02% Proclin300 and 50% Glycerol.
保存条件 Shipped at 4℃. Store at -20℃ for one year. Avoid repeated freeze/thaw cycles.
注意事项 This product as supplied is intended for research use only, not for use in human, therapeutic or diagnostic applications.
PubMed PubMed
产品介绍 Increases ligand-dependent transcriptional activity of AR and promotes AR sumoylation. The stimulation of AR activity is dependent upon sumoylation.
Tissue specificity:Expressed most abundantly in ovary and, at lower levels, in prostate, spleen and testis. Weak expression, if any, in thymus, small intestine, colon and peripheral blood leukocytes.

Function:
Increases ligand-dependent transcriptional activity of AR and promotes AR sumoylation. The stimulation of AR activity is dependent upon sumoylation.

Subunit:
Interacts with AR, but not with ESR1, NR3C1, PGR, THRB nor VDR.

Subcellular Location:
Nucleus speckle. Cytoplasm.

Tissue Specificity:
Expressed most abundantly in ovary and, at lower levels, in prostate, spleen and testis. Weak expression, if any, in thymus, small intestine, colon and peripheral blood leukocytes.

Similarity:
Contains 1 SP-RING-type zinc finger.

Gene ID:
57178

Database links:
UniProtKB/Swiss-Prot: Q9ULJ6.3

产品图片
Paraformaldehyde-fixed, paraffin embedded (human breast carcinoma); Antigen retrieval by boiling in sodium citrate buffer (pH6.0) for 15min; Block endogenous peroxidase by 3% hydrogen peroxide for 20 minutes; Blocking buffer (normal goat serum) at 37°C for 30min; Incubation with (Retinoic acid induced 17) Polyclonal Antibody, Unconjugated (bs-7709R) at 1:200 overnight at 4°C, followed by operating according to SP Kit(Rabbit) (sp-0023) instructionsand DAB staining.
Paraformaldehyde-fixed, paraffin embedded (human testis); Antigen retrieval by boiling in sodium citrate buffer (pH6.0) for 15min; Block endogenous peroxidase by 3% hydrogen peroxide for 20 minutes; Blocking buffer (normal goat serum) at 37°C for 30min; Incubation with (Retinoic acid induced 17) Polyclonal Antibody, Unconjugated (bs-7709R) at 1:200 overnight at 4°C, followed by operating according to SP Kit(Rabbit) (sp-0023) instructionsand DAB staining.
Paraformaldehyde-fixed, paraffin embedded (rat brain); Antigen retrieval by boiling in sodium citrate buffer (pH6.0) for 15min; Block endogenous peroxidase by 3% hydrogen peroxide for 20 minutes; Blocking buffer (normal goat serum) at 37°C for 30min; Antibody incubation with (Retinoic) Polyclonal Antibody, Unconjugated (bs-7709R) at 1:200 overnight at 4°C, followed by operating according to SP Kit(Rabbit) (sp-0023) instructionsand DAB staining.
Paraformaldehyde-fixed, paraffin embedded (mouse ovary); Antigen retrieval by boiling in sodium citrate buffer (pH6.0) for 15min; Block endogenous peroxidase by 3% hydrogen peroxide for 20 minutes; Blocking buffer (normal goat serum) at 37°C for 30min; Antibody incubation with (Retinoic) Polyclonal Antibody, Unconjugated (bs-7709R) at 1:200 overnight at 4°C, followed by operating according to SP Kit(Rabbit) (sp-0023) instructionsand DAB staining.
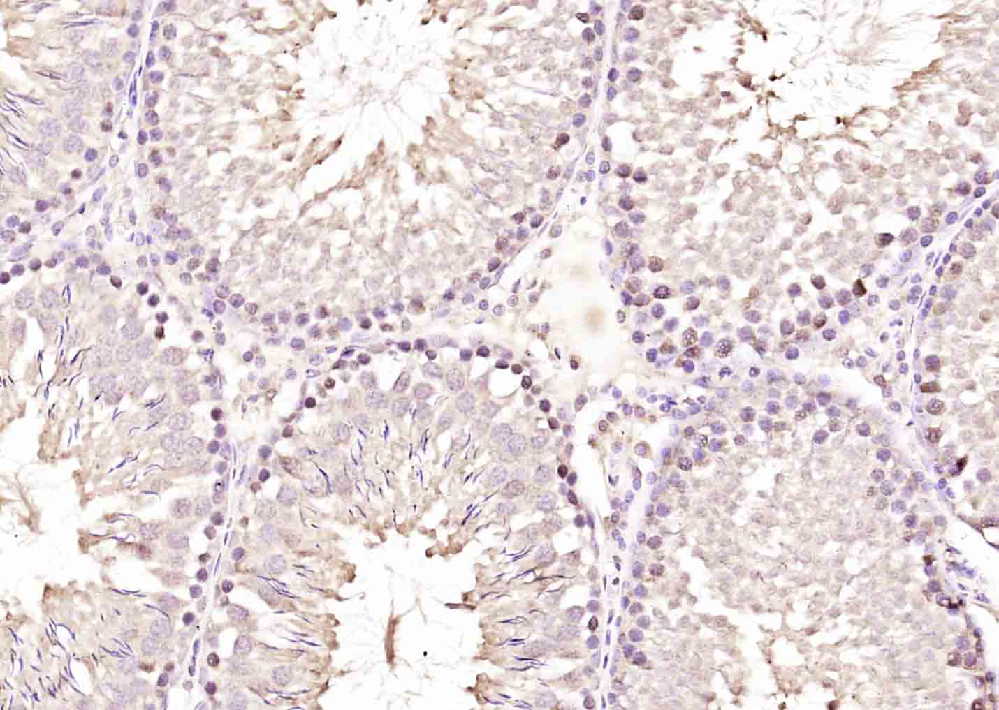
Paraformaldehyde-fixed, paraffin embedded (rat testis); Antigen retrieval by boiling in sodium citrate buffer (pH6.0) for 15min; Block endogenous peroxidase by 3% hydrogen peroxide for 20 minutes; Blocking buffer (normal goat serum) at 37°C for 30min; Antibody incubation with (Retinoic) Polyclonal Antibody, Unconjugated (bs-7709R) at 1:200 overnight at 4°C, followed by operating according to SP Kit(Rabbit) (sp-0023) instructionsand DAB staining.
U-937 cells were fixed with 4% PFA for 10min at room temperature,permeabilized with 90% ice-cold methanol for 20 min at room temperature, and incubated in 5% BSA blocking buffer for 30 min at room temperature. Cells were then stained with Retinoic acid induced 17 Antibody(bs-7709R)at 1:100 dilution in blocking buffer and incubated for 30 min at room temperature, washed twice with 2%BSA in PBS, followed by secondary antibody incubation for 40 min at room temperature. Acquisitions of 20,000 events were performed. Cells stained with primary antibody (green), and isotype control (orange).
版权所有 2004-2026 www.bioss.com.cn 北京博奥森生物技术有限公司
通过国际质量管理体系ISO 9001:2015 GB/T 19001-2016    证书编号: 00124Q34771R2M/1100
通过国际医疗器械-质量管理体系ISO 13485:2016 GB/T 42061-2022     证书编号: CQC24QY20047R0M/1100
京ICP备05066980号-1         京公网安备110107000727号