扫码关注公众号           扫码咨询技术支持           扫码咨询技术服务
  
客服热线:400-901-9800  客服QQ:4009019800  技术答疑  技术支持  质量反馈  关于我们  联系我们
产品中心-北京博奥森生物技术有限公司
首页 > 产品中心 > 一抗 > 产品信息
STAMBP Rabbit pAb (bs-7735R)  
订购热线:400-901-9800
订购邮箱:sales@bioss.com.cn
订购QQ:  400-901-9800
技术支持:techsupport@bioss.com.cn
50ul/1180.00元
100ul/1980.00元
200ul/2800.00元
大包装/询价

产品编号 bs-7735R
英文名称 STAMBP Rabbit pAb
中文名称 信号转导衔接结合蛋白抗体
别    名 AMSH; Associated molecule with the SH3 domain of STAM; Endosome associated ubiquitin isopeptidase; Endosome-associated ubiquitin isopeptidase; STABP_HUMAN; STAM binding protein; STAM-binding protein; STAMBP.  
研究领域 细胞生物  细胞周期蛋白  结合蛋白  表观遗传学  
抗体来源 Rabbit
克隆类型 Polyclonal
克 隆 号
交叉反应 Mouse,Rat (predicted: Human,Rabbit,Dog,Horse)
产品应用 IHC-P=1:100-500,IHC-F=1:100-500,IF=1:100-500
not yet tested in other applications.
optimal dilutions/concentrations should be determined by the end user.
理论分子量 47 kDa
检测分子量
细胞定位 细胞核 细胞浆 细胞膜 
性    状 Liquid
浓    度 1mg/ml
免 疫 原 KLH conjugated synthetic peptide derived from human AMSH: 331-420/424 
亚    型 IgG
纯化方法 affinity purified by Protein A
缓 冲 液 0.01M TBS (pH7.4) with 1% BSA, 0.02% Proclin300 and 50% Glycerol.
保存条件 Shipped at 4℃. Store at -20℃ for one year. Avoid repeated freeze/thaw cycles.
注意事项 This product as supplied is intended for research use only, not for use in human, therapeutic or diagnostic applications.
PubMed PubMed
产品介绍 Zinc metalloprotease that specifically cleaves 'Lys-63'-linked polyubiquitin chains. Does not cleave 'Lys-48'-linked polyubiquitin chains (By similarity). Functions at the endosome and is able to oppose the ubiquitin-dependent sorting of receptors to lysosomes. Plays a role in signal transduction for cell growth and MYC induction mediated by IL-2 and GM-CSF. Potentiates BMP (bone morphogenetic protein) signaling by antagonizing the inhibitory action of SMAD6 and SMAD7.

Function:
Zinc metalloprotease that specifically cleaves 'Lys-63'-linked polyubiquitin chains. Does not cleave 'Lys-48'-linked polyubiquitin chains (By similarity). Functions at the endosome and is able to oppose the ubiquitin-dependent sorting of receptors to lysosomes. Plays a role in signal transduction for cell growth and MYC induction mediated by IL-2 and GM-CSF. Potentiates BMP (bone morphogenetic protein) signaling by antagonizing the inhibitory action of SMAD6 and SMAD7.

Subcellular Location:
Nucleus. Membrane; Peripheral membrane protein. Cytoplasm. Early endosome.

Tissue Specificity:
Ubiquitously expressed.

Post-translational modifications:
Phosphorylated after BMP type I receptor activation.
Ubiquitinated by SMURF2 in the presence of RNF11.

Similarity:
Belongs to the peptidase M67C family.
Contains 1 MPN (JAB/Mov34) domain.

SWISS:
O95630

Gene ID:
10617

Database links:

Entrez Gene: 10617 Human

Entrez Gene: 70527 Mouse

Entrez Gene: 171565 Rat

Omim: 606247 Human

SwissProt: O95630 Human

SwissProt: Q9CQ26 Mouse

SwissProt: Q8R424 Rat

Unigene: 469018 Human

Unigene: 657598 Human

Unigene: 32801 Mouse

Unigene: 14662 Rat




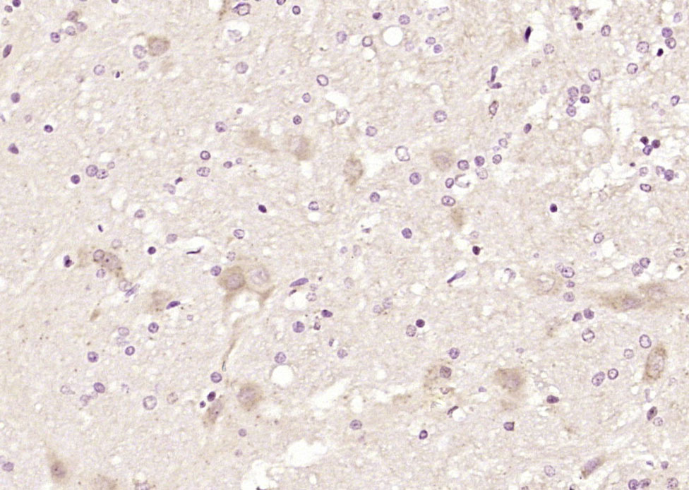
产品图片
Paraformaldehyde-fixed, paraffin embedded (rat brain); Antigen retrieval by boiling in sodium citrate buffer (pH6.0) for 15min; Block endogenous peroxidase by 3% hydrogen peroxide for 20 minutes; Blocking buffer (normal goat serum) at 37°C for 30min; Antibody incubation with (AMSH) Polyclonal Antibody, Unconjugated (bs-7735R) at 1:200 overnight at 4°C, followed by operating according to SP Kit(Rabbit) (sp-0023) instructionsand DAB staining.
Tissue/cell: mouse embryo tissue; 4% Paraformaldehyde-fixed and paraffin-embedded; Antigen retrieval: citrate buffer ( 0.01M, pH 6.0 ), Boiling bathing for 15min; Block endogenous peroxidase by 3% Hydrogen peroxide for 30min; Blocking buffer (normal goat serum,C-0005) at 37℃ for 20 min; Incubation: Anti-AMSH/STAMBP Polyclonal Antibody, Unconjugated(bs-7735R) 1:200, overnight at 4°C, followed by conjugation to the secondary antibody(SP-0023) and DAB(C-0010) staining
版权所有 2004-2026 www.bioss.com.cn 北京博奥森生物技术有限公司
通过国际质量管理体系ISO 9001:2015 GB/T 19001-2016    证书编号: 00124Q34771R2M/1100
通过国际医疗器械-质量管理体系ISO 13485:2016 GB/T 42061-2022     证书编号: CQC24QY20047R0M/1100
京ICP备05066980号-1         京公网安备110107000727号