扫码关注公众号           扫码咨询技术支持           扫码咨询技术服务
  
客服热线:400-901-9800  客服QQ:4009019800  技术答疑  技术支持  质量反馈  关于我们  联系我们
产品中心-北京博奥森生物技术有限公司
首页 > 产品中心 > 一抗 > 产品信息
BRD7 Rabbit pAb (bs-7779R)  
订购热线:400-901-9800
订购邮箱:sales@bioss.com.cn
订购QQ:  400-901-9800
技术支持:techsupport@bioss.com.cn
50ul/1180.00元
100ul/1980.00元
200ul/2800.00元
大包装/询价

产品编号 bs-7779R
英文名称 BRD7 Rabbit pAb
中文名称 鼻咽癌相关转录调节蛋白抗体
别    名 75 kDa bromodomain protein; BP75; BRD 7; BRD7; BRD7_HUMAN; Bromodomain containing 7; bromodomain containing protein 7; Bromodomain-containing protein 7; CELTIX 1; CELTIX1; NAG4; Protein CELTIX-1.  
研究领域 肿瘤  细胞生物  信号转导  细胞周期蛋白  表观遗传学  
抗体来源 Rabbit
克隆类型 Polyclonal
克 隆 号
交叉反应 Human,Mouse,Rat (predicted: Rabbit,Pig,Sheep,Cow,Dog)
产品应用 IHC-P=1:100-500,IHC-F=1:100-500,IF=1:100-500
not yet tested in other applications.
optimal dilutions/concentrations should be determined by the end user.
理论分子量 74 kDa
检测分子量
细胞定位 细胞核 
性    状 Liquid
浓    度 1mg/ml
免 疫 原 KLH conjugated synthetic peptide derived from human BRD7: 401-500/651 
亚    型 IgG
纯化方法 affinity purified by Protein A
缓 冲 液 0.01M TBS (pH7.4) with 1% BSA, 0.02% Proclin300 and 50% Glycerol.
保存条件 Shipped at 4℃. Store at -20℃ for one year. Avoid repeated freeze/thaw cycles.
注意事项 This product as supplied is intended for research use only, not for use in human, therapeutic or diagnostic applications.
PubMed PubMed
产品介绍 This gene encodes a protein which is a member of the bromodomain-containing protein family. The product of this gene has been identified as a component of one form of the SWI/SNF chromatin remodeling complex, and as a protein which interacts with p53 and is required for p53-dependent oncogene-induced senescence which prevents tumor growth. Pseudogenes have been described on chromosomes 2, 3, 6, 13 and 14. Alternative splicing results in multiple transcript variants.

Function:
Acts both as coactivator and as corepressor. May play a role in chromatin remodeling. Activator of the Wnt signaling pathway in a DVL1-dependent manner by negatively regulating the GSK3B phosphotransferase activity. Induces dephosphorylation of GSK3B at 'Tyr-216'. Down-regulates TRIM24-mediated activation of transcriptional activation by AR (By similarity). Transcriptional corepressor that down-regulates the expression of target genes. Binds to target promoters, leading to increased histone H3 acetylation at 'Lys-9' (H3K9ac). Binds to the ESR1 promoter. Recruits BRCA1 and POU2F1 to the ESR1 promoter. Coactivator for TP53-mediated activation of transcription of a set of target genes. Required for TP53-mediated cell-cycle arrest in response to oncogene activation. Promotes acetylation of TP53 at 'Lys-382', and thereby promotes efficient recruitment of TP53 to target promoters. Inhibits cell cycle progression from G1 to S phase.

Subunit:
Interacts with TRIM24, PTPN13 and DVL1. Identified in a complex with SMARCA4/BRG1, SMARCC1/BAF155, SMARCE1/BAF57, DPF2/BAF45D and ARID2, subunits of the SWI/SNF-B (PBAF) chromatin remodeling complex (By similarity). Interacts with IRF2 and HNRPUL1. Interacts (via N-terminus) with TP53. Interacts (via C-terminus) with EP300. Interacts with BRCA1. Interacts (via bromo domain) with histone H3 (via N-terminus) acetylated at 'Lys-14' (H3K14ac). Has low affinity for histone H3 acetylated at 'Lys-9' (H3K9ac). Has the highest affinity for histone H3 that is acetylated both at 'Lys-9' (H3K9ac) and at 'Lys-14' (H3K14ac). Has very low affinity for non-acetylated histone H3. Interacts (via bromo domain) with histone H4 (via N-terminus) acetylated at 'Lys-8' (H3K8ac) (in vitro).

Subcellular Location:
Isoform 2: Nucleus.

Similarity:
Contains 1 bromo domain.

SWISS:
Q9NPI1

Gene ID:
29117

Database links:
UniProtKB/Swiss-Prot: Q9NPI1.1

BRD7可能参与了基因转录调控,是一个核转录调节蛋白。经研究发现BRD7可能是通过Ras/MEK/ERK和Rb/E2F两条通路影响细胞周期的进程,使细胞停滞于G0/G1期,BRD7具有阻止细胞周期进程的作用。BRD7蛋白尤其是在鼻咽癌的发病过程中发挥了十分重要作用,BRD7基因的过表达可通过调节MAPK及Wnt信号通路抑制鼻咽癌的生长,并将鼻咽癌阻滞在G1/S期。
产品图片
Paraformaldehyde-fixed, paraffin embedded (Human left parietal lobe); Antigen retrieval by boiling in sodium citrate buffer (pH6.0) for 15min; Block endogenous peroxidase by 3% hydrogen peroxide for 20 minutes; Blocking buffer (normal goat serum) at 37°C for 30min; Incubation with (BRD7) Polyclonal Antibody, Unconjugated (bs-7779R) at 1:200 overnight at 4°C, followed by operating according to SP Kit(Rabbit) (sp-0023) instructionsand DAB staining.
Paraformaldehyde-fixed, paraffin embedded (human colon carcinoma); Antigen retrieval by boiling in sodium citrate buffer (pH6.0) for 15min; Block endogenous peroxidase by 3% hydrogen peroxide for 20 minutes; Blocking buffer (normal goat serum) at 37°C for 30min; Incubation with (BRD7) Polyclonal Antibody, Unconjugated (bs-7779R) at 1:200 overnight at 4°C, followed by operating according to SP Kit(Rabbit) (sp-0023) instructionsand DAB staining.
Paraformaldehyde-fixed, paraffin embedded (human lung carcinoma); Antigen retrieval by boiling in sodium citrate buffer (pH6.0) for 15min; Block endogenous peroxidase by 3% hydrogen peroxide for 20 minutes; Blocking buffer (normal goat serum) at 37°C for 30min; Incubation with (BRD7) Polyclonal Antibody, Unconjugated (bs-7779R) at 1:200 overnight at 4°C, followed by operating according to SP Kit(Rabbit) (sp-0023) instructionsand DAB staining.
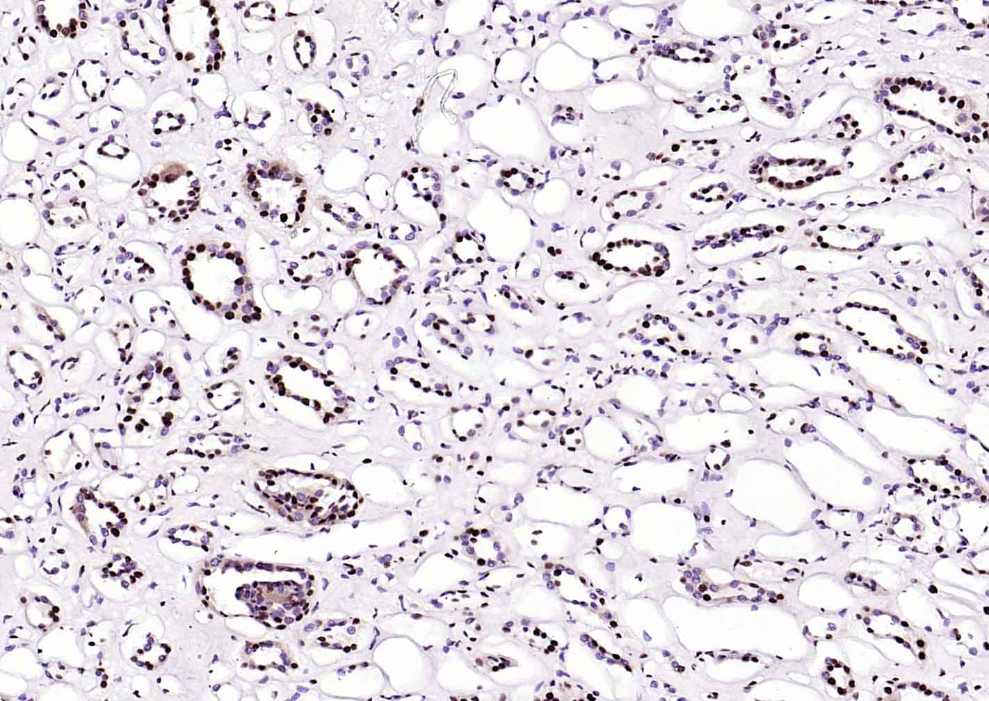
Paraformaldehyde-fixed, paraffin embedded (rat kidney); Antigen retrieval by boiling in sodium citrate buffer (pH6.0) for 15min; Block endogenous peroxidase by 3% hydrogen peroxide for 20 minutes; Blocking buffer (normal goat serum) at 37°C for 30min; Incubation with (BRD7) Polyclonal Antibody, Unconjugated (bs-7779R) at 1:200 overnight at 4°C, followed by operating according to SP Kit(Rabbit) (sp-0023) instructionsand DAB staining.
Paraformaldehyde-fixed, paraffin embedded (mouse kidney); Antigen retrieval by boiling in sodium citrate buffer (pH6.0) for 15min; Block endogenous peroxidase by 3% hydrogen peroxide for 20 minutes; Blocking buffer (normal goat serum) at 37°C for 30min; Incubation with (BRD7) Polyclonal Antibody, Unconjugated (bs-7779R) at 1:200 overnight at 4°C, followed by operating according to SP Kit(Rabbit) (sp-0023) instructionsand DAB staining.
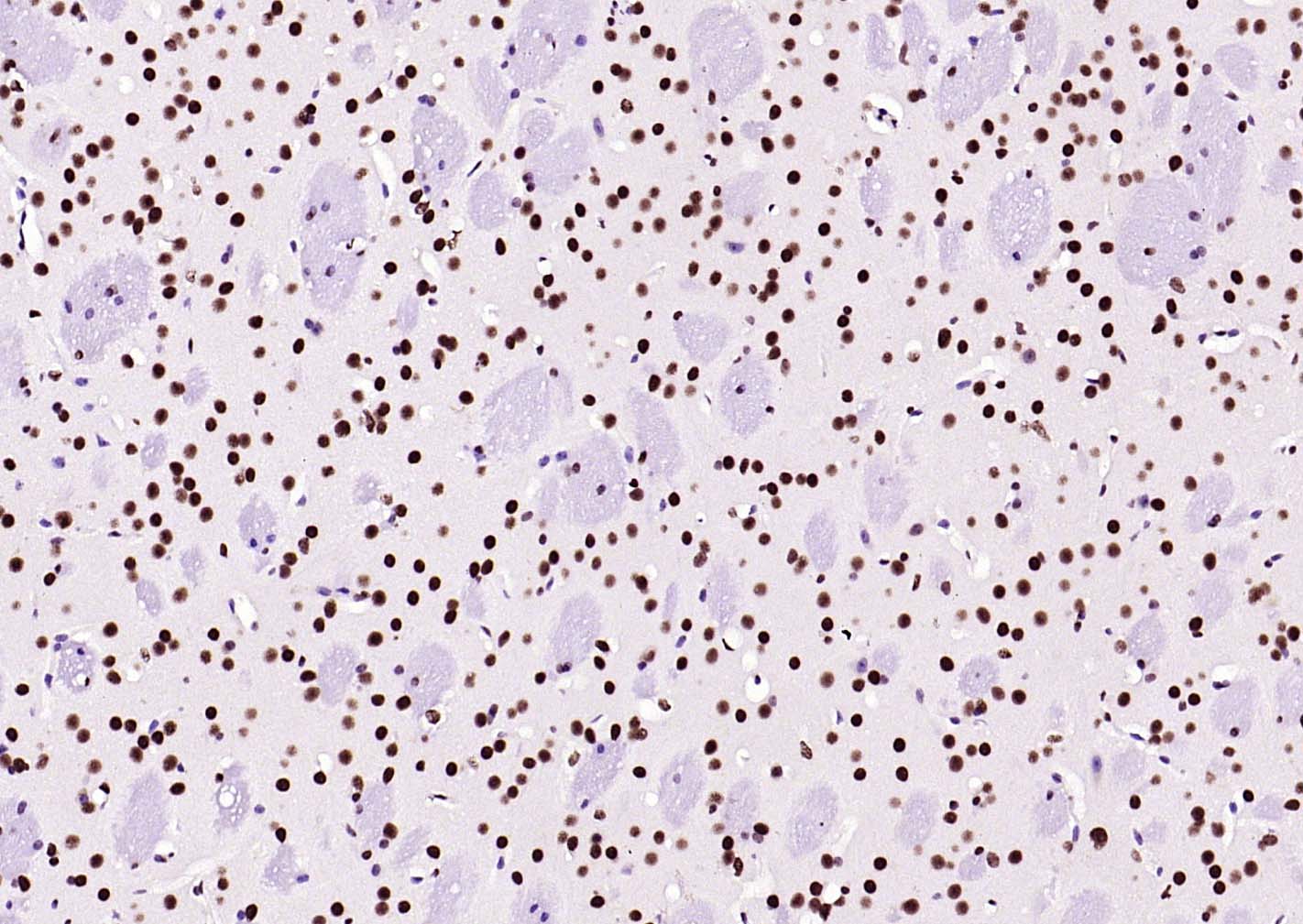
Paraformaldehyde-fixed, paraffin embedded (rat brain); Antigen retrieval by boiling in sodium citrate buffer (pH6.0) for 15min; Block endogenous peroxidase by 3% hydrogen peroxide for 20 minutes; Blocking buffer (normal goat serum) at 37°C for 30min; Incubation with (BRD7) Polyclonal Antibody, Unconjugated (bs-7779R) at 1:200 overnight at 4°C, followed by operating according to SP Kit(Rabbit) (sp-0023) instructionsand DAB staining.
Paraformaldehyde-fixed, paraffin embedded (mouse brain); Antigen retrieval by boiling in sodium citrate buffer (pH6.0) for 15min; Block endogenous peroxidase by 3% hydrogen peroxide for 20 minutes; Blocking buffer (normal goat serum) at 37°C for 30min; Incubation with (BRD7) Polyclonal Antibody, Unconjugated (bs-7779R) at 1:200 overnight at 4°C, followed by operating according to SP Kit(Rabbit) (sp-0023) instructionsand DAB staining.
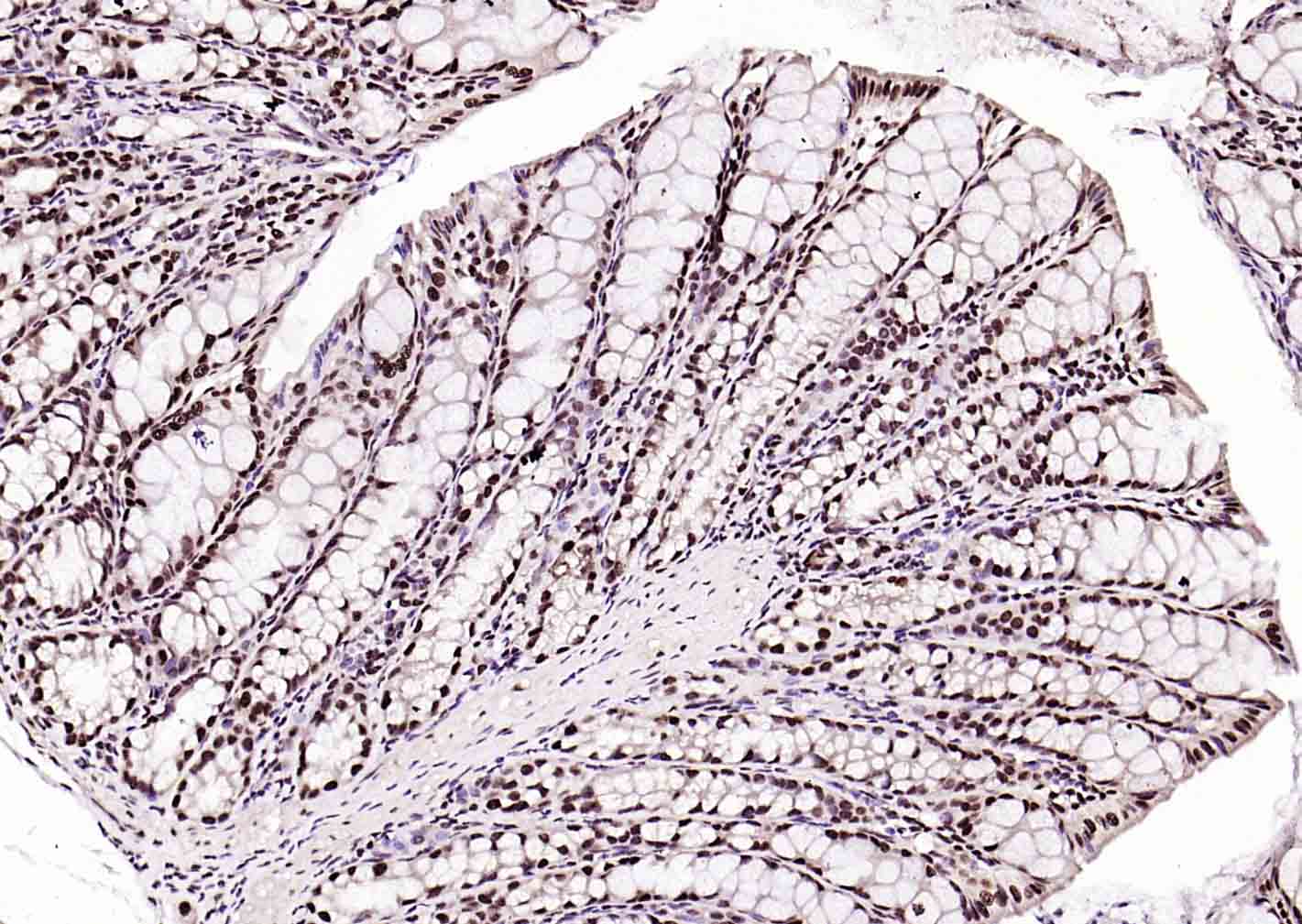
Paraformaldehyde-fixed, paraffin embedded (human colon); Antigen retrieval by boiling in sodium citrate buffer (pH6.0) for 15min; Block endogenous peroxidase by 3% hydrogen peroxide for 20 minutes; Blocking buffer (normal goat serum) at 37°C for 30min; Incubation with (BRD7) Polyclonal Antibody, Unconjugated (bs-7779R) at 1:200 overnight at 4°C, followed by operating according to SP Kit(Rabbit) (sp-0023) instructionsand DAB staining.
Paraformaldehyde-fixed, paraffin embedded (rat colon); Antigen retrieval by boiling in sodium citrate buffer (pH6.0) for 15min; Block endogenous peroxidase by 3% hydrogen peroxide for 20 minutes; Blocking buffer (normal goat serum) at 37°C for 30min; Incubation with (BRD7) Polyclonal Antibody, Unconjugated (bs-7779R) at 1:200 overnight at 4°C, followed by operating according to SP Kit(Rabbit) (sp-0023) instructionsand DAB staining.
Paraformaldehyde-fixed, paraffin embedded (mouse colon); Antigen retrieval by boiling in sodium citrate buffer (pH6.0) for 15min; Block endogenous peroxidase by 3% hydrogen peroxide for 20 minutes; Blocking buffer (normal goat serum) at 37°C for 30min; Incubation with (BRD7) Polyclonal Antibody, Unconjugated (bs-7779R) at 1:200 overnight at 4°C, followed by operating according to SP Kit(Rabbit) (sp-0023) instructionsand DAB staining.
Paraformaldehyde-fixed, paraffin embedded (human testis); Antigen retrieval by boiling in sodium citrate buffer (pH6.0) for 15min; Block endogenous peroxidase by 3% hydrogen peroxide for 20 minutes; Blocking buffer (normal goat serum) at 37°C for 30min; Incubation with (BRD7) Polyclonal Antibody, Unconjugated (bs-7779R) at 1:200 overnight at 4°C, followed by operating according to SP Kit(Rabbit) (sp-0023) instructionsand DAB staining.
Paraformaldehyde-fixed, paraffin embedded (rat testis); Antigen retrieval by boiling in sodium citrate buffer (pH6.0) for 15min; Block endogenous peroxidase by 3% hydrogen peroxide for 20 minutes; Blocking buffer (normal goat serum) at 37°C for 30min; Incubation with (BRD7) Polyclonal Antibody, Unconjugated (bs-7779R) at 1:200 overnight at 4°C, followed by operating according to SP Kit(Rabbit) (sp-0023) instructionsand DAB staining.
Paraformaldehyde-fixed, paraffin embedded (mouse testis); Antigen retrieval by boiling in sodium citrate buffer (pH6.0) for 15min; Block endogenous peroxidase by 3% hydrogen peroxide for 20 minutes; Blocking buffer (normal goat serum) at 37°C for 30min; Incubation with (BRD7) Polyclonal Antibody, Unconjugated (bs-7779R) at 1:200 overnight at 4°C, followed by operating according to SP Kit(Rabbit) (sp-0023) instructionsand DAB staining.
Paraformaldehyde-fixed, paraffin embedded (human breast carcinoma); Antigen retrieval by boiling in sodium citrate buffer (pH6.0) for 15min; Block endogenous peroxidase by 3% hydrogen peroxide for 20 minutes; Blocking buffer (normal goat serum) at 37°C for 30min; Incubation with (BRD7) Polyclonal Antibody, Unconjugated (bs-7779R) at 1:200 overnight at 4°C, followed by operating according to SP Kit(Rabbit) (sp-0023) instructionsand DAB staining.
Paraformaldehyde-fixed, paraffin embedded (human kidney); Antigen retrieval by boiling in sodium citrate buffer (pH6.0) for 15min; Block endogenous peroxidase by 3% hydrogen peroxide for 20 minutes; Blocking buffer (normal goat serum) at 37°C for 30min; Incubation with (BRD7) Polyclonal Antibody, Unconjugated (bs-7779R) at 1:200 overnight at 4°C, followed by operating according to SP Kit(Rabbit) (sp-0023) instructionsand DAB staining.
版权所有 2004-2026 www.bioss.com.cn 北京博奥森生物技术有限公司
通过国际质量管理体系ISO 9001:2015 GB/T 19001-2016    证书编号: 00124Q34771R2M/1100
通过国际医疗器械-质量管理体系ISO 13485:2016 GB/T 42061-2022     证书编号: CQC24QY20047R0M/1100
京ICP备05066980号-1         京公网安备110107000727号