扫码关注公众号           扫码咨询技术支持           扫码咨询技术服务
  
客服热线:400-901-9800  客服QQ:4009019800  技术答疑  技术支持  质量反馈  关于我们  联系我们
产品中心-北京博奥森生物技术有限公司
首页 > 产品中心 > 一抗 > 产品信息
CDCA2 Rabbit pAb (bs-7786R)  
订购热线:400-901-9800
订购邮箱:sales@bioss.com.cn
订购QQ:  400-901-9800
技术支持:techsupport@bioss.com.cn
50ul/1180.00元
100ul/1980.00元
200ul/2800.00元
大包装/询价

产品编号 bs-7786R
英文名称 CDCA2 Rabbit pAb
中文名称 细胞分裂周期蛋白2抗体
别    名 cell division cycle associated 2; Recruits PP1 onto mitotic chromatin at anaphase protein; Repo Man; Repo-Man; CDCA2_HUMAN.  
研究领域 细胞生物  细胞周期蛋白  细胞分化  表观遗传学  
抗体来源 Rabbit
克隆类型 Polyclonal
克 隆 号
交叉反应 Human,Mouse (predicted: Rat,Rabbit,Pig,Dog,Horse)
产品应用 WB=1:500-2000,IHC-P=1:100-500,IHC-F=1:100-500,IF=1:100-500
not yet tested in other applications.
optimal dilutions/concentrations should be determined by the end user.
理论分子量 113 kDa
检测分子量
细胞定位 细胞核 细胞膜 
性    状 Liquid
浓    度 1mg/ml
免 疫 原 KLH conjugated synthetic peptide derived from human CDCA2: 361-450/1023 
亚    型 IgG
纯化方法 affinity purified by Protein A
缓 冲 液 0.01M TBS (pH7.4) with 1% BSA, 0.02% Proclin300 and 50% Glycerol.
保存条件 Shipped at 4℃. Store at -20℃ for one year. Avoid repeated freeze/thaw cycles.
注意事项 This product as supplied is intended for research use only, not for use in human, therapeutic or diagnostic applications.
PubMed PubMed
产品介绍 CDCA2 is a regulator of chromosome structure during mitosis. CDCA2 forms an essential complex with protein phosphatase PP1-gamma subunit 1 (PPP1CC) and is required for the recruitment of PP1 to chromatin. Knockdown of CDCA2 by RNAi causes large-scale cell death by apoptosis, as does overexpression of a dominant-negative mutant of the protein.

Function:
Regulator of chromosome structure during mitosis required for condensin-depleted chromosomes to retain their compact architecture through anaphase. Acts by mediating the recruitment of phopsphatase PP1-gamma subunit (PPP1CC) to chromatin at anaphase and into the following interphase. At anaphase onset, its association with chromatin targets a pool of PPP1CC to dephosphorylate substrates.

Subunit:
Interacts with PPP1CC.

Subcellular Location:
Nucleus. Note=Excluded from the nucleolus. Present in nucleoplasm throughout the G1, S and G2 stages of the cell cycle. During M phase, it becomes diffuse throughout the cell as the nuclear membrane breaks down, and faintly accumulates later on metaphase chromatin. As the cell progresses to anaphase, it accumulates on chromatin. [ALTERNATIVE PRODUCTS] Event=Alternative splicing; Named isoforms=2; Name=1; IsoId=Q69YH5-1; Sequence=Displayed; Name=2; IsoId=Q69YH5-2; Sequence=VSP_025598, VSP_025599; Note=No experimental confirmation available.

Tissue Specificity:
Ubiquitously expressed.

Post-translational modifications:
Phosphorylated by CDK1. May regulate its subcellular location.

SWISS:
Q69YH5

Gene ID:
157313

Database links:

Entrez Gene: 157313 Human

SwissProt: Q69YH5 Human

Unigene: 33366 Human



产品图片
Sample: Jurkat(Human) Cell Lysate at 30 ug Primary: Anti- CDCA2 (bs-7786R) at 1/1000 dilution Secondary: IRDye800CW Goat Anti-Rabbit IgG at 1/20000 dilution Predicted band size: 113 kD Observed band size: 113 kD
Sample: Siha(Human) Cell Lysate at 30 ug Primary: Anti- CDCA2 (bs-7786R) at 1/1000 dilution Secondary: IRDye800CW Goat Anti-Rabbit IgG at 1/20000 dilution Predicted band size: 113 kD Observed band size: 113 kD
araformaldehyde-fixed, paraffin embedded (mouse intestine); Antigen retrieval by boiling in sodium citrate buffer (pH6.0) for 15min; Block endogenous peroxidase by 3% hydrogen peroxide for 20 minutes; Blocking buffer (normal goat serum) at 37°C for 30min; Antibody incubation with (CDCA2) Polyclonal Antibody, Unconjugated (bs-7786R) at 1:200 overnight at 4°C, followed by operating according to SP Kit(Rabbit) (sp-0023) instructionsand DAB staining.
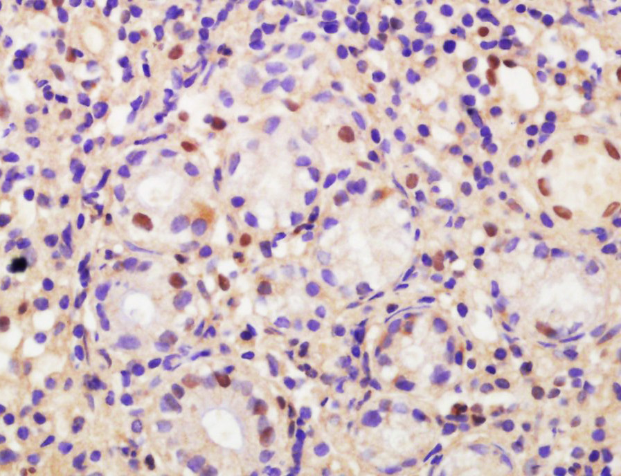
Tissue/cell: human gastric carcinoma; 4% Paraformaldehyde-fixed and paraffin-embedded; Antigen retrieval: citrate buffer ( 0.01M, pH 6.0 ), Boiling bathing for 15min; Block endogenous peroxidase by 3% Hydrogen peroxide for 30min; Blocking buffer (normal goat serum,C-0005) at 37℃ for 20 min; Incubation: Anti-CDCA2 Polyclonal Antibody, Unconjugated(bs-7786R) 1:200, overnight at 4°C, followed by conjugation to the secondary antibody(SP-0023) and DAB(C-0010) staining
版权所有 2004-2026 www.bioss.com.cn 北京博奥森生物技术有限公司
通过国际质量管理体系ISO 9001:2015 GB/T 19001-2016    证书编号: 00124Q34771R2M/1100
通过国际医疗器械-质量管理体系ISO 13485:2016 GB/T 42061-2022     证书编号: CQC24QY20047R0M/1100
京ICP备05066980号-1         京公网安备110107000727号