扫码关注公众号           扫码咨询技术支持           扫码咨询技术服务
  
客服热线:400-901-9800  客服QQ:4009019800  技术答疑  技术支持  质量反馈  人才招聘  关于我们  联系我们
产品中心-北京博奥森生物技术有限公司
首页 > 产品中心 > 一抗 > 产品信息
KDEL Rabbit pAb (bs-6940R)  
订购热线:400-901-9800
订购邮箱:sales@bioss.com.cn
订购QQ:  400-901-9800
技术支持:techsupport@bioss.com.cn
50ul/1180.00元
100ul/1980.00元
200ul/2800.00元
大包装/询价

产品编号 bs-6940R
英文名称 KDEL Rabbit pAb
中文名称 赖氨酸,天冬氨酸,谷氨酸,亮氨酸相关序列抗体
别    名 PLGT2_HUMAN; POGLUT2; Endoplasmic reticulum resident protein 58 (ER protein 58 | ERp58); KDEL motif-containing protein 1; Protein O-xylosyltransferase POGLUT2; 2.4.1.-; EP58; KDELC1; PLGT2_MOUSE; B5DFA5_RAT; protein O-glucosyltransferase 2; KDEL (Lys-Asp-Glu-Leu) containing 1; KDEL motif containing 1  
研究领域 细胞生物  免疫学  细胞类型标志物  
抗体来源 Rabbit
克隆类型 Polyclonal
交叉反应 Mouse,Rat (predicted: Human,Rabbit,Pig,Cow,Dog,GuineaPig)
产品应用 IHC-P=1:100-500,IHC-F=1:100-500,IF=1:100-500
not yet tested in other applications.
optimal dilutions/concentrations should be determined by the end user.
理论分子量 78kDa
细胞定位 细胞浆 
性    状 Liquid
浓    度 1mg/ml
免 疫 原 KLH conjugated synthetic peptide KDEL 
亚    型 IgG
纯化方法 affinity purified by Protein A
缓 冲 液 0.01M TBS (pH7.4) with 1% BSA, 0.02% Proclin300 and 50% Glycerol.
保存条件 Shipped at 4℃. Store at -20℃ for one year. Avoid repeated freeze/thaw cycles.
注意事项 This product as supplied is intended for research use only, not for use in human, therapeutic or diagnostic applications.
PubMed PubMed
产品介绍 Endoplasmic reticulum Marker.
The sequence Lys-Asp-Glu-Leu (KDEL) or a closely related sequence, is present at the carboxy-terminus of soluble endoplasmic reticulum (ER) resident proteins and some membrane proteins. 78 and 94 kDa glucose regulated proteins (GRP 78) and GRP 94 respectively and protein disulfide isomerase (PDI) all share the C-terminal KDEL sequence. The presence of carboxy-terminal KDEL appears to be necessary for ER retention and appears to be sufficient to reduce the secretion of proteins from the ER. This retention is reported to be mediated by a KDEL receptor.

Subunit:
Interacts with DNAJC1 (via J domain). Component of an EIF2 complex at least composed of CELF1/CUGBP1, CALR, CALR3, EIF2S1, EIF2S2, HSP90B1 and HSPA5. Part a large chaperone multiprotein complex comprising DNAJB11, HSP90B1, HSPA5, HYOU, PDIA2, PDIA4, PDIA6, PPIB, SDF2L1, UGT1A1 and very small amounts of ERP29, but not, or at very low levels, CALR nor CANX. Interacts with TMEM132A and TRIM21. May form a complex with ERLEC1, OS9, SEL1L and SYVN1.

Subcellular Location:
Endoplasmic reticulum.

DISEASE:
Note=Autoantigen in rheumatoid arthritis.

Similarity:
Belongs to the heat shock protein 70 family.

Database links:

Entrez Gene: 79070 Human

Entrez Gene: 72050 Mouse

Entrez Gene: 316370 Rat

Omim: 611613 Human

SwissProt: Q6UW63 Human

SwissProt: Q9JHP7 Mouse

SwissProt: B5DFA5 Rat

Unigene: 408629 Human

Unigene: 281714 Mouse



内质网标志物。
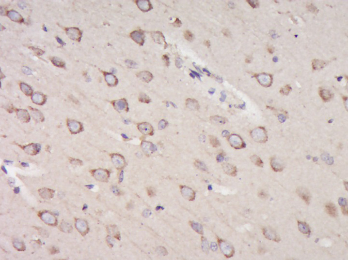
产品图片
Paraformaldehyde-fixed, paraffin embedded (Mouse brain); Antigen retrieval by boiling in sodium citrate buffer (pH6.0) for 15min; Block endogenous peroxidase by 3% hydrogen peroxide for 20 minutes; Blocking buffer (normal goat serum) at 37°C for 30min; Antibody incubation with (KDEL) Polyclonal Antibody, Unconjugated (bs-6940R) at 1:400 overnight at 4°C, followed by operating according to SP Kit(Rabbit) (sp-0023) instructions and DAB staining.
Paraformaldehyde-fixed, paraffin embedded (Rat brain); Antigen retrieval by boiling in sodium citrate buffer (pH6.0) for 15min; Block endogenous peroxidase by 3% hydrogen peroxide for 20 minutes; Blocking buffer (normal goat serum) at 37°C for 30min; Antibody incubation with (KDEL) Polyclonal Antibody, Unconjugated (bs-6940R) at 1:400 overnight at 4°C, followed by operating according to SP Kit(Rabbit) (sp-0023) instructions and DAB staining.
版权所有 2004-2026 www.bioss.com.cn 北京博奥森生物技术有限公司
通过国际质量管理体系ISO 9001:2015 GB/T 19001-2016    证书编号: 00124Q34771R2M/1100
通过国际医疗器械-质量管理体系ISO 13485:2016 GB/T 42061-2022     证书编号: CQC24QY20047R0M/1100
京ICP备05066980号-1         京公网安备110107000727号