扫码关注公众号           扫码咨询技术支持           扫码咨询技术服务
  
客服热线:400-901-9800  客服QQ:4009019800  技术答疑  技术支持  质量反馈  人才招聘  关于我们  联系我们
产品中心-北京博奥森生物技术有限公司
首页 > 产品中心 > 一抗 > 产品信息
KLHL24 Rabbit pAb (bs-8050R)  
订购热线:400-901-9800
订购邮箱:sales@bioss.com.cn
订购QQ:  400-901-9800
技术支持:techsupport@bioss.com.cn
50ul/1180.00元
100ul/1980.00元
200ul/2800.00元
大包装/询价

产品编号 bs-8050R
英文名称 KLHL24 Rabbit pAb
中文名称 Kelch样蛋白24抗体
别    名 CMH29; DRE1; EBS6; EBSSH; KRIP6; KLH24_HUMAN; KLHL24; Kainate receptor-interacting protein for GluR6 (KRIP6); Protein DRE1;   
研究领域 肿瘤  细胞生物  免疫学  
抗体来源 Rabbit
克隆类型 Polyclonal
克 隆 号
交叉反应 Human,Mouse,Rat (predicted: Rabbit,Dog)
产品应用 WB=1:500-2000,IHC-P=1:100-500,IHC-F=1:100-500,IF=1:100-500
not yet tested in other applications.
optimal dilutions/concentrations should be determined by the end user.
理论分子量 68 kDa
检测分子量 68
细胞定位 细胞核 细胞浆 
性    状 Liquid
浓    度 1mg/ml
免 疫 原 KLH conjugated synthetic peptide derived from human KLHL24: 1-100/600 
亚    型 IgG
纯化方法 affinity purified by Protein A
缓 冲 液 0.01M TBS (pH7.4) with 1% BSA, 0.02% Proclin300 and 50% Glycerol.
保存条件 Shipped at 4℃. Store at -20℃ for one year. Avoid repeated freeze/thaw cycles.
注意事项 This product as supplied is intended for research use only, not for use in human, therapeutic or diagnostic applications.
PubMed PubMed
产品介绍 KLHL24 specifically reduces kainate receptor-mediated currents in hippocampal neurons, most probably by modulating channel properties.

Function:
Specifically reduces kainate receptor-mediated currents in hippocampal neurons, most probably by modulating channel properties.

Subunit:
Forms homodimers. Interacts with GRIK2.

Subcellular Location:
Perikaryon. Cell projection, axon. Cytoplasm.

Similarity:
Contains 1 BACK (BTB/Kelch associated) domain.
Contains 1 BTB (POZ) domain.
Contains 6 Kelch repeats.

SWISS:
Q6TFL4

Gene ID:
54800

Database links:

Entrez Gene: 54800 Human

Omim: 611295 Human

SwissProt: Q6TFL4 Human



产品图片
Sample: Small intestine (mouse) Lysate at 40 ug Primary: Anti- KLHL24(bs-8050R) at 1/300 dilution Secondary: IRDye800CW Goat Anti-Rabbit IgG at 1/20000 dilution Predicted band size: 68 kD Observed band size: 68 kD
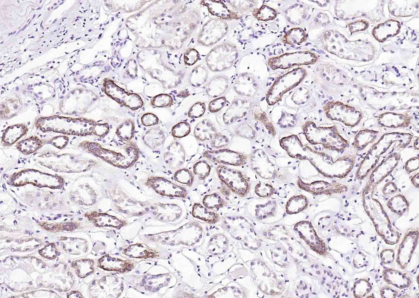
Paraformaldehyde-fixed, paraffin embedded (human kidney); Antigen retrieval by boiling in sodium citrate buffer (pH6.0) for 15min; Block endogenous peroxidase by 3% hydrogen peroxide for 20 minutes; Blocking buffer (normal goat serum) at 37°C for 30min; Incubation with (KLHL24) Polyclonal Antibody, Unconjugated (bs-8050R) at 1:200 overnight at 4°C, followed by operating according to SP Kit(Rabbit) (sp-0023) instructionsand DAB staining.
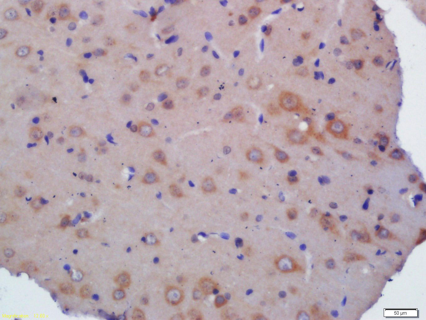
Tissue/cell: rat brain tissue; 4% Paraformaldehyde-fixed and paraffin-embedded; Antigen retrieval: citrate buffer ( 0.01M, pH 6.0 ), Boiling bathing for 15min; Block endogenous peroxidase by 3% Hydrogen peroxide for 30min; Blocking buffer (normal goat serum,C-0005) at 37℃ for 20 min; Incubation: Anti-KLHL24 Polyclonal Antibody, Unconjugated(bs-8050R) 1:200, overnight at 4°C, followed by conjugation to the secondary antibody(SP-0023) and DAB(C-0010) staining
版权所有 2004-2026 www.bioss.com.cn 北京博奥森生物技术有限公司
通过国际质量管理体系ISO 9001:2015 GB/T 19001-2016    证书编号: 00124Q34771R2M/1100
通过国际医疗器械-质量管理体系ISO 13485:2016 GB/T 42061-2022     证书编号: CQC24QY20047R0M/1100
京ICP备05066980号-1         京公网安备110107000727号