扫码关注公众号           扫码咨询技术支持           扫码咨询技术服务
  
客服热线:400-901-9800  客服QQ:4009019800  技术答疑  技术支持  质量反馈  人才招聘  关于我们  联系我们
产品中心-北京博奥森生物技术有限公司
首页 > 产品中心 > 一抗 > 产品信息
CRMP5 Rabbit pAb (bs-8283R)  
订购热线:400-901-9800
订购邮箱:sales@bioss.com.cn
订购QQ:  400-901-9800
技术支持:techsupport@bioss.com.cn
50ul/1180.00元
100ul/1980.00元
200ul/2800.00元
大包装/询价

产品编号 bs-8283R
英文名称 CRMP5 Rabbit pAb
中文名称 二氢嘧啶酶相关蛋白5抗体
别    名 CRAM; CRMP-5; CRMP5; CV2; RTSC4; Ulip6; DPYL5_HUMAN; DPYSL5; DRP-5; CRMP3-associated molecule (CRAM); Collapsin response mediator protein 5 (CRMP-5); UNC33-like phosphoprotein 6 (ULIP-6); DPYL5_MOUSE; DPYL5_RAT; dihydropyrimidinase like 5; dihydropyrimidinase-like 5; collapsin response mediator protein 5  
研究领域 神经生物学  细胞类型标志物  
抗体来源 Rabbit
克隆类型 Polyclonal
交叉反应 Human,Mouse,Rat (predicted: Rabbit,Pig,Cow,Dog)
产品应用 WB=1:500-2000,IHC-P=1:100-500,IHC-F=1:100-500,IF=1:100-500
not yet tested in other applications.
optimal dilutions/concentrations should be determined by the end user.
理论分子量 65kDa
检测分子量 65
细胞定位 细胞浆 
性    状 Liquid
浓    度 1mg/ml
免 疫 原 KLH conjugated synthetic peptide derived from human CRMP5: 451-564/564 
亚    型 IgG
纯化方法 affinity purified by Protein A
缓 冲 液 0.01M TBS (pH7.4) with 1% BSA, 0.02% Proclin300 and 50% Glycerol.
保存条件 Shipped at 4℃. Store at -20℃ for one year. Avoid repeated freeze/thaw cycles.
注意事项 This product as supplied is intended for research use only, not for use in human, therapeutic or diagnostic applications.
PubMed PubMed
产品介绍 The collapsin response mediator protein (CRMP) family of proteins (also referred to as ULIP6) are a group of neurologic proteins that have been found to play key roles in growth cone guidance during neural development. CRMP5 has relatively low sequence homology with the other four members of the CRMP family. CRMP5 is expressed in the developing nervous system in an expression pattern that resembles CRMP2 and has a peak expression during the first postnatal week. Elevated levels of autoantibody to CRMP5 have been shown to be linked paraneoplastic autoimmune optic neuritis and other paraneoplastic neoplasms. Auto-immunity against CRMP5 expression (predominantly the N-terminal epitopes) is also being investigated as an oncological marker in the respiratory system and in the thymus.

Subunit:
Homotetramer, and heterotetramer with other DPYS-like proteins. Interacts with DPYSL2, DPYSL3 and DPYSL4.

Subcellular Location:
Cytoplasm.

Similarity:
Belongs to the DHOase family. Hydantoinase/dihydropyrimidinase subfamily.

SWISS:
Q9BPU6

Gene ID:
56896

Database links:

Entrez Gene: 56896 Human

Entrez Gene: 65254 Mouse

Entrez Gene: 100910964 Rat

Entrez Gene: 65208 Rat

Omim: 608383 Human

SwissProt: Q9BPU6 Human

SwissProt: Q9EQF6 Mouse

SwissProt: Q9JHU0 Rat

Unigene: 299315 Human

Unigene: 27732 Mouse

Unigene: 44871 Rat



产品图片
Sample: U251(Human) Cell Lysate at 30 ug Primary: Anti-CRMP5 (bs-8283R) at 1/500 dilution Secondary: IRDye800CW Goat Anti-Rabbit IgG at 1/20000 dilution Predicted band size: 65 kD Observed band size: 65 kD
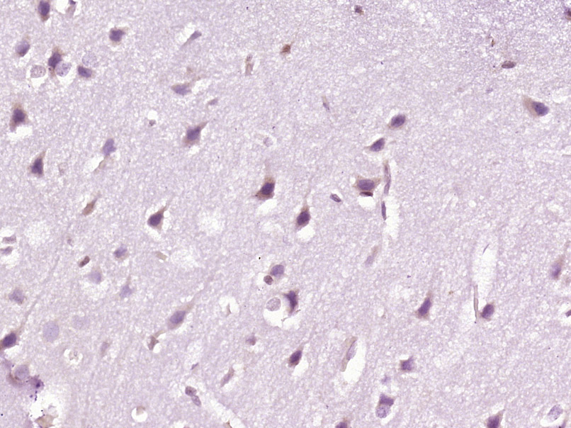
Paraformaldehyde-fixed, paraffin embedded (Rat brain); Antigen retrieval by boiling in sodium citrate buffer (pH6.0) for 15min; Block endogenous peroxidase by 3% hydrogen peroxide for 20 minutes; Blocking buffer (normal goat serum) at 37°C for 30min; Antibody incubation with (CRMP5) Polyclonal Antibody, Unconjugated (bs-8283R) at 1:400 overnight at 4°C, followed by operating according to SP Kit(Rabbit) (sp-0023) instructionsand DAB staining.
Paraformaldehyde-fixed, paraffin embedded (Mouse brain); Antigen retrieval by boiling in sodium citrate buffer (pH6.0) for 15min; Block endogenous peroxidase by 3% hydrogen peroxide for 20 minutes; Blocking buffer (normal goat serum) at 37°C for 30min; Antibody incubation with (CRMP5) Polyclonal Antibody, Unconjugated (bs-8283R) at 1:400 overnight at 4°C, followed by operating according to SP Kit(Rabbit) (sp-0023) instructionsand DAB staining.
版权所有 2004-2026 www.bioss.com.cn 北京博奥森生物技术有限公司
通过国际质量管理体系ISO 9001:2015 GB/T 19001-2016    证书编号: 00124Q34771R2M/1100
通过国际医疗器械-质量管理体系ISO 13485:2016 GB/T 42061-2022     证书编号: CQC24QY20047R0M/1100
京ICP备05066980号-1         京公网安备110107000727号