扫码关注公众号           扫码咨询技术支持           扫码咨询技术服务
  
客服热线:400-901-9800  客服QQ:4009019800  技术答疑  技术支持  质量反馈  关于我们  联系我们
产品中心-北京博奥森生物技术有限公司
首页 > 产品中心 > 一抗 > 产品信息
RGC32/C13orf15 Rabbit pAb (bs-9079R)  
订购热线:400-901-9800
订购邮箱:sales@bioss.com.cn
订购QQ:  400-901-9800
技术支持:techsupport@bioss.com.cn
50ul/1180.00元
100ul/1980.00元
200ul/2800.00元
大包装/询价

产品编号 bs-9079R
英文名称 RGC32/C13orf15 Rabbit pAb
中文名称 补体应答基因32抗体
别    名 RGC32; Chromosome 13 open reading frame 15; KIAA0564; MGC87338; response gene to complement 32; Response gene to complement 32 protein; RGC 32; RGCC_HUMAN.  
Specific References  (4)     |     bs-9079R has been referenced in 4 publications.
[IF=3.973] Nian-jie Zhang. et al. Nonylphenol Promoted Epithelial–Mesenchymal Transition in Colorectal Cancer Cells by Upregulating the Expression of Regulator of Cell Cycle. CHEM RES TOXICOL. 2022;35(9):1533–1540  IHC ;  Human.  
[IF=3.969] Sonia I. Vlaicu. et al. RGC-32′ dual role in smooth muscle cells and atherogenesis. CLIN IMMUNOL. 2022 May;238:109020  IHC ;  Human.  
[IF=2.64] Vlaicu, Sonia I., et al. "RGC-32 is expressed in the human atherosclerotic arterial wall: Role in C5b-9-induced cell proliferation and migration."Experimental and Molecular Pathology 101.2 (2016): 221-230.  IHC-P ;  Human.  
[IF=2.487] Tatomir A et al. RGC-32 regulates reactive astrocytosis and extracellular matrix deposition in experimental autoimmune encephalomyelitis.Immunol Res. 2018 Jul 13.  IHC-P&WB ;  Human&Rat.  
研究领域 肿瘤  细胞生物  免疫学  细胞周期蛋白  
抗体来源 Rabbit
克隆类型 Polyclonal
克 隆 号
交叉反应 Human,Mouse,Rat (predicted: Rabbit,Pig,Sheep,Cow,Chicken,Dog,Horse)
产品应用 IHC-P=1:100-500,IHC-F=1:100-500,IF=1:100-500,Flow-Cyt=1ug/test
not yet tested in other applications.
optimal dilutions/concentrations should be determined by the end user.
理论分子量 15 kDa
检测分子量
细胞定位 细胞核 细胞浆 
性    状 Liquid
浓    度 1mg/ml
免 疫 原 KLH conjugated synthetic peptide derived from human RGC32: 65-137/137 
亚    型 IgG
纯化方法 affinity purified by Protein A
缓 冲 液 0.01M TBS (pH7.4) with 1% BSA, 0.02% Proclin300 and 50% Glycerol.
保存条件 Shipped at 4℃. Store at -20℃ for one year. Avoid repeated freeze/thaw cycles.
注意事项 This product as supplied is intended for research use only, not for use in human, therapeutic or diagnostic applications.
PubMed PubMed
产品介绍 RGC32, also known as C13orf15, is a 137 amino acid protein that localizes to the cytoplasm, as well as to the nucleus and the centrosome. Expressed at high levels in kidney, pancreas and skeletal muscle and at lower levels in brain, heart and placenta, RGC32 functions to modulate the activity of cell cycle-specific kinases, thereby regulating cell cycle progression. Additionally, RGC32 may promote cell cycle arrest at the G2/M phase transition and is thought to inhibit the growth of glioma cells, possibly functioning as a tumor suppressor. Conversely, overexpression of RGC32 may promote cell replication and assist in the pathogenesis of malignancies, suggesting that RGC32 also participates in tumor transformation and progression. RGC32 activity is induced by complement activation and by p53 in response to DNA damage. Multiple isoforms of RGC32 exist as a result of alternative splicing events.

Function:
Modulates the activity of cell cycle-specific kinases. Enhances CDK1 activity. May contribute to the regulation of the cell cycle. May inhibit growth of glioma cells by promoting arrest of mitotic progression at the G2/M transition. Fibrogenic factor contributing to the pathogenesis of renal fibrosis through fibroblast activation.

Subunit:
Interacts with SMAD3. Interacts with CDK1 and PLK1.

Subcellular Location:
Cytoplasm. Nucleus. Cytoplasm ?cytoskeleton ?centrosome. Note: Cytoplasmic in unstimulated cells. Nuclear after activation by complement. Associated with the centrosome during prometaphase and metaphase.

Tissue Specificity:
Detected in brain, heart and liver (at protein level). Highly expressed in liver, skeletal muscle, kidney and pancreas. Detected at lower levels in heart, brain and placenta. Detected in aorta endothelial cells. Overexpressed in colon, breast, prostate, bladder, lung, and ovarian cancer tissues.

SWISS:
Q9H4X1

Gene ID:
28984

Database links:

Entrez Gene: 28984 Human

Omim: 610077 Human

SwissProt: Q9H4X1 Human



产品图片
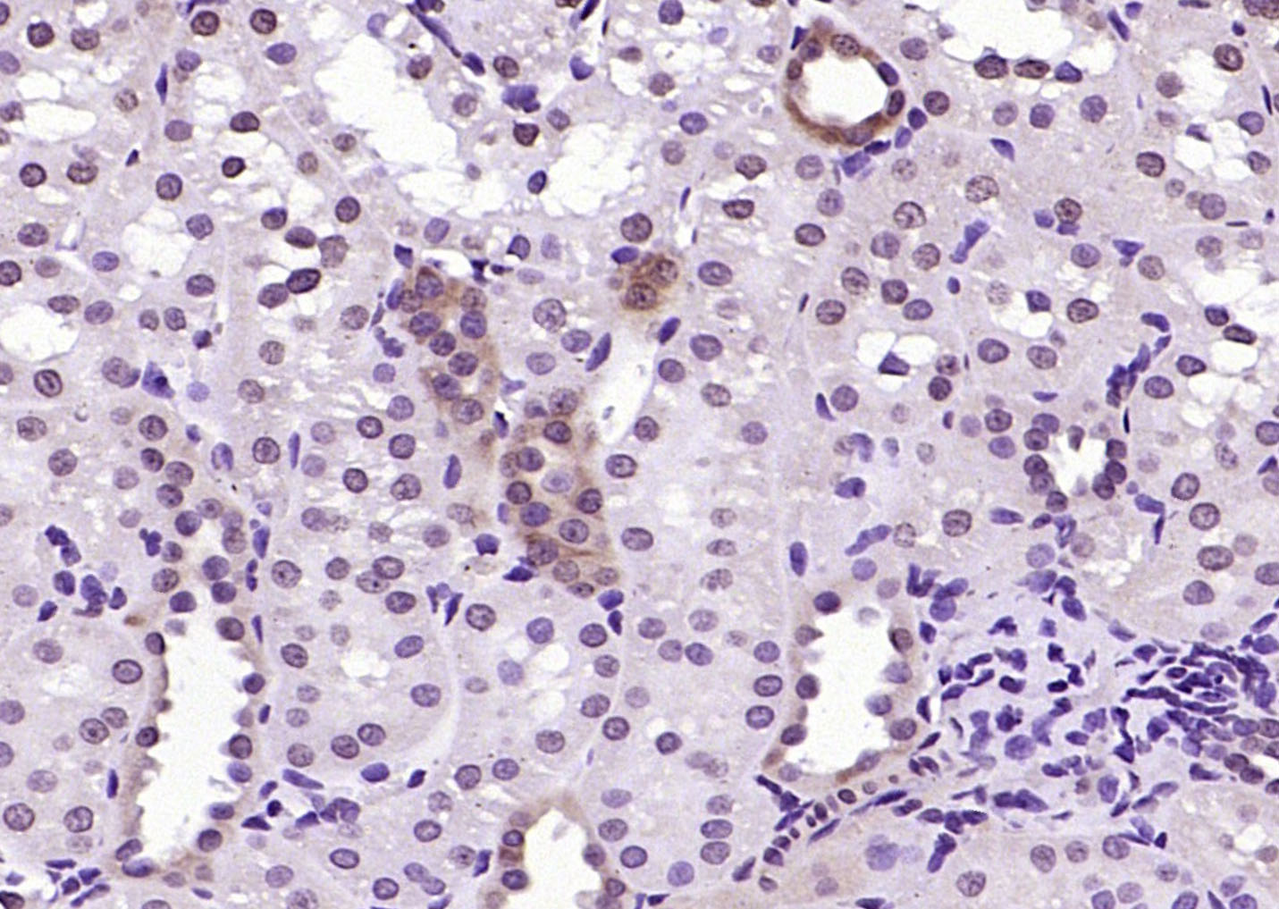
Paraformaldehyde-fixed, paraffin embedded (Human kidney); Antigen retrieval by boiling in sodium citrate buffer (pH6.0) for 15min; Block endogenous peroxidase by 3% hydrogen peroxide for 20 minutes; Blocking buffer (normal goat serum) at 37°C for 30min; Antibody incubation with (RGC32) Polyclonal Antibody, Unconjugated (bs-9079R) at 1:200 overnight at 4°C, followed by operating according to SP Kit(Rabbit) (sp-0023) instructionsand DAB staining.
Paraformaldehyde-fixed, paraffin embedded (rat kidney); Antigen retrieval by boiling in sodium citrate buffer (pH6.0) for 15min; Block endogenous peroxidase by 3% hydrogen peroxide for 20 minutes; Blocking buffer (normal goat serum) at 37°C for 30min; Antibody incubation with (RGC32) Polyclonal Antibody, Unconjugated (bs-9079R) at 1:200 overnight at 4°C, followed by operating according to SP Kit(Rabbit) (sp-0023) instructionsand DAB staining.
Paraformaldehyde-fixed, paraffin embedded (rat lung); Antigen retrieval by boiling in sodium citrate buffer (pH6.0) for 15min; Block endogenous peroxidase by 3% hydrogen peroxide for 20 minutes; Blocking buffer (normal goat serum) at 37°C for 30min; Antibody incubation with (RGC32) Polyclonal Antibody, Unconjugated (bs-9079R) at 1:200 overnight at 4°C, followed by operating according to SP Kit(Rabbit) (sp-0023) instructionsand DAB staining.
Paraformaldehyde-fixed, paraffin embedded (mouse lung); Antigen retrieval by boiling in sodium citrate buffer (pH6.0) for 15min; Block endogenous peroxidase by 3% hydrogen peroxide for 20 minutes; Blocking buffer (normal goat serum) at 37°C for 30min; Antibody incubation with (RGC32) Polyclonal Antibody, Unconjugated (bs-9079R) at 1:200 overnight at 4°C, followed by operating according to SP Kit(Rabbit) (sp-0023) instructionsand DAB staining.
Paraformaldehyde-fixed, paraffin embedded (rat colon); Antigen retrieval by boiling in sodium citrate buffer (pH6.0) for 15min; Block endogenous peroxidase by 3% hydrogen peroxide for 20 minutes; Blocking buffer (normal goat serum) at 37°C for 30min; Antibody incubation with (RGC32) Polyclonal Antibody, Unconjugated (bs-9079R) at 1:200 overnight at 4°C, followed by operating according to SP Kit(Rabbit) (sp-0023) instructionsand DAB staining.
Tissue/cell: rat brain tissue; 4% Paraformaldehyde-fixed and paraffin-embedded; Antigen retrieval: citrate buffer ( 0.01M, pH 6.0 ), Boiling bathing for 15min; Block endogenous peroxidase by 3% Hydrogen peroxide for 30min; Blocking buffer (normal goat serum,C-0005) at 37℃ for 20 min; Incubation: Anti-C13orf15 Polyclonal Antibody, Unconjugated(bs-9079R) 1:200, overnight at 4°C, followed by conjugation to the secondary antibody(SP-0023) and DAB(C-0010) staining
Blank control:Molt-4. Primary Antibody (green line): Rabbit Anti-C13orf15 antibody (bs-9079R) Dilution: 1μg /10^6 cells; Isotype Control Antibody (orange line): Rabbit IgG . Secondary Antibody : Goat anti-rabbit IgG-AF647 Dilution: 1μg /test. Protocol The cells were fixed with 4% PFA (10min at room temperature)and then permeabilized with 90% ice-cold methanol for 20 min at-20℃. The cells were then incubated in 5%BSA to block non-specific protein-protein interactions for 30 min at at room temperature .Cells stained with Primary Antibody for 30 min at room temperature. The secondary antibody used for 40 min at room temperature. Acquisition of 20,000 events was performed.
版权所有 2004-2026 www.bioss.com.cn 北京博奥森生物技术有限公司
通过国际质量管理体系ISO 9001:2015 GB/T 19001-2016    证书编号: 00124Q34771R2M/1100
通过国际医疗器械-质量管理体系ISO 13485:2016 GB/T 42061-2022     证书编号: CQC24QY20047R0M/1100
京ICP备05066980号-1         京公网安备110107000727号