扫码关注公众号           扫码咨询技术支持           扫码咨询技术服务
  
客服热线:400-901-9800  客服QQ:4009019800  技术答疑  技术支持  质量反馈  人才招聘  关于我们  联系我们
产品中心-北京博奥森生物技术有限公司
首页 > 产品中心 > 一抗 > 产品信息
AGXT2L2 Rabbit pAb (bs-9095R)  
订购热线:400-901-9800
订购邮箱:sales@bioss.com.cn
订购QQ:  400-901-9800
技术支持:techsupport@bioss.com.cn
50ul/1180.00元
100ul/1980.00元
200ul/2800.00元
大包装/询价

产品编号 bs-9095R
英文名称 AGXT2L2 Rabbit pAb
中文名称 AGXT2L2蛋白抗体
别    名 AGXT2L2; PHLU; 2900006B13Rik; AT2L2_HUMAN; PHYKPL; Alanine--glyoxylate aminotransferase 2-like 2; 4.2.3.134; AT2L2_MOUSE;   
研究领域 心血管  细胞生物  免疫学  糖尿病  
抗体来源 Rabbit
克隆类型 Polyclonal
克 隆 号
交叉反应 Mouse,Rat (predicted: Human,Sheep)
产品应用 WB=1:500-2000,IHC-P=1:100-500,IHC-F=1:100-500,IF=1:100-500
not yet tested in other applications.
optimal dilutions/concentrations should be determined by the end user.
理论分子量 50 kDa
细胞定位 细胞浆 
性    状 Liquid
浓    度 1mg/ml
免 疫 原 KLH conjugated synthetic peptide derived from human AGXT2L2: 381-450/450 
亚    型
纯化方法 affinity purified by Protein A
缓 冲 液 0.01M TBS (pH7.4) with 1% BSA, 0.02% Proclin300 and 50% Glycerol.
保存条件 Shipped at 4℃. Store at -20℃ for one year. Avoid repeated freeze/thaw cycles.
注意事项 This product as supplied is intended for research use only, not for use in human, therapeutic or diagnostic applications.
PubMed PubMed
产品介绍 Members of the class-III pyridoxal-phosphate-dependent aminotransferase family, such as AGXT2, catalyze the conversion of glyoxylate to glycine using L-alanine as the amino donor. AGXT2 protects from asymmetric dimethylarginine (ADMA)-induced inhibition in nitric oxide (NO) production. Elevated blood concentrations of ADMA, a methyl derivate of the amino acid arginine and an endogenous inhibitor of nitric oxide (NO) synthase, is produced by the physiological degradation of methylated proteins and is found in association with diabetes, hypertension, congestive heart failure and atherosclerosis. AGXT2L2 (alanine-glyoxylate aminotransferase 2-like 2) is a 450 amino acid pyridoxal phosphate that exists as a homotetramer. Belonging to the class-III pyridoxal-phosphate-dependent aminotransferase family, AGXT2L2 localizes to the mitochondria and exists as three alternatively spliced isoforms. Encoded by a gene located on human chromosome 5q35.3, AGXT2L2 may have similar functions as AGXT2.

Function:
Catalyzes the pyridoxal-phosphate-dependent breakdown of 5-phosphohydroxy-L-lysine, converting it to ammonia, inorganic phosphate and 2-aminoadipate semialdehyde.

Subunit:
Homotetramer.

Subcellular Location:
Mitochondrial

Similarity:
Belongs to the class-III pyridoxal-phosphate-dependent aminotransferase family.

SWISS:
Q8IUZ5

Gene ID:
85007

Database links:

Entrez Gene: 85007 Human

Entrez Gene: 72947 Mouse

Entrez Gene: 100169747 Rat

Omim: 614683 Human

SwissProt: Q8IUZ5 Human

SwissProt: Q8R1K4 Mouse

Unigene: 248746 Human

Unigene: 490267 Mouse

Unigene: 217734 Rat



产品图片
Sample: Kidney (Mouse) Lysate at 40 ug Primary: Anti-AGXT2L2 (bs-9095R) at 1/300 dilution Secondary: IRDye800CW Goat Anti-Rabbit IgG at 1/20000 dilution Predicted band size: 50 kD Observed band size: 48 kD
Sample: Heart (mouse) Lysate at 40 ug Primary: Anti- AGXT2L2 (bs-9095R)at 1/300 dilution Secondary: IRDye800CW Goat Anti-Rabbit IgG at 1/20000 dilution Predicted band size: 50kD Observed band size: 50 kD
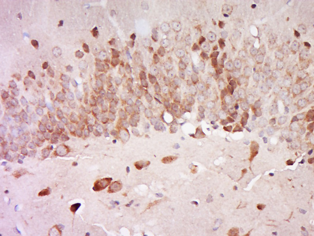
Tissue/cell: Rat brain tissue; 4% Paraformaldehyde-fixed and paraffin-embedded; Antigen retrieval: citrate buffer ( 0.01M, pH 6.0 ), Boiling bathing for 15min; Block endogenous peroxidase by 3% Hydrogen peroxide for 30min; Blocking buffer (normal goat serum,C-0005) at 37∩ for 20 min; Incubation: Anti-AGXT2L2 Polyclonal Antibody, Unconjugated(bs-9095R) 1:500, overnight at 4∑C, followed by conjugation to the secondary antibody(SP-0023) and DAB(C-0010) staining
版权所有 2004-2026 www.bioss.com.cn 北京博奥森生物技术有限公司
通过国际质量管理体系ISO 9001:2015 GB/T 19001-2016    证书编号: 00124Q34771R2M/1100
通过国际医疗器械-质量管理体系ISO 13485:2016 GB/T 42061-2022     证书编号: CQC24QY20047R0M/1100
京ICP备05066980号-1         京公网安备110107000727号