扫码关注公众号           扫码咨询技术支持           扫码咨询技术服务
  
客服热线:400-901-9800  客服QQ:4009019800  技术答疑  技术支持  质量反馈  人才招聘  关于我们  联系我们
产品中心-北京博奥森生物技术有限公司
首页 > 产品中心 > 一抗 > 产品信息
SERPINB12 Rabbit pAb (bs-9213R)  
订购热线:400-901-9800
订购邮箱:sales@bioss.com.cn
订购QQ:  400-901-9800
技术支持:techsupport@bioss.com.cn
50ul/1180.00元
100ul/1980.00元
200ul/2800.00元
大包装/询价

产品编号 bs-9213R
英文名称 SERPINB12 Rabbit pAb
中文名称 丝氨酸蛋白酶抑制剂B12抗体
别    名 YUKOPIN; SPB12_HUMAN; SERPINB12;   
研究领域 细胞生物  激酶和磷酸酶  
抗体来源 Rabbit
克隆类型 Polyclonal
克 隆 号
交叉反应 Human
产品应用 IHC-P=1:100-500,IHC-F=1:100-500,IF=1:100-500
not yet tested in other applications.
optimal dilutions/concentrations should be determined by the end user.
理论分子量 46 kDa
细胞定位 细胞浆 
性    状 Liquid
浓    度 1mg/ml
免 疫 原 KLH conjugated synthetic peptide derived from human SERPINB12: 101-200/405 
亚    型 IgG
纯化方法 affinity purified by Protein A
缓 冲 液 0.01M TBS (pH7.4) with 1% BSA, 0.02% Proclin300 and 50% Glycerol.
保存条件 Shipped at 4℃. Store at -20℃ for one year. Avoid repeated freeze/thaw cycles.
注意事项 This product as supplied is intended for research use only, not for use in human, therapeutic or diagnostic applications.
PubMed PubMed
产品介绍 The serine proteinase inhibitors (serpins) compose a superfamily of proteins with a diverse set of functions, including the control of blood coagulation, complement activation, programmed cell death and development. Serpins are secreted glycoproteins that contain a stretch of peptide that mimics a true substrate for a corresponding serine protease. SERPINB12 appears to be an inhibitor of trypsin-like serine proteinases, including mast cell tryptases.

Function:
Inhibits trypsin and plasmin, but not thrombin, coagulation factor Xa, or urokinase-type plasminogen activator.

Subcellular Location:
Cytoplasmic

Tissue Specificity:
Expressed in many tissues, including brain, bone marrow, lymph node, heart, lung, liver, pancreas, testis, ovary, and intestine.

Similarity:
Belongs to the serpin family. Ov-serpin subfamily.

SWISS:
Q96P63

Gene ID:
89777

Database links:

Entrez Gene: 89777 Human

SwissProt: Q96P63 Human

Unigene: 348541 Human



产品图片
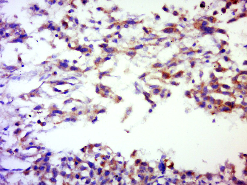
Paraformaldehyde-fixed, paraffin embedded (human lung cancer); Antigen retrieval by boiling in sodium citrate buffer (pH6.0) for 15min; Block endogenous peroxidase by 3% hydrogen peroxide for 20 minutes; Blocking buffer (normal goat serum) at 37°C for 30min; Antibody incubation with (SERPINB12) Polyclonal Antibody, Unconjugated (bs-9213R) at 1:500 overnight at 4°C, followed by a conjugated secondary (sp-0023) for 20 minutes and DAB staining.
版权所有 2004-2026 www.bioss.com.cn 北京博奥森生物技术有限公司
通过国际质量管理体系ISO 9001:2015 GB/T 19001-2016    证书编号: 00124Q34771R2M/1100
通过国际医疗器械-质量管理体系ISO 13485:2016 GB/T 42061-2022     证书编号: CQC24QY20047R0M/1100
京ICP备05066980号-1         京公网安备110107000727号