扫码关注公众号           扫码咨询技术支持           扫码咨询技术服务
  
客服热线:400-901-9800  客服QQ:4009019800  技术答疑  技术支持  质量反馈  关于我们  联系我们
产品中心-北京博奥森生物技术有限公司
首页 > 产品中心 > 一抗 > 产品信息
Nucleophosmin Rabbit pAb (bs-4757R)  
订购热线:400-901-9800
订购邮箱:sales@bioss.com.cn
订购QQ:  400-901-9800
技术支持:techsupport@bioss.com.cn
50ul/1180.00元
100ul/1980.00元
200ul/2800.00元
大包装/询价

产品编号 bs-4757R
英文名称 Nucleophosmin Rabbit pAb
中文名称 核仁磷酸蛋白抗体
别    名 B23; B23; MGC104254; NMP1; NMP1; NO38; NPM 1; NPM; NPM_HUMAN; NPM1; Nucleolar phosphoprotein B23; Nucleolar phosphoprotein B23; Nucleolar protein NO38; Nucleophosmin(nucleolar phosphoprotein B23 numatrin); Nucleophosmin; Nucleophosmin/B23.2; Nucleophosmin/nucleoplasmin family member 1; Nucleoplasmin Family Member 1; Nucleoplasmin Family Member 1; Numatrin; Numatrin; OTTHUMP00000161024; OTTHUMP00000161025; OTTHUMP00000223397; OTTHUMP00000223398; TRK fused gene.  
Specific References  (1)     |     bs-4757R has been referenced in 1 publications.
[IF=2.58] Jiang, Xiao-Hua, et al. "Effects of hepatitis C virus core protein and nonstructural protein 4B on the Wnt/β-catenin pathway." BMC microbiology 17.1 (2017): 124.  WB ;  Human.  
研究领域 细胞生物  免疫学  表观遗传学  
抗体来源 Rabbit
克隆类型 Polyclonal
克 隆 号
交叉反应 Human,Mouse (predicted: Rat,Rabbit,Pig,Cow,Dog,Horse)
产品应用 WB=1:500-2000,IHC-P=1:100-500,IHC-F=1:100-500,IF=1:50-200
not yet tested in other applications.
optimal dilutions/concentrations should be determined by the end user.
理论分子量 33 kDa
检测分子量
细胞定位 细胞核 
性    状 Liquid
浓    度 1mg/ml
免 疫 原 KLH conjugated synthetic peptide derived from human Nucleophosmin: 21-120/259 
亚    型 IgG
纯化方法 affinity purified by Protein A
缓 冲 液 0.01M TBS (pH7.4) with 1% BSA, 0.02% Proclin300 and 50% Glycerol.
保存条件 Shipped at 4℃. Store at -20℃ for one year. Avoid repeated freeze/thaw cycles.
注意事项 This product as supplied is intended for research use only, not for use in human, therapeutic or diagnostic applications.
PubMed PubMed
产品介绍 This gene encodes a phosphoprotein which moves between the nucleus and the cytoplasm. The gene product is thought to be involved in several processes including regulation of the ARF/p53 pathway. A number of genes are fusion partners have been characterized, in particular the anaplastic lymphoma kinase gene on chromosome 2. Mutations in this gene are associated with acute myeloid leukemia. More than a dozen pseudogenes of this gene have been identified. Alternative splicing results in multiple transcript variants.[provided by RefSeq, Nov 2009].

Function:
Involved in diverse cellular processes such as ribosome biogenesis, centrosome duplication, protein chaperoning, histone assembly, cell proliferation, and regulation of tumor suppressors p53/TP53 and ARF. Binds ribosome presumably to drive ribosome nuclear export. Associated with nucleolar ribonucleoprotein structures and bind single-stranded nucleic acids. Acts as a chaperonin for the core histones H3, H2B and H4. Stimulates APEX1 endonuclease activity on apurinic/apyrimidinic (AP) double-stranded DNA but inhibits APEX1 endonuclease activity on AP single-stranded RNA. May exert a control of APEX1 endonuclease activity within nucleoli devoted to repair AP on rDNA and the removal of oxidized rRNA molecules.

Subunit:
Decamer formed by two pentameric rings associated in a head-to-head fashion. Disulfide-linked dimers under certain conditions. The SWAP complex consists of NPM1, NCL, PARP1 and SWAP70 (By similarity). Interacts with NSUN2 and SENP3. Interacts with hepatitis delta virus S-HDAg. Interacts with HTLV1 Rex protein (via N-terminal nuclear localization signal). Interacts with the methylated form of RPS10. Interacts (via N-terminal domain) with APEX1; the interaction is RNA-dependent and decreases in hydrogen peroxide-damaged cells.

Subcellular Location:
Nucleus, nucleolus. Nucleus, nucleoplasm. Note=Generally nucleolar, but is translocated to the nucleoplasm in case of serum starvation or treatment with anticancer drugs. Has been found in the cytoplasm in patients with primary acute myelogenous leukemia (AML), but not with secondary AML. Can shuttle between cytoplasm and nucleus. Co-localizes with the methylated form of RPS10 in the granular component (GC) region of the nucleolus. Colocalized with nucleolin and APEX1 in nucleoli.

Post-translational modifications:
Acetylated at C-terminal lysine residues, thereby increasing affinity to histones.
ADP-ribosylated.
Phosphorylated at Ser-4 by PLK1. Phosphorylated by CDK2 at Ser-125 and Thr-199. Phosphorylation at Thr-199 may trigger initiation of centrosome duplication. Phosphorylated by CDK1 at Thr-199, Thr-219, Thr-234 and Thr-237 during cell mitosis. When these four sites are phosphorated, RNA-binding activity seem to be abolished. May be phosphorylated at Ser-70 by NEK2.
Sumoylated by ARF.

DISEASE:
Note=A chromosomal aberration involving NPM1 is found in a form of non-Hodgkin lymphoma. Translocation t(2;5)(p23;q35) with ALK. The resulting chimeric NPM1-ALK protein homodimerize and the kinase becomes constitutively activated.
Note=A chromosomal aberration involving NPM1 is found in a form of acute promyelocytic leukemia. Translocation t(5;17)(q32;q11) with RARA.
Note=A chromosomal aberration involving NPM1 is a cause of myelodysplastic syndrome (MDS). Translocation t(3;5)(q25.1;q34) with MLF1.
Note=Defects in NPM1 are associated with acute myelogenous leukemia (AML). Mutations in exon 12 affecting the C-terminus of the protein are associated with an aberrant cytoplasmic location.

Similarity:
Belongs to the nucleoplasmin family.

SWISS:
P06748

Gene ID:
4869

Database links:

Entrez Gene: 4869 Human

Entrez Gene: 18148 Mouse

Entrez Gene: 25498 Rat

Omim: 164040 Human

SwissProt: P06748 Human

SwissProt: Q61937 Mouse

SwissProt: P13084 Rat

Unigene: 557550 Human

Unigene: 485384 Mouse

Unigene: 54537 Rat



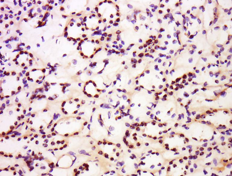
产品图片
Sample: Lane 1: Mouse NIH/3T3 cell lysates Lane 2: Human K562 cell lysates Lane 3: Human HepG2 cell lysates Lane 4: Human HeLa cell lysates Lane 5: Human SH-SY5Y cell lysates Primary: Anti-Nucleophosmin (bs-4757R) at 1/1000 dilution Secondary: IRDye800CW Goat Anti-Rabbit IgG at 1/20000 dilution Predicted band size: 33 kDa Observed band size: 37 kDa
Tissue/cell: human kidney tissue; 4% Paraformaldehyde-fixed and paraffin-embedded; Antigen retrieval: citrate buffer ( 0.01M, pH 6.0 ), Boiling bathing for 15min; Block endogenous peroxidase by 3% Hydrogen peroxide for 30min; Blocking buffer (normal goat serum,C-0005) at 37℃ for 20 min; Incubation: Anti-NPM1 Polyclonal Antibody, Unconjugated(bs-4757R) 1:200, overnight at 4°C, followed by conjugation to the secondary antibody(SP-0023) and DAB(C-0010) staining
版权所有 2004-2026 www.bioss.com.cn 北京博奥森生物技术有限公司
通过国际质量管理体系ISO 9001:2015 GB/T 19001-2016    证书编号: 00124Q34771R2M/1100
通过国际医疗器械-质量管理体系ISO 13485:2016 GB/T 42061-2022     证书编号: CQC24QY20047R0M/1100
京ICP备05066980号-1         京公网安备110107000727号