扫码关注公众号           扫码咨询技术支持           扫码咨询技术服务
  
客服热线:400-901-9800  客服QQ:4009019800  技术答疑  技术支持  质量反馈  人才招聘  关于我们  联系我们
产品中心-北京博奥森生物技术有限公司
首页 > 产品中心 > 一抗 > 产品信息
Phospholipase C beta 1 Rabbit pAb (bs-6976R)  
订购热线:400-901-9800
订购邮箱:sales@bioss.com.cn
订购QQ:  400-901-9800
技术支持:techsupport@bioss.com.cn
50ul/1180.00元
100ul/1980.00元
200ul/2800.00元
大包装/询价

产品编号 bs-6976R
英文名称 Phospholipase C beta 1 Rabbit pAb
中文名称 磷酯酶Cβ1抗体
别    名 DEE12; EIEE12; PI-PLC; PLC-154; PLC-I; PLC-beta-1; PLC154; PLCB1A; PLCB1B; 3110043I21Rik; Plcb; mKIAA0581; PLC'1; PLCbeta1; Phosphb; RATPHOSPHB; PLCB1_HUMAN; PLCB1; Phosphoinositide phospholipase C-beta-1; Phospholipase C-I (PLC-I); Phospholipase C-beta-1  
研究领域 肿瘤  细胞生物  信号转导  
抗体来源 Rabbit
克隆类型 Polyclonal
克 隆 号
交叉反应 Human,Rat (predicted: Mouse,Cow,Chicken,Dog,Horse)
产品应用 WB=1:500-2000,IHC-P=1:100-500,IHC-F=1:100-500,IF=1:100-500,Flow-Cyt=1μg/Test
not yet tested in other applications.
optimal dilutions/concentrations should be determined by the end user.
理论分子量 134 kDa
检测分子量 134
细胞定位 细胞核 细胞浆 细胞膜 
性    状 Liquid
浓    度 1mg/ml
免 疫 原 KLH conjugated synthetic peptide derived from human Phospholipase C beta 1: 441-540/1216 
亚    型 IgG
纯化方法 affinity purified by Protein A
缓 冲 液 0.01M TBS (pH7.4) with 1% BSA, 0.02% Proclin300 and 50% Glycerol.
保存条件 Shipped at 4℃. Store at -20℃ for one year. Avoid repeated freeze/thaw cycles.
注意事项 This product as supplied is intended for research use only, not for use in human, therapeutic or diagnostic applications.
PubMed PubMed
产品介绍 Phospholipase C beta 1 catalyzes the formation of inositol 1,4,5-trisphosphate and diacylglycerol from phosphatidylinositol 4,5-bisphosphate. This reaction uses calcium as a cofactor and plays an important role in the intracellular transduction of many extracellular signals. Its gene is activated by two G-protein alpha subunits, alpha-q and alpha-11. Two transcript variants encoding different isoforms have been found for its gene.

Function:
The production of the second messenger molecules diacylglycerol (DAG) and inositol 1,4,5-trisphosphate (IP3) is mediated by activated phosphatidylinositol-specific phospholipase C enzymes.

Subunit:
Interacts with DGKQ.

Subcellular Location:
Cytoplasmic and Nuclear.

DISEASE:
Defects in PLCB1 are the cause of epileptic encephalopathy early infantile type 12 (EIEE12) [MIM:613722]. EIEE12 is a form of epilepsy characterized by frequent tonic seizures or spasms beginning in infancy with a specific EEG finding of suppression-burst patterns, characterized by high-voltage bursts alternating with almost flat suppression phases. Patients may progress to West syndrome, which is characterized by tonic spasms with clustering, arrest of psychomotor development, and hypsarrhythmia on EEG.

Similarity:
Contains 1 C2 domain.
Contains 1 PI-PLC X-box domain.
Contains 1 PI-PLC Y-box domain.

SWISS:
Q9NQ66

Gene ID:
23236

Database links:

Entrez Gene: 23236 Human

Entrez Gene: 18795 Mouse

Entrez Gene: 24654 Rat

Omim: 607120 Human

SwissProt: Q9NQ66 Human

SwissProt: Q9Z1B3 Mouse

SwissProt: P10687 Rat

Unigene: 431173 Human

Unigene: 330607 Mouse

Unigene: 45523 Rat



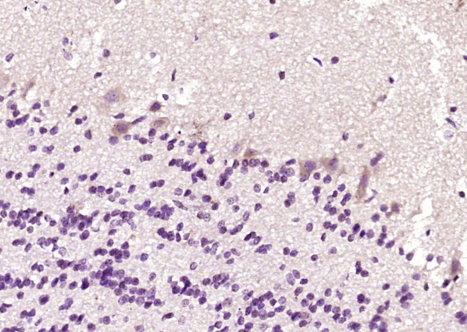
产品图片
Sample: U-2OS(Human) Cell Lysate at 30 ug Primary: Anti- Phospholipase C beta 1 (bs-6976R) at 1/1000 dilution Secondary: IRDye800CW Goat Anti-Rabbit IgG at 1/20000 dilution Predicted band size: 134 kD Observed band size: 134 kD
Paraformaldehyde-fixed, paraffin embedded (rat brain); Antigen retrieval by boiling in sodium citrate buffer (pH6.0) for 15min; Block endogenous peroxidase by 3% hydrogen peroxide for 20 minutes; Blocking buffer (normal goat serum) at 37°C for 30min; Antibody incubation with (Phospholipase C beta 1) Polyclonal Antibody, Unconjugated (bs-6976R) at 1:200 overnight at 4°C, followed by operating according to SP Kit(Rabbit) (sp-0023) instructionsand DAB staining.
Blank control(blue): Hela Cells(fixed with 2% paraformaldehyde (10 min) and then permeabilized with ice-cold 90% methanol for 30 min on ice). Primary Antibody: Rabbit Anti-Phospholipase C beta 2/AF647 Conjugated antibody (bs-6976R-AF647), Dilution: 1μg in 100 μL 1X PBS containing 0.5% BSA; Isotype Control Antibody: Rabbit IgG/AF647(orange) ,used under the same conditions.
版权所有 2004-2026 www.bioss.com.cn 北京博奥森生物技术有限公司
通过国际质量管理体系ISO 9001:2015 GB/T 19001-2016    证书编号: 00124Q34771R2M/1100
通过国际医疗器械-质量管理体系ISO 13485:2016 GB/T 42061-2022     证书编号: CQC24QY20047R0M/1100
京ICP备05066980号-1         京公网安备110107000727号