扫码关注公众号           扫码咨询技术支持           扫码咨询技术服务
  
客服热线:400-901-9800  客服QQ:4009019800  技术答疑  技术支持  质量反馈  关于我们  联系我们
产品中心-北京博奥森生物技术有限公司
首页 > 产品中心 > 一抗 > 产品信息
p150 CAF1 Rabbit pAb (bs-9392R)  
订购热线:400-901-9800
订购邮箱:sales@bioss.com.cn
订购QQ:  400-901-9800
技术支持:techsupport@bioss.com.cn
50ul/1180.00元
100ul/1980.00元
200ul/2800.00元
大包装/询价

产品编号 bs-9392R
英文名称 p150 CAF1 Rabbit pAb
中文名称 染色质组装因子1P155抗体
别    名 CAF-1 p150; CAF 1 150 kDa subunit; CAF 1; CAF 1 subunit A; CAF; CAF I 150 kDa subunit; CAF I p150; CAF Ip150; CAF-1 subunit A; CAF-I 150 kDa subunit; CAF-I p150; CAF1 150 kDa subunit; CAF1; CAF1 p150 Subunit; CAF1 subunit A; CAF1A; CAF1A; CAF1A_HUMAN; CAF1B; CAF1P150; CAF1P155; CAF1P155; CHAF1A; Chromatin assembly factor 1 subunit A; Chromatin Assembly Factor 1 Subunit A p150; Chromatin assembly factor I(150 kDa); Chromatin assembly factor I 150 kDa; Chromatin Assembly Factor I; Chromatin assembly factor I p150 subunit; DCAF1; hp150; Nucleosome Remodeling Factor 150kDa Subunit; NURF150; P150.  
研究领域 细胞生物  表观遗传学  
抗体来源 Rabbit
克隆类型 Polyclonal
克 隆 号
交叉反应 Mouse (predicted: Human,Rat,Pig,Cow,Dog,Horse)
产品应用 IHC-P=1:100-500,IHC-F=1:100-500,IF=1:50-200
not yet tested in other applications.
optimal dilutions/concentrations should be determined by the end user.
理论分子量 150 kDa
检测分子量
细胞定位 细胞核 
性    状 Liquid
浓    度 1mg/ml
免 疫 原 KLH conjugated synthetic peptide derived from human p150 CAF1: 355-450/956 
亚    型 IgG
纯化方法 affinity purified by Protein A
缓 冲 液 0.01M TBS (pH7.4) with 1% BSA, 0.02% Proclin300 and 50% Glycerol.
保存条件 Shipped at 4℃. Store at -20℃ for one year. Avoid repeated freeze/thaw cycles.
注意事项 This product as supplied is intended for research use only, not for use in human, therapeutic or diagnostic applications.
PubMed PubMed
产品介绍 Core component of the CAF-1 complex, a complex thought to mediate chromatin assembly in DNA replication and DNA repair. Assembles histone octamers onto replicating DNA in vitro. CAF-1 performs the first step of the nucleosome assembly process, bringing newly synthesized histones H3 and H4 to replicating DNA; histones H2A/H2B can bind to this chromatin precursor subsequent to DNA replication to complete the histone octamer. CHAF1A binds to histones H3 and H4. It may play a role in heterochromatin maintenance in proliferating cells by bringing newly synthesized cbx proteins to heterochromatic DNA replication foci (By similarity). The CCR4-NOT complex functions as general transcription regulation complex. Also involved in vitamin D-coupled transcription regulation via its association with the WINAC complex, a chromatin-remodeling complex recruited by vitamin D receptor (VDR), which is required for the ligand-bound VDR-mediated transrepression of the CYP27B1 gene.

Function:
Core component of the CAF-1 complex, a complex thought to mediate chromatin assembly in DNA replication and DNA repair. Assembles histone octamers onto replicating DNA in vitro. CAF-1 performs the first step of the nucleosome assembly process, bringing newly synthesized histones H3 and H4 to replicating DNA; histones H2A/H2B can bind to this chromatin precursor subsequent to DNA replication to complete the histone octamer. CHAF1A binds to histones H3 and H4. It may play a role in heterochromatin maintenance in proliferating cells by bringing newly synthesized cbx proteins to heterochromatic DNA replication foci (By similarity). The CCR4-NOT complex functions as general transcription regulation complex. Also involved in vitamin D-coupled transcription regulation via its association with the WINAC complex, a chromatin-remodeling complex recruited by vitamin D receptor (VDR), which is required for the ligand-bound VDR-mediated transrepression of the CYP27B1 gene.

Subunit:
Homodimer. Part of the CAF-1 complex that contains RBBP4, CHAF1B and CHAF1A. CHAF1A binds directly to CHAF1B. Only minor amounts of RBBP4 are complexed with CHAF1A and CHAF1B in G1 phase. Part of the CCR4-NOT core complex that contains CHAF1A, CHAF1B, CNOT1, CNOT2, CNOT3, CNOT4, CNOT6 and CNOT8. CHAF1A binds directly to PCNA and to CBX1. Binds MBD1. Interacts directly with CBX5 via the PxVxL motif. During DNA replication, it forms a S phase-specific complex that facilitates DNA methylation and histone H3 'Lys-9' methylation during replication-coupled chromatin assembly and is at least composed of the CHAF1A, MBD1 and SETDB1. Component of the WINAC complex, at least composed of SMARCA2, SMARCA4, SMARCB1, SMARCC1, SMARCC2, SMARCD1, SMARCE1, ACTL6A, BAZ1B/WSTF, ARID1A, SUPT16H, CHAF1A and TOP2B. Interacts with CBX5.

Subcellular Location:
Nucleus. Note=DNA replication foci.

Post-translational modifications:
Phosphorylated upon DNA damage, probably by ATM or ATR.

Similarity:
Belongs to the CHAF1A family. foci.

SWISS:
Q13111

Gene ID:
10036

Database links:

Entrez Gene: 10036 Human

Omim: 601246 Human

SwissProt: Q13111 Human

Unigene: 79018 Human



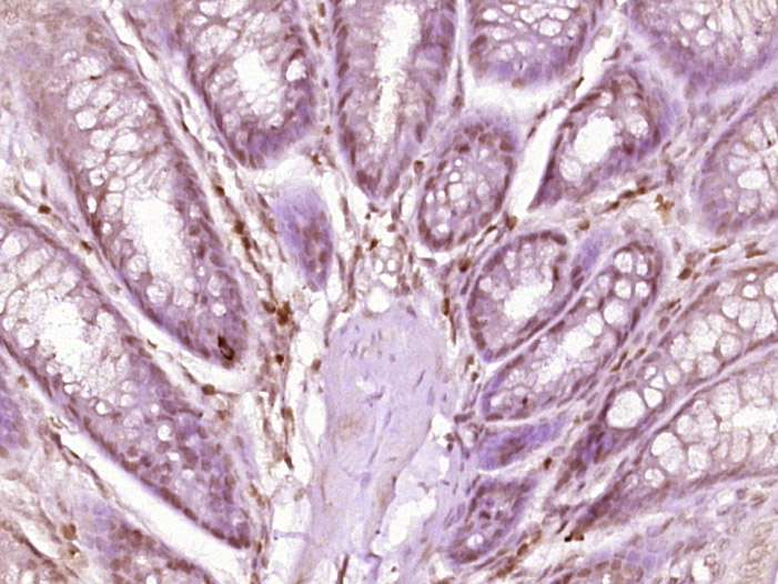
产品图片
Paraformaldehyde-fixed, paraffin embedded (mouse colon tissue); Antigen retrieval by boiling in sodium citrate buffer (pH6.0) for 15min; Block endogenous peroxidase by 3% hydrogen peroxide for 20 minutes; Blocking buffer (normal goat serum) at 37°C for 30min; Antibody incubation with (p150 CAF1) Polyclonal Antibody, Unconjugated (bs-9392R) at 1:400 overnight at 4°C, followed by operating according to SP Kit(Rabbit) (sp-0023) instructionsand DAB staining.
版权所有 2004-2026 www.bioss.com.cn 北京博奥森生物技术有限公司
通过国际质量管理体系ISO 9001:2015 GB/T 19001-2016    证书编号: 00124Q34771R2M/1100
通过国际医疗器械-质量管理体系ISO 13485:2016 GB/T 42061-2022     证书编号: CQC24QY20047R0M/1100
京ICP备05066980号-1         京公网安备110107000727号