扫码关注公众号           扫码咨询技术支持           扫码咨询技术服务
  
客服热线:400-901-9800  客服QQ:4009019800  技术答疑  技术支持  质量反馈  人才招聘  关于我们  联系我们
产品中心-北京博奥森生物技术有限公司
首页 > 产品中心 > 一抗 > 产品信息
MAP4K6 Rabbit pAb (bs-9109R)  
订购热线:400-901-9800
订购邮箱:sales@bioss.com.cn
订购QQ:  400-901-9800
技术支持:techsupport@bioss.com.cn
50ul/1180.00元
100ul/1980.00元
200ul/2800.00元
大包装/询价

产品编号 bs-9109R
英文名称 MAP4K6 Rabbit pAb
中文名称 丝裂原活化蛋白激酶MAP4K6抗体
别    名 MINK1_HUMAN; MINK1; GCK family kinase MiNK; MAPK/ERK kinase kinase kinase 6 (MEK kinase kinase 6 | MEKKK 6); Misshapen/NIK-related kinase; Mitogen-activated protein kinase kinase kinase kinase 6; 2.7.11.1; B55; MAP4K6; MINK; YSK2; ZC3; MEKKK 6;   
研究领域 细胞生物  神经生物学  信号转导  激酶和磷酸酶  
抗体来源 Rabbit
克隆类型 Polyclonal
克 隆 号
交叉反应 Rat (predicted: Human,Mouse,Rabbit,Pig,Cow)
产品应用 IHC-P=1:100-500,IHC-F=1:100-500,IF=1:100-500
not yet tested in other applications.
optimal dilutions/concentrations should be determined by the end user.
理论分子量 147 kDa
细胞定位 细胞浆 细胞膜 
性    状 Liquid
浓    度 1mg/ml
免 疫 原 KLH conjugated synthetic peptide derived from human MAP4K6: 951-1100/1332 
亚    型 IgG
纯化方法 affinity purified by Protein A
缓 冲 液 0.01M TBS (pH7.4) with 1% BSA, 0.02% Proclin300 and 50% Glycerol.
保存条件 Shipped at 4℃. Store at -20℃ for one year. Avoid repeated freeze/thaw cycles.
注意事项 This product as supplied is intended for research use only, not for use in human, therapeutic or diagnostic applications.
PubMed PubMed
产品介绍 MAP4K6 is a serine/threonine kinase belonging to the germinal center kinase (GCK) family. These kinases regulate a wide variety of cellular processes by coupling cell surface receptors to MAPK pathways. This kinase appears to act upstream of the JUN N-terminal pathway and may be involved in brain development. It may also play a role in the response to environmental stress, in cytoskeleton reorganization, cell adhesion, and cell motility. Alternative splicing occurs at this locus and four transcript variants encoding distinct isoforms have been identified.

Function:
Serine/threonine kinase which acts as a negative regulator of Ras-related Rap2-mediated signal transduction to control neuronal structure and AMPA receptor trafficking. Required for normal synaptic density, dendrite complexity, as well as surface AMPA receptor expression in hippocampal neurons. Can activate the JNK and MAPK14/p38 pathways and mediates stimulation of the stress-activated protein kinase MAPK14/p38 MAPK downstream of the Raf/ERK pathway. Phosphorylates: TANC1 upon stimulation by RAP2A, MBP and SMAD1. Has an essential function in negative selection of thymocytes, perhaps by coupling NCK1 to activation of JNK1.
Isoform 4 can activate the JNK pathway. Involved in the regulation of actin cytoskeleton reorganization, cell-matrix adhesion, cell-cell adhesion and cell migration.

Subunit:
Interacts with TANC1. Interacts with RAP2A. Isoform 4 interacts with NCK1.

Subcellular Location:
Cytoplasm. Cell junction, synapse, postsynaptic cell membrane, postsynaptic density. Cell projection, axon. Cell projection, dendrite.
Isoform 4: Golgi apparatus.

Tissue Specificity:
Expressed in the brain, isoform 2 is more abundant than isoform 1. Isoform 3 is ubiquitously expressed. Isoform 1 is most abundant in the skeletal muscle. Isoform 4 is ubiquitously expressed with relative high levels in brain, skeletal muscle, pancreas and testis.

Post-translational modifications:
Autophosphorylated.

Similarity:
Belongs to the protein kinase superfamily. STE Ser/Thr protein kinase family. STE20 subfamily.
Contains 1 CNH domain.
Contains 1 protein kinase domain.

SWISS:
Q8N4C8

Gene ID:
50488

Database links:
UniProtKB/Swiss-Prot: Q8N4C8.2

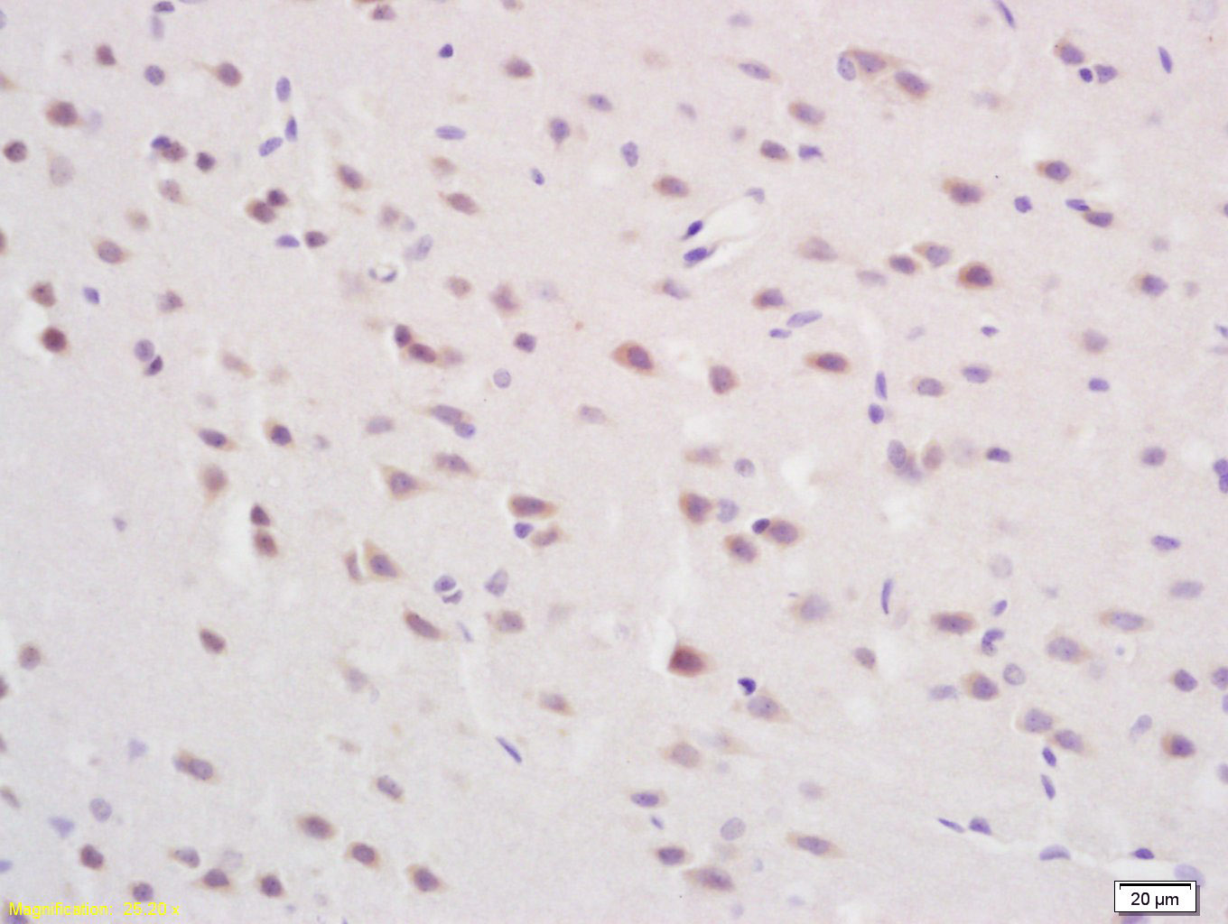
产品图片
Tissue/cell: rat brain tissue; 4% Paraformaldehyde-fixed and paraffin-embedded; Antigen retrieval: citrate buffer ( 0.01M, pH 6.0 ), Boiling bathing for 15min; Block endogenous peroxidase by 3% Hydrogen peroxide for 30min; Blocking buffer (normal goat serum,C-0005) at 37℃ for 20 min; Incubation: Anti-MAP4K6/MINK1 Polyclonal Antibody, Unconjugated(bs-9109R) 1:200, overnight at 4°C, followed by conjugation to the secondary antibody(SP-0023) and DAB(C-0010) staining
版权所有 2004-2026 www.bioss.com.cn 北京博奥森生物技术有限公司
通过国际质量管理体系ISO 9001:2015 GB/T 19001-2016    证书编号: 00124Q34771R2M/1100
通过国际医疗器械-质量管理体系ISO 13485:2016 GB/T 42061-2022     证书编号: CQC24QY20047R0M/1100
京ICP备05066980号-1         京公网安备110107000727号