扫码关注公众号           扫码咨询技术支持           扫码咨询技术服务
  
客服热线:400-901-9800  客服QQ:4009019800  技术答疑  技术支持  质量反馈  人才招聘  关于我们  联系我们
产品中心-北京博奥森生物技术有限公司
首页 > 产品中心 > 一抗 > 产品信息
CSEN Rabbit pAb (bs-9853R)  
订购热线:400-901-9800
订购邮箱:sales@bioss.com.cn
订购QQ:  400-901-9800
技术支持:techsupport@bioss.com.cn
50ul/1180.00元
100ul/1980.00元
200ul/2800.00元
大包装/询价

产品编号 bs-9853R
英文名称 CSEN Rabbit pAb
中文名称 钾通道相互作用蛋白3抗体
别    名 CSEN; DREAM; KCHIP3; 4933407H12Rik; rKChIP3; CSEN_HUMAN; KCNIP3; A-type potassium channel modulatory protein 3; DRE-antagonist modulator (DREAM); Kv channel-interacting protein 3 (KChIP3); CSEN_MOUSE; CSEN_RAT;   
研究领域 心血管  神经生物学  通道蛋白  
抗体来源 Rabbit
克隆类型 Polyclonal
克 隆 号
交叉反应 Human,Mouse,Rat (predicted: Rabbit,Pig,Cow,Dog)
产品应用 WB=1:500-2000,IHC-P=1:100-500,IHC-F=1:100-500,IF=1:100-500
not yet tested in other applications.
optimal dilutions/concentrations should be determined by the end user.
理论分子量 28 kDa
检测分子量 28
细胞定位 细胞核 细胞浆 细胞膜 
性    状 Liquid
浓    度 1mg/ml
免 疫 原 KLH conjugated synthetic peptide derived from human CSEN: 51-150/256 
亚    型 IgG
纯化方法 affinity purified by Protein A
缓 冲 液 0.01M TBS (pH7.4) with 1% BSA, 0.02% Proclin300 and 50% Glycerol.
保存条件 Shipped at 4℃. Store at -20℃ for one year. Avoid repeated freeze/thaw cycles.
注意事项 This product as supplied is intended for research use only, not for use in human, therapeutic or diagnostic applications.
PubMed PubMed
产品介绍 This gene encodes a member of the family of voltage-gated potassium (Kv) channel-interacting proteins, which belong to the recoverin branch of the EF-hand superfamily. Members of this family are small calcium binding proteins containing EF-hand-like domains. They are integral subunit components of native Kv4 channel complexes that may regulate A-type currents, and hence neuronal excitability, in response to changes in intracellular calcium. The encoded protein also functions as a calcium-regulated transcriptional repressor, and interacts with presenilins. Alternatively spliced transcript variants encoding different isoforms have been described. [provided by RefSeq, Jul 2008].

Function:
Calcium-dependent transcriptional repressor that binds to the DRE element of genes including PDYN and FOS. Affinity for DNA is reduced upon binding to calcium and enhanced by binding to magnesium. Seems to be involved in nociception (By similarity).
Regulatory subunit of Kv4/D (Shal)-type voltage-gated rapidly inactivating A-type potassium channels. Probably modulates channels density, inactivation kinetics and rate of recovery from inactivation in a calcium-dependent and isoform-specific manner. In vitro, modulates KCND2/Kv4.2 and KCND3/Kv4.3 currents. Involved in KCND2 and probably KCND3 trafficking to the cell surface.
May play a role in the regulation of PSEN2 proteolytic processing and apoptosis. Together with PSEN2 involved in modulation of beta-amyloid formation.

Subunit:
inds to DNA as a homomultimer. Dimerization is induced by binding to calcium. Component of heteromultimeric potassium channels. Interacts with KCND2 and KCND3. Interacts with the C-terminus of PSEN1 and PSEN2 and with PSEN2 CTF subunit. Associates with KCN1.

Subcellular Location:
Cytoplasm. Cell membrane; Lipid-anchor. Endoplasmic reticulum. Golgi apparatus. Nucleus (Probable). Note=Also membrane-bound, associated with the plasma membrane. In the presence of PSEN2 associated with the endoplasmic reticulum and Golgi.

Tissue Specificity:
Highly expressed in brain. Widely expressed at lower levels. Expression levels are elevated in brain cortex regions affected by Alzheimer disease.

Post-translational modifications:
Palmitoylated. Palmitoylation enhances association with the plasma membrane.
Proteolytically cleaved by caspase-3.
Phosphorylation at Ser-63 inhibits cleavage by CASP3.

Similarity:
Belongs to the recoverin family.
Contains 4 EF-hand domains.

SWISS:
Q9Y2W7

Gene ID:
30818

Database links:

Entrez Gene: 30818 Human

Omim: 604662 Human

SwissProt: Q9Y2W7 Human

Unigene: 437376 Human



产品图片
Sample: Hek293D serum Lysate at 40 ug Primary: Anti-CSEN (bs-9853R) at 1/2000 dilution Secondary: IRDye800CW Goat Anti-Rabbit IgG at 1/20000 dilution Predicted band size: 28 kD Observed band size: 28kD
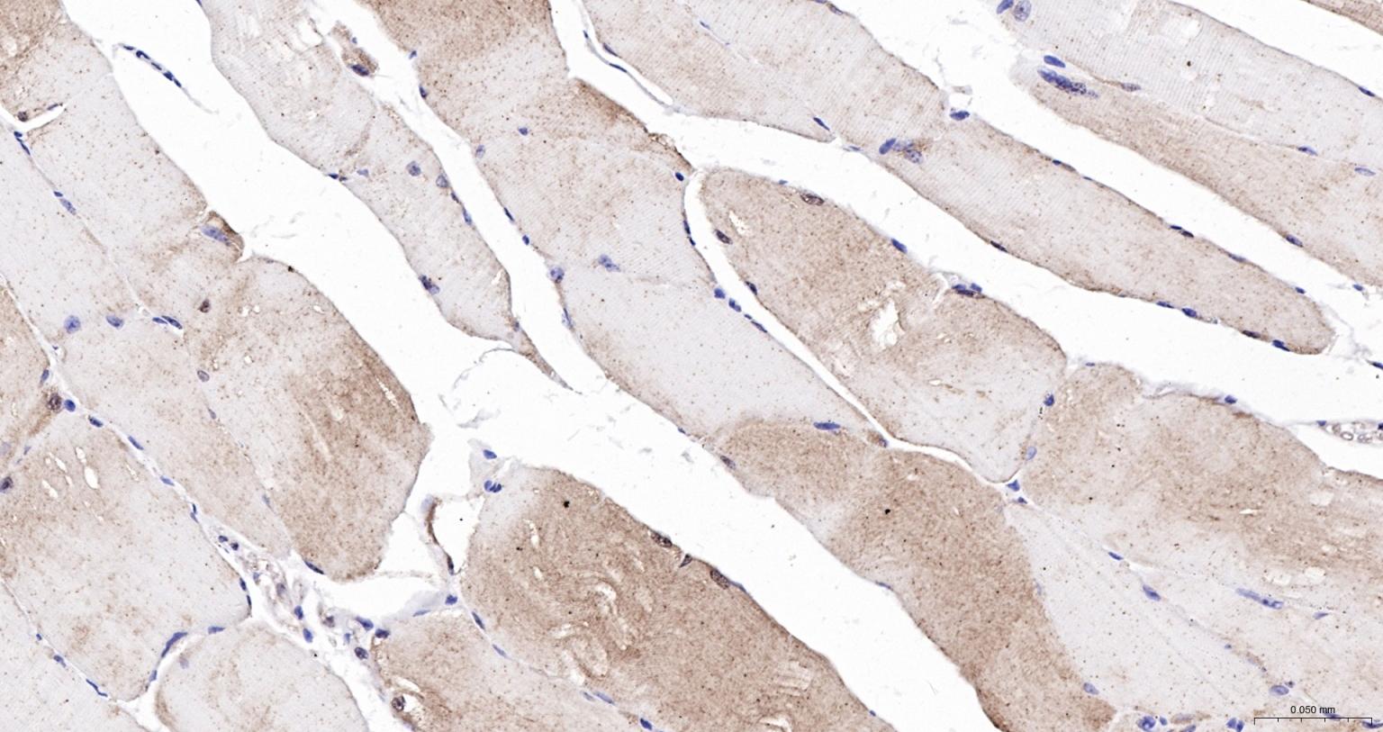
Paraformaldehyde-fixed, paraffin embedded Mouse Skeletal muscle; Antigen retrieval by boiling in sodium citrate buffer (pH6.0) for 15 min; The section was incubated with CSEN Polyclonal Antibody, Unconjugated (bs-9853R) at 1:200 overnight at 4°C, followed by conjugation to the bs-0295G-HRP and DAB (C-0010) staining.
Paraformaldehyde-fixed, paraffin embedded Rat Skeletal muscle; Antigen retrieval by boiling in sodium citrate buffer (pH6.0) for 15 min; The section was incubated with CSEN Polyclonal Antibody, Unconjugated (bs-9853R) at 1:200 overnight at 4°C, followed by conjugation to the bs-0295G-HRP and DAB (C-0010) staining.
Paraformaldehyde-fixed, paraffin embedded Mouse Heart; Antigen retrieval by boiling in sodium citrate buffer (pH6.0) for 15 min; Antibody incubation with CSEN Polyclonal Antibody, Unconjugated (bs-9853R) at 1:200 overnight at 4°C, followed by conjugation to the SP Kit (Rabbit, SP-0023) and DAB (C-0010) staining.
Paraformaldehyde-fixed, paraffin embedded Rat Heart; Antigen retrieval by boiling in sodium citrate buffer (pH6.0) for 15 min; Antibody incubation with CSEN Polyclonal Antibody, Unconjugated (bs-9853R) at 1:200 overnight at 4°C, followed by conjugation to the SP Kit (Rabbit, SP-0023) and DAB (C-0010) staining.
Paraformaldehyde-fixed, paraffin embedded (Mouse brain); Antigen retrieval by boiling in sodium citrate buffer (pH6.0) for 15min; Block endogenous peroxidase by 3% hydrogen peroxide for 20 minutes; Blocking buffer (normal goat serum) at 37°C for 30min; Antibody incubation with (CSEN) Polyclonal Antibody, Unconjugated (bs-9853R) at 1:400 overnight at 4°C, followed by operating according to SP Kit(Rabbit) (sp-0023) instructionsand DAB staining.
Paraformaldehyde-fixed, paraffin embedded (Rat brain); Antigen retrieval by boiling in sodium citrate buffer (pH6.0) for 15min; Block endogenous peroxidase by 3% hydrogen peroxide for 20 minutes; Blocking buffer (normal goat serum) at 37°C for 30min; Antibody incubation with (CSEN) Polyclonal Antibody, Unconjugated (bs-9853R) at 1:400 overnight at 4°C, followed by operating according to SP Kit(Rabbit) (sp-0023) instructionsand DAB staining.
版权所有 2004-2026 www.bioss.com.cn 北京博奥森生物技术有限公司
通过国际质量管理体系ISO 9001:2015 GB/T 19001-2016    证书编号: 00124Q34771R2M/1100
通过国际医疗器械-质量管理体系ISO 13485:2016 GB/T 42061-2022     证书编号: CQC24QY20047R0M/1100
京ICP备05066980号-1         京公网安备110107000727号