扫码关注公众号           扫码咨询技术支持           扫码咨询技术服务
  
客服热线:400-901-9800  客服QQ:4009019800  技术答疑  技术支持  质量反馈  关于我们  联系我们
产品中心-北京博奥森生物技术有限公司
首页 > 产品中心 > 一抗 > 产品信息
WDFY3 Rabbit pAb (bs-9924R)  
订购热线:400-901-9800
订购邮箱:sales@bioss.com.cn
订购QQ:  400-901-9800
技术支持:techsupport@bioss.com.cn
50ul/1180.00元
100ul/1980.00元
200ul/2800.00元
大包装/询价

产品编号 bs-9924R
英文名称 WDFY3 Rabbit pAb
中文名称 WDFY3蛋白抗体
别    名 Alfy; Autophagy linked FYVE protein; KIAA0993; MGC16461; WD repeat and FYVE domain containing 3; ZFYVE25; WDFY3_HUMAN.  
研究领域 心血管  细胞自噬  
抗体来源 Rabbit
克隆类型 Polyclonal
克 隆 号
交叉反应 Mouse,Rat (predicted: Human,Rabbit,Pig,Sheep,Cow,Dog,Horse)
产品应用 IHC-P=1:100-500,IHC-F=1:100-500,IF=1:100-500
not yet tested in other applications.
optimal dilutions/concentrations should be determined by the end user.
理论分子量 395 kDa
检测分子量
细胞定位 细胞浆 细胞膜 
性    状 Liquid
浓    度 1mg/ml
免 疫 原 KLH conjugated synthetic peptide derived from human WDFY3: 951-1050/3526 
亚    型 IgG
纯化方法 affinity purified by Protein A
缓 冲 液 0.01M TBS (pH7.4) with 1% BSA, 0.02% Proclin300 and 50% Glycerol.
保存条件 Shipped at 4℃. Store at -20℃ for one year. Avoid repeated freeze/thaw cycles.
注意事项 This product as supplied is intended for research use only, not for use in human, therapeutic or diagnostic applications.
PubMed PubMed
产品介绍 WDFY3 was identified in a screen for phosphatidylinositol 3 phosphate binding proteins. The FYVE domain is a zinc binding domain found in many PtdIns binding proteins and is proposed to target proteins to membrane lipids. WDFY3 has been shown localized to the nuclear membrane and within autophagic membranes and it is proposed to function as a link between protein aggregates and the autophagic machinery. WDFY3 is also known as autophagy linked FYVE protein.

Subcellular Location:
Membrane; Peripheral membrane protein; Cytoplasmic side. Note: Colocalizes with autophagic structures in starved cells.

Tissue Specificity:
Ubiquitous.

Similarity:
Contains 1 BEACH domain.
Contains 1 FYVE-type zinc finger.
Contains 5 WD repeats.

SWISS:
Q8IZQ1

Gene ID:
23001

Database links:

Entrez Gene: 23001 Human

SwissProt: Q8IZQ1 Human



产品图片
Paraformaldehyde-fixed, paraffin embedded (mouse testis); Antigen retrieval by boiling in sodium citrate buffer (pH6.0) for 15min; Block endogenous peroxidase by 3% hydrogen peroxide for 20 minutes; Blocking buffer (normal goat serum) at 37°C for 30min; Antibody incubation with (WDFY3) Polyclonal Antibody, Unconjugated (bs-9924R) at 1:200 overnight at 4°C, followed by operating according to SP Kit(Rabbit) (sp-0023) instructionsand DAB staining.
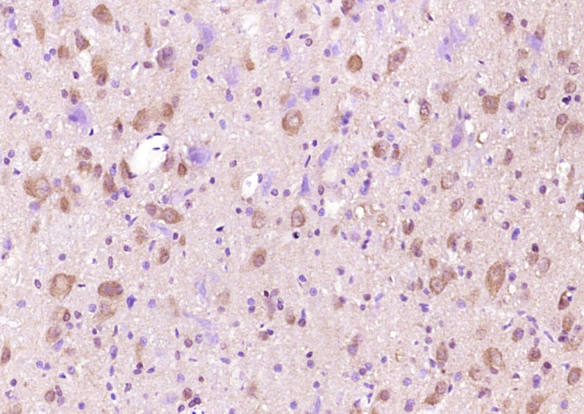
Paraformaldehyde-fixed, paraffin embedded (rat brain); Antigen retrieval by boiling in sodium citrate buffer (pH6.0) for 15min; Block endogenous peroxidase by 3% hydrogen peroxide for 20 minutes; Blocking buffer (normal goat serum) at 37°C for 30min; Antibody incubation with (WDFY3) Polyclonal Antibody, Unconjugated (bs-9924R) at 1:200 overnight at 4°C, followed by operating according to SP Kit(Rabbit) (sp-0023) instructionsand DAB staining.
版权所有 2004-2026 www.bioss.com.cn 北京博奥森生物技术有限公司
通过国际质量管理体系ISO 9001:2015 GB/T 19001-2016    证书编号: 00124Q34771R2M/1100
通过国际医疗器械-质量管理体系ISO 13485:2016 GB/T 42061-2022     证书编号: CQC24QY20047R0M/1100
京ICP备05066980号-1         京公网安备110107000727号