扫码关注公众号           扫码咨询技术支持           扫码咨询技术服务
  
客服热线:400-901-9800  客服QQ:4009019800  技术答疑  技术支持  质量反馈  人才招聘  关于我们  联系我们
产品中心-北京博奥森生物技术有限公司
首页 > 产品中心 > 一抗 > 产品信息
SORBS2 Rabbit pAb (bs-4905R)  
订购热线:400-901-9800
订购邮箱:sales@bioss.com.cn
订购QQ:  400-901-9800
技术支持:techsupport@bioss.com.cn
50ul/1180.00元
100ul/1980.00元
200ul/2800.00元
大包装/询价

产品编号 bs-4905R
英文名称 SORBS2 Rabbit pAb
中文名称 精氨酸结合蛋白2抗体
别    名 ARGBP2; PRO0618; SRBS2_HUMAN; SORBS2; Arg-binding protein 2 (ArgBP2); Arg/Abl-interacting protein 2; Sorbin; KIAA0777;   
Specific References  (2)     |     bs-4905R has been referenced in 2 publications.
[IF=9.452] Tong,et al.HSF1, in association with MORC2, downregulates ArgBP2 via the PRC2 family in gastric cancer cells.(2018) Biochimica Et Biophysica Acta. 1864:1104-1114.  WB ;  Human.  
[IF=5.542] Han L et al. The RNA‐binding protein SORBS2 suppresses hepatocellular carcinoma tumorigenesis and metastasis by stabilizing RORA mRNA. Liver Int. 2019 Jul 31.  IHC ;  Human.  
研究领域 信号转导  激酶和磷酸酶  
抗体来源 Rabbit
克隆类型 Polyclonal
克 隆 号
交叉反应 Rat (predicted: Human,Mouse,Rabbit,Pig,Chicken,Dog,Horse)
产品应用 IHC-P=1:100-500,IHC-F=1:100-500,IF=1:100-500
not yet tested in other applications.
optimal dilutions/concentrations should be determined by the end user.
理论分子量 124 kDa
细胞定位 细胞浆 
性    状 Liquid
浓    度 1mg/ml
免 疫 原 KLH conjugated synthetic peptide derived from human SORBS2/ArgBP2: 401-500/664 
亚    型 IgG
纯化方法 affinity purified by Protein A
缓 冲 液 0.01M TBS (pH7.4) with 1% BSA, 0.02% Proclin300 and 50% Glycerol.
保存条件 Shipped at 4℃. Store at -20℃ for one year. Avoid repeated freeze/thaw cycles.
注意事项 This product as supplied is intended for research use only, not for use in human, therapeutic or diagnostic applications.
PubMed PubMed
产品介绍 SORBS2 is an adapter protein that plays a role in the assembling of signaling complexes, being a link between ABL kinases and actin cytoskeleton. It can form a complex with ABL1 and CBL, thus promoting ubiquitination and degradation of ABL1 or with AKT1 and PAK1, thus mediating AKT1-mediated activation of PAK1.

Function:
Adapter protein that plays a role in the assembling of signaling complexes, being a link between ABL kinases and actin cytoskeleton. Can form complex with ABL1 and CBL, thus promoting ubiquitination and degradation of ABL1 or with AKT1 and PAK1, thus mediating AKT1-mediated activation of PAK1. Isoform 6 increases water and sodium absorption in the intestine and gall-bladder.

Subunit:
Interacts with ABL, CBL, DNM1, DNM2, FLOT1, MLLT4/afadin, PTK2B/PYK2, SAPAP, SPTAN1, SYNJ1, SYNJ2, VCL/vinculin, and WASF (By similarity). Interacts with ABL1/c-Abl, ABL2/v-Abl/Arg, ACTN, AKT1, CBL, PALLD and PAK1.

Subcellular Location:
Cytoplasm, perinuclear region. Note=Found at the Z-disk sarcomeres, stress fibers, dense bodies and focal adhesion.

Tissue Specificity:
Abundantly expressed in heart. In cardiac muscle cells, located in the Z-disks of sarcomere. Also found, but to a lower extent, in small and large intestine, pancreas, thymus, colon, spleen, prostate, testis, brain, ovary and epithelial cells.

Post-translational modifications:
Ubiquitinated by CBL.

Similarity:
Contains 3 SH3 domains.
Contains 1 SoHo domain.

SWISS:
O94875

Gene ID:
8470

Database links:

Entrez Gene: 8470 Human

Omim: 616349 Human

SwissProt: O94875 Human

Unigene: 619806 Human

Unigene: 655143 Human



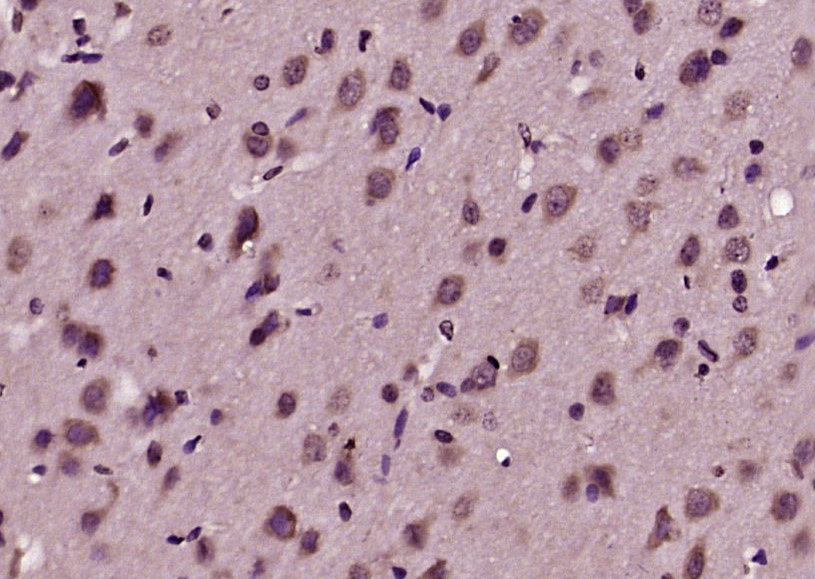
产品图片
Paraformaldehyde-fixed, paraffin embedded (rat brain tissue); Antigen retrieval by boiling in sodium citrate buffer (pH6.0) for 15min; Block endogenous peroxidase by 3% hydrogen peroxide for 20 minutes; Blocking buffer (normal goat serum) at 37°C for 30min; Antibody incubation with (SORBS2) Polyclonal Antibody, Unconjugated (bs-4905R) at 1:200 overnight at 4°C, followed by operating according to SP Kit(Rabbit) (sp-0023) instructionsand DAB staining.
版权所有 2004-2026 www.bioss.com.cn 北京博奥森生物技术有限公司
通过国际质量管理体系ISO 9001:2015 GB/T 19001-2016    证书编号: 00124Q34771R2M/1100
通过国际医疗器械-质量管理体系ISO 13485:2016 GB/T 42061-2022     证书编号: CQC24QY20047R0M/1100
京ICP备05066980号-1         京公网安备110107000727号