扫码关注公众号           扫码咨询技术支持           扫码咨询技术服务
  
客服热线:400-901-9800  客服QQ:4009019800  技术答疑  技术支持  质量反馈  人才招聘  关于我们  联系我们
产品中心-北京博奥森生物技术有限公司
首页 > 产品中心 > 一抗 > 产品信息
PIBF1 Rabbit pAb (bs-9612R)  
订购热线:400-901-9800
订购邮箱:sales@bioss.com.cn
订购QQ:  400-901-9800
技术支持:techsupport@bioss.com.cn
50ul/1180.00元
100ul/1980.00元
200ul/2800.00元
大包装/询价

产品编号 bs-9612R
英文名称 PIBF1 Rabbit pAb
中文名称 孕酮诱导阻断因子1抗体
别    名 C13orf24; CEP90; JBTS33; PIBF; RGD1305077; PIBF1_HUMAN; PIBF1; Centrosomal protein of 90 kDa (CEP90);   
研究领域 细胞生物  免疫学  信号转导  激酶和磷酸酶  
抗体来源 Rabbit
克隆类型 Polyclonal
克 隆 号
交叉反应 Human,Rat (predicted: Mouse,Rabbit,Sheep,Cow,Dog)
产品应用 IHC-P=1:100-500,IHC-F=1:100-500,IF=1:100-500,ICC/IF=1:100-500
not yet tested in other applications.
optimal dilutions/concentrations should be determined by the end user.
理论分子量 90 kDa
细胞定位 细胞核 细胞浆 细胞外基质 分泌型蛋白 
性    状 Liquid
浓    度 1mg/ml
免 疫 原 KLH conjugated synthetic peptide derived from human PIBF1/C13orf24: 551-651/757 
亚    型 IgG
纯化方法 affinity purified by Protein A
缓 冲 液 0.01M TBS (pH7.4) with 1% BSA, 0.02% Proclin300 and 50% Glycerol.
保存条件 Shipped at 4℃. Store at -20℃ for one year. Avoid repeated freeze/thaw cycles.
注意事项 This product as supplied is intended for research use only, not for use in human, therapeutic or diagnostic applications.
PubMed PubMed
产品介绍 PIBF is synthesized during pregnancy in response to progesterone by progesterone receptor-positive T lymphocytes (mostly gamma-delta T cells). In the presence of PIBF, natural killer (NK) cells inhibit the release of perforin from storage granules and therefore fail to lyse target cells. In humans, the amount of cells that express PIBF is significantly higher in healthy pregnant women than in women at risk for premature pregnancy termination. Full-length PIBF is associated with the nucleus, whereas secretion of shorter forms is induced by activation of the cell. Research suggests that PIBF functions as a transcription factor in its full-length form, while smaller forms may act as cytokines. The PIBF gene encodes a deduced hydrophilic 757-amino acid alpha-helical protein with an N-terminal signal sequence, a leucine zipper motif, a basic zipper sequence, a PEST sequence, a nuclear localization signal, an endoplasmic reticulum membrane retention signal, and many presumeed N-glycosylation and phosphorylation sites.

Function:
Mediator of progesterone that by acting on the phospholipase A2 enzyme interferes with arachidonic acid metabolism, induces a Th2 biased immune response, and by controlling NK activity exerts an anti-abortive effect.

Tissue Specificity:
Expressed at highest levels in testis. Moderate expression is detected in spleen, thymus, prostate, ovary, small intestine, and colon.

SWISS:
Q8WXW3

Gene ID:
10464

Database links:

Entrez Gene: 10464 Human

Entrez Gene: 52023 Mouse

Omim: 607532 Human

SwissProt: Q8WXW3 Human

Unigene: 441926 Human



产品图片
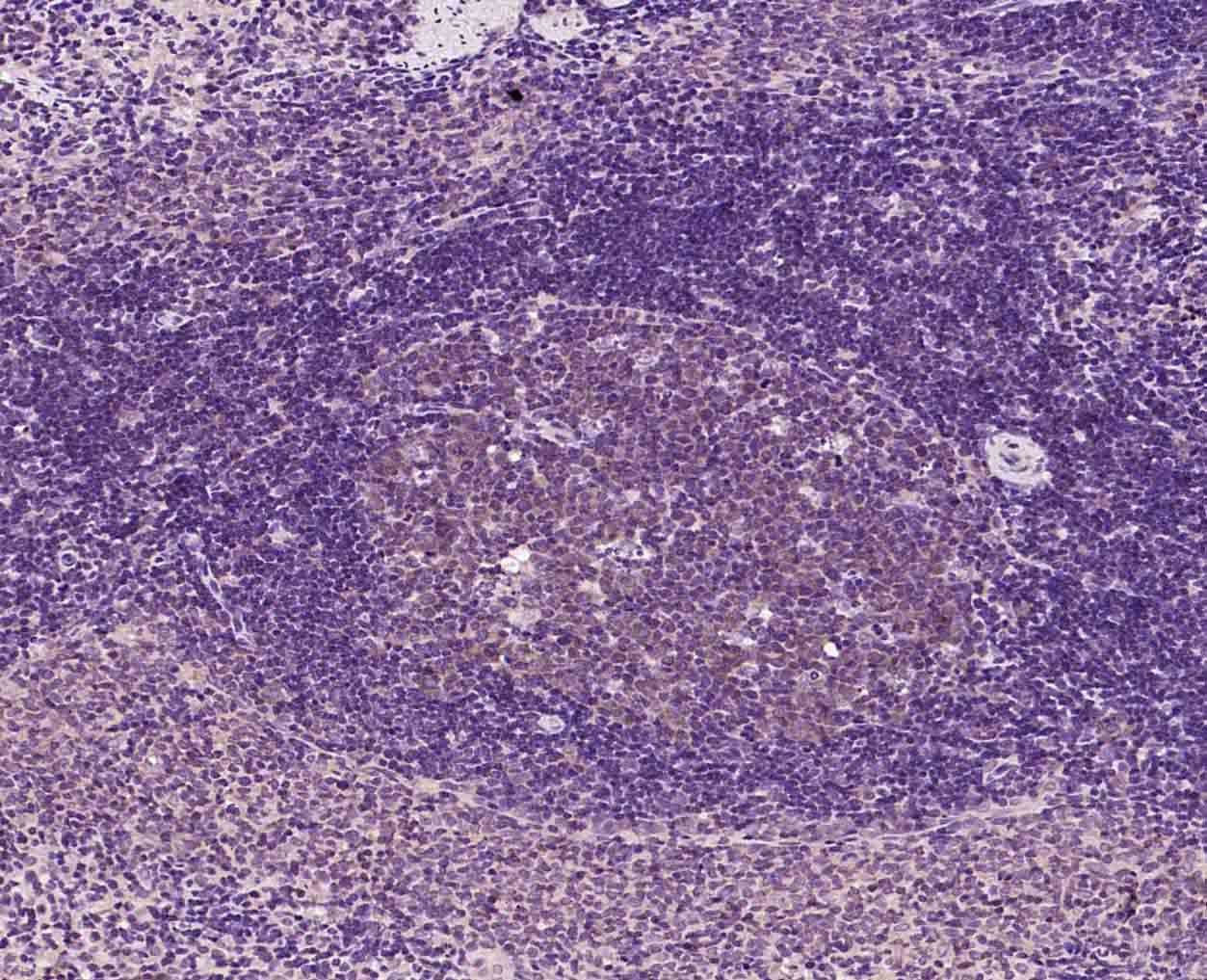
Paraformaldehyde-fixed, paraffin embedded (rat spleen); Antigen retrieval by boiling in sodium citrate buffer (pH6.0) for 15min; Block endogenous peroxidase by 3% hydrogen peroxide for 20 minutes; Blocking buffer (normal goat serum) at 37°C for 30min; Incubation with (PIBF1) Polyclonal Antibody, Unconjugated (bs-9612R) at 1:200 overnight at 4°C, followed by operating according to SP Kit(Rabbit) (sp-0023) instructionsand DAB staining.
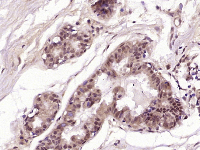
Paraformaldehyde-fixed, paraffin embedded (human breast carcinoma); Antigen retrieval by boiling in sodium citrate buffer (pH6.0) for 15min; Block endogenous peroxidase by 3% hydrogen peroxide for 20 minutes; Blocking buffer (normal goat serum) at 37°C for 30min; Antibody incubation with (PIBF1) Polyclonal Antibody, Unconjugated (bs-9612R) at 1:400 overnight at 4°C, followed by operating according to SP Kit(Rabbit) (sp-0023) instructionsand DAB staining.
Hela cell; 4% Paraformaldehyde-fixed; Triton X-100 at room temperature for 20 min; Blocking buffer (normal goat serum, C-0005) at 37°C for 20 min; Antibody incubation with (PIBF1) polyclonal Antibody, Unconjugated (bs-9612R) 1:100, 90 minutes at 37°C; followed by a conjugated Goat Anti-Rabbit IgG antibody at 37°C for 90 minutes, DAPI (blue, C02-04002) was used to stain the cell nuclei.
版权所有 2004-2026 www.bioss.com.cn 北京博奥森生物技术有限公司
通过国际质量管理体系ISO 9001:2015 GB/T 19001-2016    证书编号: 00124Q34771R2M/1100
通过国际医疗器械-质量管理体系ISO 13485:2016 GB/T 42061-2022     证书编号: CQC24QY20047R0M/1100
京ICP备05066980号-1         京公网安备110107000727号