扫码关注公众号           扫码咨询技术支持           扫码咨询技术服务
  
客服热线:400-901-9800  客服QQ:4009019800  技术答疑  技术支持  质量反馈  人才招聘  关于我们  联系我们
产品中心-北京博奥森生物技术有限公司
首页 > 产品中心 > 一抗 > 产品信息
C21orf70 Rabbit pAb (bs-9979R)  
订购热线:400-901-9800
订购邮箱:sales@bioss.com.cn
订购QQ:  400-901-9800
技术支持:techsupport@bioss.com.cn
50ul/1180.00元
100ul/1980.00元
200ul/2800.00元
大包装/询价

产品编号 bs-9979R
英文名称 C21orf70 Rabbit pAb
中文名称 21号染色体开放阅读框70抗体
别    名 Chromosome 21 open reading frame 70; CU070_HUMAN; Hypothetical protein LOC85395; PRED56; Uncharacterized protein C21orf70.; FAM207A;  
研究领域 细胞生物  免疫学  发育生物学  神经生物学  
抗体来源 Rabbit
克隆类型 Polyclonal
克 隆 号
交叉反应 Human
产品应用 IHC-P=1:100-500,IHC-F=1:100-500,IF=1:100-500
not yet tested in other applications.
optimal dilutions/concentrations should be determined by the end user.
理论分子量 25 kDa
性    状 Liquid
浓    度 1mg/ml
免 疫 原 KLH conjugated synthetic peptide derived from human C21orf70: 51-150/230 
亚    型 IgG
纯化方法 affinity purified by Protein A
缓 冲 液 0.01M TBS (pH7.4) with 1% BSA, 0.02% Proclin300 and 50% Glycerol.
保存条件 Shipped at 4℃. Store at -20℃ for one year. Avoid repeated freeze/thaw cycles.
注意事项 This product as supplied is intended for research use only, not for use in human, therapeutic or diagnostic applications.
PubMed PubMed
产品介绍 The smallest of the human chromosomes, 21 makes up about 1.5% of the human genome. Chromosome 21 contains nearly 300 genes and 47 million base pairs. Down syndrome, also known as trisomy 21, is the disease most commonly associated with chromosome 21. Alzheimer's disease, Jervell and Lange-Nielsen syndrome and amyotrophic lateral sclerosis are also associated with chromosome 21. Translocations are found to occur between chromosome 21 and 8, and chromosome 21 and 12, in certain leukemias. The C21orf70 gene product has been provisionally designated C21orf70 pending further characterization.

Tissue Specificity:
Not detected in any tested tissue.

Similarity:
Belongs to the FAM207 family.

Database links:

Entrez Gene: 85395 Human

SwissProt: Q9NSI2 Human

SwissProt: P58468 Mouse

Unigene: 410830 Human



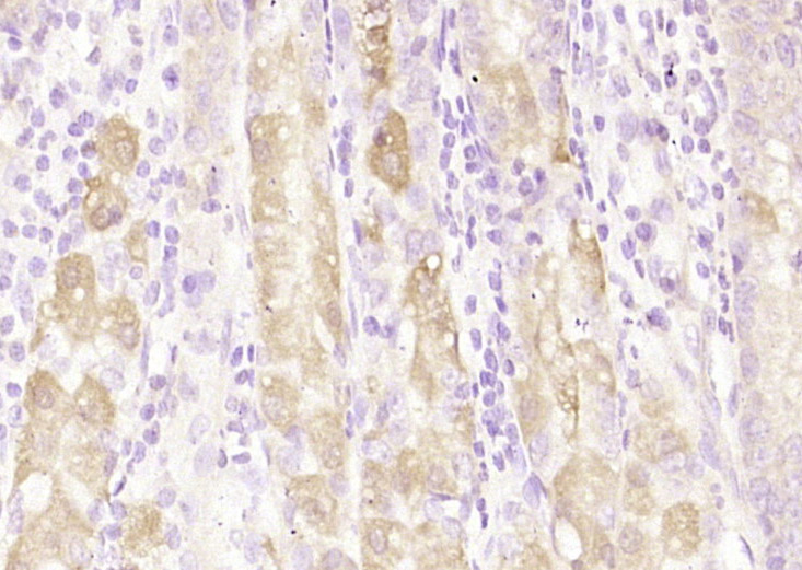
产品图片
Paraformaldehyde-fixed, paraffin embedded (human stomach); Antigen retrieval by boiling in sodium citrate buffer (pH6.0) for 15min; Block endogenous peroxidase by 3% hydrogen peroxide for 20 minutes; Blocking buffer (normal goat serum) at 37°C for 30min; Antibody incubation with (C21orf70) Polyclonal Antibody, Unconjugated (bs-9979R) at 1:400 overnight at 4°C, followed by operating according to SP Kit(Rabbit) (sp-0023) instructionsand DAB staining.
版权所有 2004-2026 www.bioss.com.cn 北京博奥森生物技术有限公司
通过国际质量管理体系ISO 9001:2015 GB/T 19001-2016    证书编号: 00124Q34771R2M/1100
通过国际医疗器械-质量管理体系ISO 13485:2016 GB/T 42061-2022     证书编号: CQC24QY20047R0M/1100
京ICP备05066980号-1         京公网安备110107000727号