扫码关注公众号           扫码咨询技术支持           扫码咨询技术服务
  
客服热线:400-901-9800  客服QQ:4009019800  技术答疑  技术支持  质量反馈  人才招聘  关于我们  联系我们
产品中心-北京博奥森生物技术有限公司
首页 > 产品中心 > 一抗 > 产品信息
ATAT1 Rabbit pAb (bs-9535R)  
订购热线:400-901-9800
订购邮箱:sales@bioss.com.cn
订购QQ:  400-901-9800
技术支持:techsupport@bioss.com.cn
50ul/1180.00元
100ul/1980.00元
200ul/2800.00元
大包装/询价

产品编号 bs-9535R
英文名称 ATAT1 Rabbit pAb
中文名称 α微管蛋白乙酰转移酶1抗体
别    名 C6orf134; MEC17; Nbla00487; TAT; alpha-TAT; alpha-TAT1; 0610011P08Rik; 2610008K08Rik; 2610110G12Rik; 3110080J08Rik; MEC-17; RGD1303066; Q9H8X5_HUMAN; ATAT_MOUSE; Atat1; Acetyltransferase mec-17 homolog; 2.3.1.108; ATAT_RAT; alpha tubulin acetyltransferase 1; chromosome 6 open reading frame 134; alpha-tubulin N-acetyltransferase  α-TAT;
Specific References  (2)     |     bs-9535R has been referenced in 2 publications.
[IF=6.081] José Martínez-Hernández. et al. Crosstalk between acetylation and the tyrosination/detyrosination cycle of α-tubulin in Alzheimer's disease.. FRONT CELL DEV BIOL. 2022 Aug;10:926914-926914  WB ;  Mouse.  
[IF=5.413] Wang HH et al. Rab23/Kif17 regulate oocyte meiotic progression by modulating tubulin acetylation and actin dynamics. Development. 2019 Feb 4;146(3).  WB ;  Mouse.  
研究领域 肿瘤  细胞生物  免疫学  神经生物学  
抗体来源 Rabbit
克隆类型 Polyclonal
交叉反应 Mouse,Rat (predicted: Human,Rabbit,Pig,Sheep,Cow,Dog,Horse)
产品应用 WB=1:500-2000,IHC-P=1:100-500,IHC-F=1:100-500,IF=1:100-500
not yet tested in other applications.
optimal dilutions/concentrations should be determined by the end user.
理论分子量 47kDa
检测分子量 47
性    状 Liquid
浓    度 1mg/ml
免 疫 原 KLH conjugated synthetic peptide derived from human alpha-TAT: 1-100/421 
亚    型 IgG
纯化方法 affinity purified by Protein A
缓 冲 液 0.01M TBS (pH7.4) with 1% BSA, 0.02% Proclin300 and 50% Glycerol.
保存条件 Shipped at 4℃. Store at -20℃ for one year. Avoid repeated freeze/thaw cycles.
注意事项 This product as supplied is intended for research use only, not for use in human, therapeutic or diagnostic applications.
PubMed PubMed
产品介绍 Making up nearly 6% of the human genome, chromosome 6 contains around 1,200 genes within 170 million base pairs of sequence. Deletion of a portion of the q arm of chromosome 6 is associated with early onset intestinal cancer suggesting the presence of a cancer susceptibility locus. Porphyria cutanea tarda is associated with chromosome 6 through the HFE gene which, when mutated, predisposes an individual to developing this porphyria. Notably, the PARK2 gene, which is associated with Parkinson's disease, and the genes encoding the major histocompatiblity complex proteins, which are key molecular components of the immune system and determine predisposition to rheumatic diseases, are also located on chromosome 6. Stickler syndrome, 21-hydroxylase deficiency and maple syrup urine disease are also associated with genes on chromosome 6. A bipolar disorder susceptibility locus has been identified on the q arm of chromosome 6. The C6orf134 gene product has been provisionally designated C6orf134 pending further characterization.

Function:
Specifically acetylates 'Lys-40' in alpha-tubulin on the lumenal side of microtubules. May affect microtubule stability and regulate microtubule dynamics. May be involved in neuron development.

Similarity:
Belongs to the acetyltransferase ATAT1 family.

SWISS:
Q9H8X5

Gene ID:
79969

Database links:

Entrez Gene: 79969 Human

Entrez Gene: 73242 Mouse

Entrez Gene: 361789 Rat

SwissProt: Q9H8X5 Human

SwissProt: Q8K341 Mouse

SwissProt: Q6MG11 Rat



产品图片
Sample: Lane 1: Mouse Cerebrum tissue lysates Lane 2: Rat Cerebrum tissue lysates Primary: Anti-ATAT1 (bs-9535R) at 1/1000 dilution Secondary: IRDye800CW Goat Anti-Rabbit IgG at 1/20000 dilution Predicted band size: 47 kDa Observed band size: 47 kDa
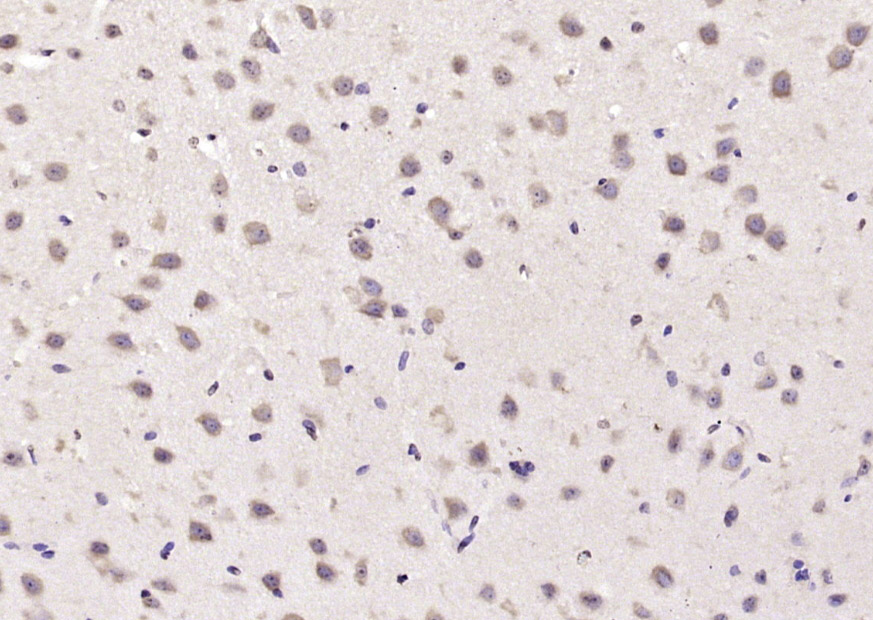
Paraformaldehyde-fixed, paraffin embedded (mouse brain); Antigen retrieval by boiling in sodium citrate buffer (pH6.0) for 15min; Block endogenous peroxidase by 3% hydrogen peroxide for 20 minutes; Blocking buffer (normal goat serum) at 37°C for 30min; Antibody incubation with (α-TAT) Polyclonal Antibody, Unconjugated (bs-9535R) at 1:200 overnight at 4°C, followed by operating according to SP Kit(Rabbit) (sp-0023) instructionsand DAB staining.
版权所有 2004-2026 www.bioss.com.cn 北京博奥森生物技术有限公司
通过国际质量管理体系ISO 9001:2015 GB/T 19001-2016    证书编号: 00124Q34771R2M/1100
通过国际医疗器械-质量管理体系ISO 13485:2016 GB/T 42061-2022     证书编号: CQC24QY20047R0M/1100
京ICP备05066980号-1         京公网安备110107000727号