 
| 产品编号 | bs-9545R | 
| 英文名称 | C9orf86 Rabbit pAb | 
| 中文名称 | 9号染色体开放阅读框86抗体 | 
| 别 名 | Chromosome 9 open reading frame 86; FLJ10101; Hypothetical protein LOC55684; KIAA1984; Parf; Partner of ARF; pp8875; Putative GTP binding protein Parf; Rab like GTP binding protein 1; Rab like GTP binding protein 1C; Rab like protein 1; RBEL1; RP11-216L13.9. | 
| 研究领域 | 肿瘤 细胞生物 表观遗传学 | 
| 抗体来源 | Rabbit | 
| 克隆类型 | Polyclonal | 
| 克 隆 号 | |
| 交叉反应 | Human,Mouse,Rat | 
| 产品应用 | WB=1:500-2000,IHC-P=1:100-500,IHC-F=1:100-500,IF=1:100-500 not yet tested in other applications. optimal dilutions/concentrations should be determined by the end user. | 
| 理论分子量 | 80 kDa | 
| 检测分子量 | |
| 细胞定位 | 细胞核 细胞浆 | 
| 性 状 | Liquid | 
| 浓 度 | 1mg/ml | 
| 免 疫 原 | KLH conjugated synthetic peptide derived from human C9orf86: 631-729/729 | 
| 亚 型 | IgG | 
| 纯化方法 | affinity purified by Protein A | 
| 缓 冲 液 | 0.01M TBS (pH7.4) with 1% BSA, 0.02% Proclin300 and 50% Glycerol. | 
| 保存条件 | Shipped at 4℃. Store at -20℃ for one year. Avoid repeated freeze/thaw cycles. | 
| 注意事项 | This product as supplied is intended for research use only, not for use in human, therapeutic or diagnostic applications. | 
| PubMed | PubMed | 
| 产品介绍 | C9orf86 (Partner of ARF;PARF) binds p19(ARF), but not the p16(INK4A) isoform of CDKN2A. Knockdown of C9orf86 by RNA interference reduced the growth inhibitory activity of p19(ARF) and enhanced the rate of cell proliferation. Function: May enhance cellular proliferation. May reduce growth inhibitory activity of CDKN2A. Subcellular Location: Cytoplasmic and Nuclear. Note=Predominantly cytoplasmic. Proposed to shuttle between cytoplasm and nucleus. Post-translational modifications: Isoform 1 is O-glycosylated, while other isoforms are not. Similarity: Belongs to the small GTPase superfamily. Rab family. SWISS: Q3YEC7 Gene ID: 55684 Database links: Entrez Gene: 55684 Human Entrez Gene: 227624 Mouse Omim: 610615 Human SwissProt: Q3YEC7 Human SwissProt: Q5U3K5 Mouse Unigene: 370555 Human Unigene: 29600 Mouse Unigene: 443064 Mouse Unigene: 17709 Rat | 
| 产品图片 | 
Sample: 
Stomach (Mouse) Lysate at 40 ug
Primary: Anti- C9orf86 (bs-9545R) at 1/1000 dilution
Secondary: IRDye800CW Goat Anti-Rabbit IgG at 1/20000 dilution
Predicted band size: 80 kD
Observed band size: 80 kD
 
Paraformaldehyde-fixed, paraffin embedded (mouse stomach); Antigen retrieval by boiling in sodium citrate buffer (pH6.0) for 15min; Block endogenous peroxidase by 3% hydrogen peroxide for 20 minutes; Blocking buffer (normal goat serum) at 37°C for 30min; Antibody incubation with (C9orf86) Polyclonal Antibody, Unconjugated (bs-9545R) at 1:200 overnight at 4°C, followed by operating according to SP Kit(Rabbit) (sp-0023) instructionsand DAB staining.
 
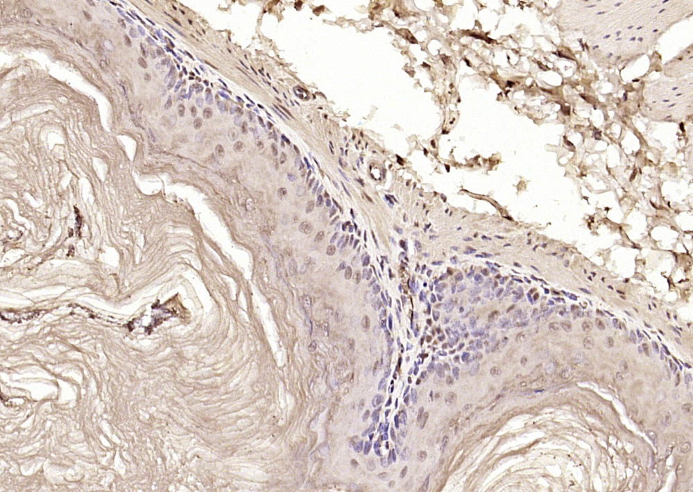
Paraformaldehyde-fixed, paraffin embedded (human gastric carcinoma); Antigen retrieval by boiling in sodium citrate buffer (pH6.0) for 15min; Block endogenous peroxidase by 3% hydrogen peroxide for 20 minutes; Blocking buffer (normal goat serum) at 37°C for 30min; Antibody incubation with (C9orf86) Polyclonal Antibody, Unconjugated (bs-9545R) at 1:200 overnight at 4°C, followed by operating according to SP Kit(Rabbit) (sp-0023) instructionsand DAB staining.
 
Paraformaldehyde-fixed, paraffin embedded (rat brain); Antigen retrieval by boiling in sodium citrate buffer (pH6.0) for 15min; Block endogenous peroxidase by 3% hydrogen peroxide for 20 minutes; Blocking buffer (normal goat serum) at 37°C for 30min; Antibody incubation with (C9orf86) Polyclonal Antibody, Unconjugated (bs-9545R) at 1:200 overnight at 4°C, followed by operating according to SP Kit(Rabbit) (sp-0023) instructionsand DAB staining.
 | 
| 1、抗体溶解方法 | |
| 2、抗体修复方式 | |
| 3、常用试剂的配制 | |
| 4、免疫组化操作步骤 | |
| 5、免疫组化问题解答 | |
| 6、Western Blotting 操作步骤 | |
| 7、Western Blotting 问题解答 | |
| 8、关于肽链的设计 | |
| 9、多肽的溶解与保存 | |
| 10、酶标抗体效价测定程序 | |