扫码关注公众号           扫码咨询技术支持           扫码咨询技术服务
  
客服热线:400-901-9800  客服QQ:4009019800  技术答疑  技术支持  质量反馈  关于我们  联系我们
产品中心-北京博奥森生物技术有限公司
首页 > 产品中心 > 一抗 > 产品信息
CD168 Rabbit pAb (bs-4736R)  
订购热线:400-901-9800
订购邮箱:sales@bioss.com.cn
订购QQ:  400-901-9800
技术支持:techsupport@bioss.com.cn
50ul/1180.00元
100ul/1980.00元
200ul/2800.00元
大包装/询价

产品编号 bs-4736R
英文名称 CD168 Rabbit pAb
中文名称 透明质酸介导细胞游走受体抗体
别    名 CD168 antigen; HMMR; HMMR_HUMAN; Hyaluronan mediated motility receptor; Hyaluronan-mediated motility receptor(RHAMM); IHABP; Intracellular hyaluronic acid-binding protein; Intracellular hyaluronic acid-binding protein; MGC119494; MGC119495; Receptor for hyaluronan-mediated motility; RHAMM; Hyaluronan mediated motility receptor.  
研究领域 细胞生物  免疫学  干细胞  
抗体来源 Rabbit
克隆类型 Polyclonal
克 隆 号
交叉反应 Human,Mouse (predicted: Rat,Cow,Horse)
产品应用 WB=1:500-2000,IHC-P=1:100-500,IHC-F=1:100-500,IF=1:100-500,Flow-Cyt=1μg/Test
not yet tested in other applications.
optimal dilutions/concentrations should be determined by the end user.
理论分子量 84 kDa
检测分子量
细胞定位 细胞浆 细胞膜 细胞外基质 
性    状 Liquid
浓    度 1mg/ml
免 疫 原 KLH conjugated synthetic peptide derived from human CD168/RHAMM: 51-150/725 
亚    型 IgG
纯化方法 affinity purified by Protein A
缓 冲 液 0.01M TBS (pH7.4) with 1% BSA, 0.02% Proclin300 and 50% Glycerol.
保存条件 Shipped at 4℃. Store at -20℃ for one year. Avoid repeated freeze/thaw cycles.
注意事项 This product as supplied is intended for research use only, not for use in human, therapeutic or diagnostic applications.
PubMed PubMed
产品介绍 Hyaluronic acid (HA) is a nonsulfated glycosaminoglycan that regulates cell adhesion and migration. HA effects are mediated through two receptors, CD44 (also designated HCAM) and the receptor of hyaluronic acid mediated motility (RHAMM). RHAMM, also designated intracellular hyaluronic acid binding protein (IHABP) and CD168, is a matrix receptor, which is linked to the plasma membrane by a GPI anchor and regulates cell motility. RHAMM expression is upregulated in malignant lymphoid tissues and is subsequently implicated in tumor progression and metastasis formation, as well as signal transduction. Although still unclear, RHAMM is thought to exist as several isoforms ranging in size. A variant isoform, designated v4, is a protein that when over-expressed, is thought to be the cause of transformation and metastasis formation in fibroblasts.

Function:
Involved in cell motility. When hyaluronan binds to HMMR, the phosphorylation of a number of proteins, including the focal adhesion kinase occurs. May also be involved in cellular transformation and metastasis formation, and in regulating extracellular-regulated kinase (ERK) activity.

Subcellular Location:
Cell surface. Cytoplasm.

Tissue Specificity:
Expressed in breast cancer cell lines and in normal breast tissue.

SWISS:
O75330

Gene ID:
3161

Database links:

Entrez Gene: 3161 Human

Omim: 600936 Human

SwissProt: O75330 Human

Unigene: 728200 Human

Unigene: 740467 Human



产品图片
Sample: Bone (Mouse) Lysate at 40 ug Primary: Anti-CD168 (bs-4736R) at 1/300 dilution Secondary: IRDye800CW Goat Anti-Rabbit IgG at 1/20000 dilution Predicted band size: 84 kD Observed band size: 84 kD
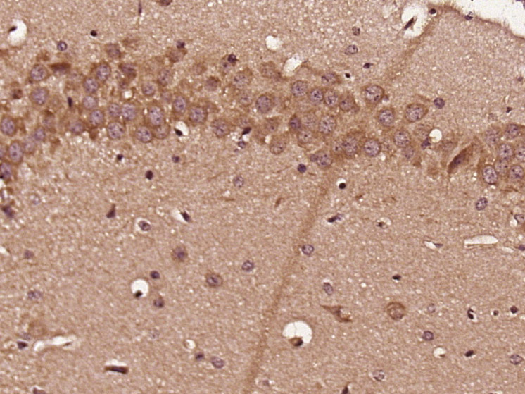
Paraformaldehyde-fixed, paraffin embedded (Mouse brain); Antigen retrieval by boiling in sodium citrate buffer (pH6.0) for 15min; Block endogenous peroxidase by 3% hydrogen peroxide for 20 minutes; Blocking buffer (normal goat serum) at 37°C for 30min; Antibody incubation with (CD168) Polyclonal Antibody, Unconjugated (bs-4736R) at 1:400 overnight at 4°C, followed by operating according to SP Kit(Rabbit) (sp-0023) instructions and DAB staining.
Blank control(blue):MCF 7 Cells(fixed with 2% paraformaldehyde (10 min) and then permeabilized with ice-cold 90% methanol for 30 min on ice). Primary Antibody: Rabbit Anti- CD168/AF647 Conjugated antibody (bs-4736R-AF647), Dilution: 5μg in 100 μL 1X PBS containing 0.5% BSA; Isotype Control Antibody: Rabbit IgG/AF647(orange) ,used under the same conditions.
版权所有 2004-2026 www.bioss.com.cn 北京博奥森生物技术有限公司
通过国际质量管理体系ISO 9001:2015 GB/T 19001-2016    证书编号: 00124Q34771R2M/1100
通过国际医疗器械-质量管理体系ISO 13485:2016 GB/T 42061-2022     证书编号: CQC24QY20047R0M/1100
京ICP备05066980号-1         京公网安备110107000727号