扫码关注公众号           扫码咨询技术支持           扫码咨询技术服务
  
客服热线:400-901-9800  客服QQ:4009019800  技术答疑  技术支持  质量反馈  关于我们  联系我们
产品中心-北京博奥森生物技术有限公司
首页 > 产品中心 > 一抗 > 产品信息
ABCD3 Rabbit pAb (bs-8584R)  
订购热线:400-901-9800
订购邮箱:sales@bioss.com.cn
订购QQ:  400-901-9800
技术支持:techsupport@bioss.com.cn
50ul/1180.00元
100ul/1980.00元
200ul/2800.00元
大包装/询价

产品编号 bs-8584R
英文名称 ABCD3 Rabbit pAb
中文名称 过氧化物酶膜蛋白1抗体
别    名 70 kDa peroxisomal membrane protein; ABC 43; ABC D3; ABC43; ABCD 3; ABCD3 protein; ABCD3_HUMAN; ATP binding cassette sub family D(ALD) member 3; ATP binding cassette sub family D member 3; ATP-binding cassette sub-family D member 3; Peroxisomal membrane protein 1; PMP 70; PMP70; PXMP 1; PXMP1; ZWS2.  
研究领域 肿瘤  细胞生物  免疫学  神经生物学  Alzheimer's  
抗体来源 Rabbit
克隆类型 Polyclonal
克 隆 号
交叉反应 Human (predicted: Mouse,Rat)
产品应用 IHC-P=1:100-500,IHC-F=1:100-500,IF=1:100-500
not yet tested in other applications.
optimal dilutions/concentrations should be determined by the end user.
理论分子量 75 kDa
检测分子量
细胞定位 细胞浆 细胞膜 
性    状 Liquid
浓    度 1mg/ml
免 疫 原 KLH conjugated synthetic peptide derived from human PXMP1/ABCD3: 51-160/659 
亚    型 IgG
纯化方法 affinity purified by Protein A
缓 冲 液 0.01M TBS (pH7.4) with 1% BSA, 0.02% Proclin300 and 50% Glycerol.
保存条件 Shipped at 4℃. Store at -20℃ for one year. Avoid repeated freeze/thaw cycles.
注意事项 This product as supplied is intended for research use only, not for use in human, therapeutic or diagnostic applications.
PubMed PubMed
产品介绍 The peroxisomal membrane contains several ATP-binding cassette (ABC) transporters, ABCD1-4 that are known to be present in the human peroxisome membrane. All four proteins are ABC half-transporters, which dimerize to form an active transporter. A mutation in the ABCD1 gene causes X-linked adreno-leukodystrophy (X-ALD), a peroxisomal disorder which affects lipid storage. ABCD2 in mouse is expressed at high levels in the brain and adrenal organs, which are adversely affected in X-ALD. The peroxisomal membrane comprises two quantitatively major proteins, PMP22 and ABCD3. ABCD3 is associated with irregularly shaped vesicles which may be defective peroxisomes or peroxisome precursors. ABCD1 localizes to peroxisomes. ABCB7 is a half-transporter involved in the transport of heme from the mitochondria to the cytosol.

Function:
Probable transporter. The nucleotide-binding fold acts as an ATP-binding subunit with ATPase activity.

Subunit:
Can form heterodimers with ABCD1/ALD and ABCD2/ALDR. Dimerization is necessary to form an active transporter. Interacts with PEX19.

Subcellular Location:
Peroxisome membrane; Multi-pass membrane protein.

Similarity:
Belongs to the ABC transporter superfamily. ABCD family. Peroxisomal fatty acyl CoA transporter (TC 3.A.1.203) subfamily.
Contains 1 ABC transmembrane type-1 domain.
Contains 1 ABC transporter domain.

SWISS:
P28288

Gene ID:
5825

Database links:

Entrez Gene: 100765314 Hamster

Entrez Gene: 5825 Human

Entrez Gene: 19299 Mouse

Entrez Gene: 25270 Rat

Omim: 170995 Human

SwissProt: P28288 Human

SwissProt: P55096 Mouse

SwissProt: P16970 Rat

Unigene: 700576 Human

Unigene: 399042 Mouse

Unigene: 7024 Rat



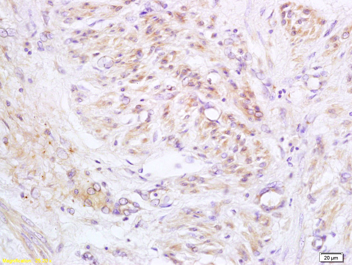
产品图片
Tissue/cell: human cervical carcinoma; 4% Paraformaldehyde-fixed and paraffin-embedded; Antigen retrieval: citrate buffer ( 0.01M, pH 6.0 ), Boiling bathing for 15min; Block endogenous peroxidase by 3% Hydrogen peroxide for 30min; Blocking buffer (normal goat serum,C-0005) at 37℃ for 20 min; Incubation: Anti-PXMP1/ABCD3/PMP70 Polyclonal Antibody, Unconjugated(bs-8584R) 1:200, overnight at 4°C, followed by conjugation to the secondary antibody(SP-0023) and DAB(C-0010) staining
版权所有 2004-2026 www.bioss.com.cn 北京博奥森生物技术有限公司
通过国际质量管理体系ISO 9001:2015 GB/T 19001-2016    证书编号: 00124Q34771R2M/1100
通过国际医疗器械-质量管理体系ISO 13485:2016 GB/T 42061-2022     证书编号: CQC24QY20047R0M/1100
京ICP备05066980号-1         京公网安备110107000727号