扫码关注公众号           扫码咨询技术支持           扫码咨询技术服务
  
客服热线:400-901-9800  客服QQ:4009019800  技术答疑  技术支持  质量反馈  人才招聘  关于我们  联系我们
产品中心-北京博奥森生物技术有限公司
首页 > 产品中心 > 一抗 > 产品信息
Optimedin Rabbit pAb (bs-11061R)  
订购热线:400-901-9800
订购邮箱:sales@bioss.com.cn
订购QQ:  400-901-9800
技术支持:techsupport@bioss.com.cn
50ul/1180.00元
100ul/1980.00元
200ul/2800.00元
大包装/询价

产品编号 bs-11061R
英文名称 Optimedin Rabbit pAb
中文名称 嗅球蛋白3抗体
别    名 NOE3; NOELIN3; OPTIMEDIN; B230206G02Rik; NOE3_HUMAN; OLFM3; Olfactomedin-3; NOE3_MOUSE; NOE3_RAT;   
研究领域 神经生物学  信号转导  细胞骨架  细胞外基质  
抗体来源 Rabbit
克隆类型 Polyclonal
克 隆 号
交叉反应 Mouse,Rat (predicted: Human,Rabbit,Pig,Sheep,Cow,Chicken,Dog,Horse)
产品应用 WB=1:500-2000,IHC-P=1:100-500,IHC-F=1:100-500,IF=1:100-500
not yet tested in other applications.
optimal dilutions/concentrations should be determined by the end user.
理论分子量 52 kDa
细胞定位 分泌型蛋白 
性    状 Liquid
浓    度 1mg/ml
免 疫 原 KLH conjugated synthetic peptide derived from human OLFM3/Optimedin: 101-200/478 
亚    型 IgG
纯化方法 affinity purified by Protein A
缓 冲 液 0.01M TBS (pH7.4) with 1% BSA, 0.02% Proclin300 and 50% Glycerol.
保存条件 Shipped at 4℃. Store at -20℃ for one year. Avoid repeated freeze/thaw cycles.
注意事项 This product as supplied is intended for research use only, not for use in human, therapeutic or diagnostic applications.
PubMed PubMed
产品介绍 OLFM3 is a 478 amino acid protein that interacts with myocilin. Myocilin is an extracellular protein that plays a key role in the actomyosin system and is responsible for controlling intraocular pressure. OLFM3 is a secreted protein that contains an olfactomedin-like (OLF) domain, an approximately 260 amino acid motif commonly found in secreted glycoproteins. OLFM3 localizes to the Golgi apparatus of the cell and is highly expressed in both eye and brain tissue. Mutations in the gene that encodes OLFM3 may cause severe glaucoma, a condition in which increased intraocular pressure within the eyeball causes loss of eye sight.

Subunit:
Peripherally associated with AMPAR complex. AMPAR complex consists of an inner core made of 4 pore-forming GluA/GRIA proteins (GRIA1, GRIA2, GRIA3 and GRIA4) and 4 major auxiliary subunits arranged in a twofold symmetry. One of the two pairs of distinct binding sites is occupied either by CNIH2, CNIH3 or CACNG2, CACNG3. The other harbors CACNG2, CACNG3, CACNG4, CACNG8 or GSG1L. This inner core of AMPAR complex is complemented by outer core constituents binding directly to the GluA/GRIA proteins at sites distinct from the interaction sites of the inner core constituents. Outer core constituents include at least PRRT1, PRRT2, CKAMP44/SHISA9, FRRS1L and NRN1. The proteins of the inner and outer core serve as a platform for other, more peripherally associated AMPAR constituents, including OLFM3. Alone or in combination, these auxiliary subunits control the gating and pharmacology of the AMPAR complex and profoundly impact their biogenesis and protein processing. Homodimer. Interacts with MYOC (By similarity).

Subcellular Location:
Secreted.

Tissue Specificity:
In the eye, expressed in trabecular meshwork and neural retina; in non-ocular tissues, expressed in brain and lung.

Similarity:
Contains 1 olfactomedin-like domain.

SWISS:
Q96PB7

Gene ID:
118427

Database links:

Entrez Gene: 118427 Human

Entrez Gene: 229759 Mouse

Entrez Gene: 252920 Rat

Omim: 607567 Human

SwissProt: Q96PB7 Human

SwissProt: P63056 Mouse

SwissProt: P63057 Rat

Unigene: 484475 Human

Unigene: 54183 Mouse

Unigene: 27711 Rat



产品图片
Sample: Eye (Mouse) Lysate at 40 ug Cerebellum (Mouse) Lysate at 40 ug Cerebrum (Mouse) Lysate at 40 ug Primary: Anti- Optimedin (bs-11061R) at 1/1000 dilution Secondary: IRDye800CW Goat Anti-Rabbit IgG at 1/20000 dilution Predicted band size: 52 kD Observed band size: 52 kD
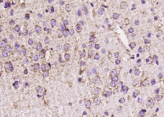
Paraformaldehyde-fixed, paraffin embedded (rat brain); Antigen retrieval by boiling in sodium citrate buffer (pH6.0) for 15min; Block endogenous peroxidase by 3% hydrogen peroxide for 20 minutes; Blocking buffer (normal goat serum) at 37°C for 30min; Antibody incubation with (Optimedin) Polyclonal Antibody, Unconjugated (bs-11061R) at 1:200 overnight at 4°C, followed by operating according to SP Kit(Rabbit) (sp-0023) instructionsand DAB staining.
版权所有 2004-2026 www.bioss.com.cn 北京博奥森生物技术有限公司
通过国际质量管理体系ISO 9001:2015 GB/T 19001-2016    证书编号: 00124Q34771R2M/1100
通过国际医疗器械-质量管理体系ISO 13485:2016 GB/T 42061-2022     证书编号: CQC24QY20047R0M/1100
京ICP备05066980号-1         京公网安备110107000727号