扫码关注公众号           扫码咨询技术支持           扫码咨询技术服务
  
客服热线:400-901-9800  客服QQ:4009019800  技术答疑  技术支持  质量反馈  人才招聘  关于我们  联系我们
产品中心-北京博奥森生物技术有限公司
首页 > 产品中心 > 一抗 > 产品信息
Transglutaminase 2 Rabbit pAb (bs-8589R)  
订购热线:400-901-9800
订购邮箱:sales@bioss.com.cn
订购QQ:  400-901-9800
技术支持:techsupport@bioss.com.cn
50ul/1180.00元
100ul/1980.00元
200ul/2800.00元
大包装/询价

产品编号 bs-8589R
英文名称 Transglutaminase 2 Rabbit pAb
中文名称 谷氨酰胺转胺酶2抗体
别    名 G(h); TG(C); TGC; hTG2; tTG; G[a]h; TG2; TGase2; tTGas; TGM2_HUMAN; TGM2; Erythrocyte transglutaminase; Heart G alpha(h) (hhG alpha(h)); Isopeptidase TGM2; Protein G alpha(h) (G(h)); Protein-glutamine deamidase TGM2; Protein-glutamine dopaminyltransferase  
研究领域 肿瘤  细胞生物  信号转导  转录调节因子  
抗体来源 Rabbit
克隆类型 Polyclonal
克 隆 号
交叉反应 Human,Mouse (predicted: Rat,Rabbit,Pig,Sheep,Cow,Dog,Horse)
产品应用 WB=1:500-2000,IHC-P=1:100-500,IHC-F=1:100-500,IF=1:100-500
not yet tested in other applications.
optimal dilutions/concentrations should be determined by the end user.
理论分子量 77 kDa
检测分子量 74
细胞定位 细胞浆 细胞膜 分泌型蛋白 
性    状 Liquid
浓    度 1mg/ml
免 疫 原 KLH conjugated synthetic peptide derived from human Transglutaminase 2: 351-450/687 
亚    型 IgG
纯化方法 affinity purified by Protein A
缓 冲 液 0.01M TBS (pH7.4) with 1% BSA, 0.02% Proclin300 and 50% Glycerol.
保存条件 Shipped at 4℃. Store at -20℃ for one year. Avoid repeated freeze/thaw cycles.
注意事项 This product as supplied is intended for research use only, not for use in human, therapeutic or diagnostic applications.
PubMed PubMed
产品介绍 Terminally differentiating mammalian epidermal cells acquire an insoluble, 10 to 20 nm thick protein deposit on the intracellular surface of the plasma membrane known as the cross-linked cell envelope (CE). The CE is a component of the epidermis that is generated through formation of disulfide bonds and g-glutamyl-lysine isodipeptide bonds, which are formed by the action of transglutaminases (TGases). TGases are intercellularly localizing, Ca2+-dependent enzymes that catalyze the formation of isopeptide bonds by transferring an amine on to glutaminyl residues, thereby cross-linking glutamine residues and lysine residues in substrate proteins. TGases influence numerous biological processes, including blood coagulation, epidermal differentiation, seminal fluid coagulation, fertilization, cell differentiation and apoptosis. Human keratinocyte transglutaminase (TGase1) is a membrane associated, 817 amino acid protein. Human tissue transglutaminase (TGase2) is an endothelial cell specific, 687 amino acid protein.

Function:
Catalyzes the cross-linking of proteins and the conjugation of polyamines to proteins.

Subunit:
Monomer.

Similarity:
Belongs to the transglutaminase superfamily. Transglutaminase family.

SWISS:
P21980

Gene ID:
7052

Database links:

Entrez Gene: 7052 Human

Entrez Gene: 21817 Mouse

Omim: 190196 Human

SwissProt: P21980 Human

SwissProt: P21981 Mouse

Unigene: 517033 Human

Unigene: 330731 Mouse



产品图片
Sample: Uterus (Mouse) Lysate at 40 ug Primary: Anti-Transglutaminase 2 (bs-8589R) at 1/1000 dilution Secondary: IRDye800CW Goat Anti-Rabbit IgG at 1/20000 dilution Predicted band size: 77 kD Observed band size: 74 kD
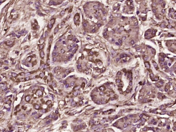
Paraformaldehyde-fixed, paraffin embedded (human Pancreatic cancer); Antigen retrieval by boiling in sodium citrate buffer (pH6.0) for 15min; Block endogenous peroxidase by 3% hydrogen peroxide for 20 minutes; Blocking buffer (normal goat serum) at 37°C for 30min; Antibody incubation with (TGM2) Polyclonal Antibody, Unconjugated (bs-8589R) at 1:400 overnight at 4°C, followed by operating according to SP Kit(Rabbit) (sp-0023) instructionsand DAB staining.
Paraformaldehyde-fixed, paraffin embedded (human breast carcinoma); Antigen retrieval by boiling in sodium citrate buffer (pH6.0) for 15min; Block endogenous peroxidase by 3% hydrogen peroxide for 20 minutes; Blocking buffer (normal goat serum) at 37°C for 30min; Antibody incubation with (TGM2) Polyclonal Antibody, Unconjugated (bs-8589R) at 1:400 overnight at 4°C, followed by operating according to SP Kit(Rabbit) (sp-0023) instructionsand DAB staining.
版权所有 2004-2026 www.bioss.com.cn 北京博奥森生物技术有限公司
通过国际质量管理体系ISO 9001:2015 GB/T 19001-2016    证书编号: 00124Q34771R2M/1100
通过国际医疗器械-质量管理体系ISO 13485:2016 GB/T 42061-2022     证书编号: CQC24QY20047R0M/1100
京ICP备05066980号-1         京公网安备110107000727号