扫码关注公众号           扫码咨询技术支持           扫码咨询技术服务
  
客服热线:400-901-9800  客服QQ:4009019800  技术答疑  技术支持  质量反馈  人才招聘  关于我们  联系我们
产品中心-北京博奥森生物技术有限公司
首页 > 产品中心 > 一抗 > 产品信息
VAT1L Rabbit pAb (bs-11130R)  
订购热线:400-901-9800
订购邮箱:sales@bioss.com.cn
订购QQ:  400-901-9800
技术支持:techsupport@bioss.com.cn
50ul/1180.00元
100ul/1980.00元
200ul/2800.00元
大包装/询价

产品编号 bs-11130R
英文名称 VAT1L Rabbit pAb
中文名称 突触小泡膜蛋白同源样蛋白1抗体
别    名 VAT1L_HUMAN; VAT1L; 1.-.-.-; KIAA1576;   
研究领域 肿瘤  细胞生物  免疫学  神经生物学  
抗体来源 Rabbit
克隆类型 Polyclonal
克 隆 号
交叉反应 Mouse,Rat (predicted: Human,Pig,Cow,Dog)
产品应用 WB=1:500-2000,IHC-P=1:100-500,IHC-F=1:100-500,IF=1:100-500
not yet tested in other applications.
optimal dilutions/concentrations should be determined by the end user.
理论分子量 46 kDa
检测分子量 48
性    状 Liquid
浓    度 1mg/ml
免 疫 原 KLH conjugated synthetic peptide derived from human VAT1L: 321-419/419 
亚    型 IgG
纯化方法 affinity purified by Protein A
缓 冲 液 0.01M TBS (pH7.4) with 1% BSA, 0.02% Proclin300 and 50% Glycerol.
保存条件 Shipped at 4℃. Store at -20℃ for one year. Avoid repeated freeze/thaw cycles.
注意事项 This product as supplied is intended for research use only, not for use in human, therapeutic or diagnostic applications.
PubMed PubMed
产品介绍 Predicted to enable oxidoreductase activity and zinc ion binding activity. [provided by Alliance of Genome Resources, Apr 2022]

Similarity:
Belongs to the zinc-containing alcohol dehydrogenase family. Quinone oxidoreductase subfamily.

SWISS:
Q9HCJ6

Gene ID:
57687

Database links:

Entrez Gene: 57687 Human

Entrez Gene: 270097 Mouse

SwissProt: Q9HCJ6 Human

SwissProt: Q80TB8 Mouse

Unigene: 461405 Human

Unigene: 334825 Mouse



产品图片
Sample: Lane 1: Mouse Cerebrum tissue lysates Lane 2: Mouse Cerebellum tissue lysates Lane 3: Rat Cerebrum tissue lysates Lane 4: Rat Cerebellum tissue lysates Primary: Anti-KIAA1576 (bs-11130R) at 1/1000 dilution Secondary: IRDye800CW Goat Anti-Rabbit IgG at 1/20000 dilution Predicted band size: 46 kDa Observed band size: 48 kDa
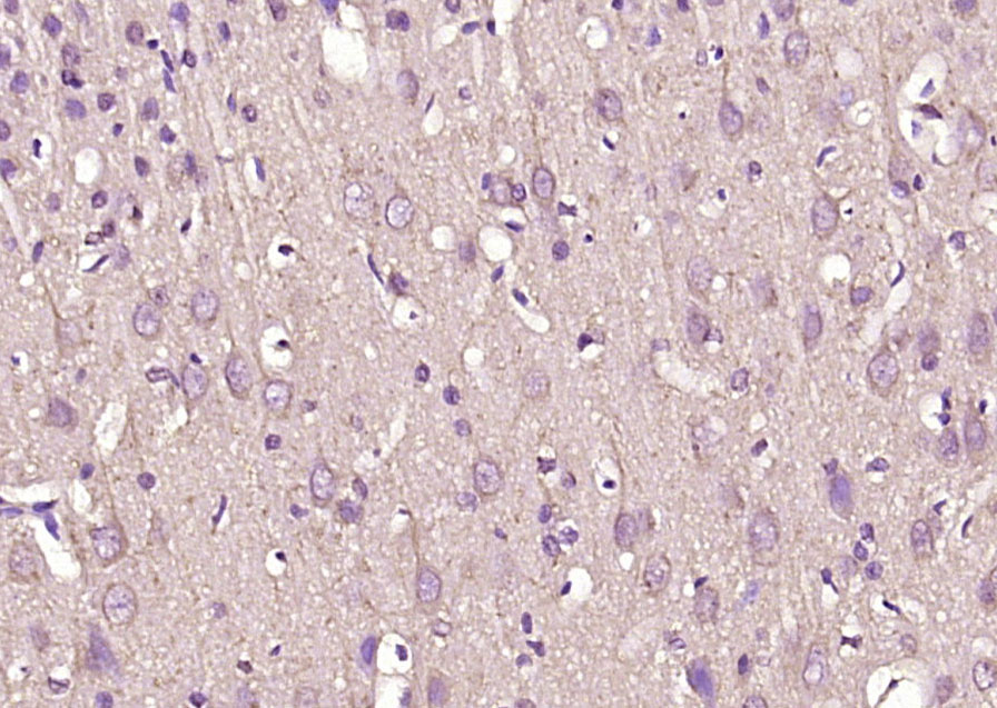
Paraformaldehyde-fixed, paraffin embedded (mouse brain); Antigen retrieval by boiling in sodium citrate buffer (pH6.0) for 15min; Block endogenous peroxidase by 3% hydrogen peroxide for 20 minutes; Blocking buffer (normal goat serum) at 37°C for 30min; Antibody incubation with (KIAA1576) Polyclonal Antibody, Unconjugated (bs-11130R) at 1:200 overnight at 4°C, followed by operating according to SP Kit(Rabbit) (sp-0023) instructionsand DAB staining.
Paraformaldehyde-fixed, paraffin embedded (rat brain); Antigen retrieval by boiling in sodium citrate buffer (pH6.0) for 15min; Block endogenous peroxidase by 3% hydrogen peroxide for 20 minutes; Blocking buffer (normal goat serum) at 37°C for 30min; Antibody incubation with (KIAA1576) Polyclonal Antibody, Unconjugated (bs-11130R) at 1:200 overnight at 4°C, followed by operating according to SP Kit(Rabbit) (sp-0023) instructionsand DAB staining.
版权所有 2004-2026 www.bioss.com.cn 北京博奥森生物技术有限公司
通过国际质量管理体系ISO 9001:2015 GB/T 19001-2016    证书编号: 00124Q34771R2M/1100
通过国际医疗器械-质量管理体系ISO 13485:2016 GB/T 42061-2022     证书编号: CQC24QY20047R0M/1100
京ICP备05066980号-1         京公网安备110107000727号