扫码关注公众号           扫码咨询技术支持           扫码咨询技术服务
  
客服热线:400-901-9800  客服QQ:4009019800  技术答疑  技术支持  质量反馈  人才招聘  关于我们  联系我们
产品中心-北京博奥森生物技术有限公司
首页 > 产品中心 > 一抗 > 产品信息
MOBP Rabbit pAb (bs-11184R)  
订购热线:400-901-9800
订购邮箱:sales@bioss.com.cn
订购QQ:  400-901-9800
技术支持:techsupport@bioss.com.cn
50ul/1180.00元
100ul/1980.00元
200ul/2800.00元
大包装/询价

产品编号 bs-11184R
英文名称 MOBP Rabbit pAb
中文名称 少突胶质细胞髓鞘相关蛋白抗体
别    名 MOBP155; MOBP170; MOBP69; MOBP73; MOBP81; Mobp81p; MOBP_HUMAN; MOBP; MOBP_MOUSE; MOBP_RAT; myelin associated oligodendrocyte basic protein  
Specific References  (1)     |     bs-11184R has been referenced in 1 publications.
[IF=2.161] Kon T et al. Immunoreactivity of myelin‐associated oligodendrocytic basic protein in Lewy bodies.   Neuropathology. 2019.  WB,IHC-P&IHF ;  Human,mouse&rat.  
研究领域 细胞生物  神经生物学  细胞类型标志物  
抗体来源 Rabbit
克隆类型 Polyclonal
交叉反应 Rat (predicted: Human,Mouse,Pig,Sheep,Cow,Dog,Horse)
产品应用 IHC-P=1:100-500,IHC-F=1:100-500,IF=1:100-500
not yet tested in other applications.
optimal dilutions/concentrations should be determined by the end user.
理论分子量 21kDa
细胞定位 细胞浆 
性    状 Liquid
浓    度 1mg/ml
免 疫 原 KLH conjugated synthetic peptide derived from human MOBP: 7-90/183 
亚    型 IgG
纯化方法 affinity purified by Protein A
缓 冲 液 0.01M TBS (pH7.4) with 1% BSA, 0.02% Proclin300 and 50% Glycerol.
保存条件 Shipped at 4℃. Store at -20℃ for one year. Avoid repeated freeze/thaw cycles.
注意事项 This product as supplied is intended for research use only, not for use in human, therapeutic or diagnostic applications.
PubMed PubMed
产品介绍 The gene encoding MOBP a member of the central nervous system myelin-constituting proteins, maps to chromosome 3p22.2. MOBP has many splice variants that share a 68 amino acid N-terminal domain. MOBP-71, MOBP-81A, MOBP-99, and MOBP-169 are MOBP splice variants that contain exon 8b, which is similar to myelin basic protein (MBP) mRNA RTS, however MOBP-69, MOBP-81B, and MOBP-170 lack this exon. The splice variants that contain exon 8b are expressed in myelin, while those lacking exon 8b are retained in the oligodendrocyte soma. Exon 8b-containing variants are directed to sites of myelin sheath assembly by exon 8b, where they play a structural role in myelin formation. Splice variants lacking exon 8b likely play a cellular and/or regulatory role. MOBP is implicated in multiple sclerosis (MS), a human demyelinating disease, and in allergic encephalomyelitis in rodents.

Function:
MOBP (Myelin-associated oligodendrocytic basic protein) is abundantly expressed specifically in oligodendrocytes and is the third most abundant protein in CNS myelin. MOBP is present in the major dense line of CNS myelin suggesting a role in the compaction or stabilization of myelin.

Subcellular Location:
Cytoplasm, perinuclear region. Note=Present in the major dense line of CNS myelin (By similarity).

SWISS:
Q13875

Gene ID:
4336

Database links:

Entrez Gene: 4336 Human

Entrez Gene: 17433 Mouse

Entrez Gene: 25037 Rat

Omim: 600948 Human

SwissProt: Q13875 Human

SwissProt: Q9D2P8 Mouse

SwissProt: Q63327 Rat

Unigene: 121333 Human



产品图片
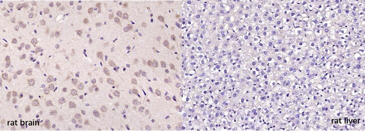
Positive sample:Paraformaldehyde-fixed, paraffin embedded (rat brian); Negative sample:Paraformaldehyde-fixed, paraffin embedded (rat liver); Antigen retrieval by boiling in sodium citrate buffer (pH6.0) for 15min; Block endogenous peroxidase by 3% hydrogen peroxide for 20 minutes; Blocking buffer (normal goat serum) at 37°C for 30min; Antibody incubation with (MOBP) Polyclonal Antibody, Unconjugated (bs-11184R) at 1:200 overnight at 4°C, followed by operating according to SP Kit(Rabbit) (sp-0023) instructionsand DAB staining.
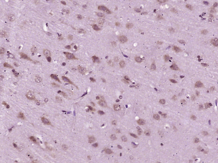
Paraformaldehyde-fixed, paraffin embedded (Rat brain); Antigen retrieval by boiling in sodium citrate buffer (pH6.0) for 15min; Block endogenous peroxidase by 3% hydrogen peroxide for 20 minutes; Blocking buffer (normal goat serum) at 37°C for 30min; Antibody incubation with (MOBP) Polyclonal Antibody, Unconjugated (bs-11184R) at 1:400 overnight at 4°C, followed by operating according to SP Kit(Rabbit) (sp-0023) instructions and DAB staining.
版权所有 2004-2026 www.bioss.com.cn 北京博奥森生物技术有限公司
通过国际质量管理体系ISO 9001:2015 GB/T 19001-2016    证书编号: 00124Q34771R2M/1100
通过国际医疗器械-质量管理体系ISO 13485:2016 GB/T 42061-2022     证书编号: CQC24QY20047R0M/1100
京ICP备05066980号-1         京公网安备110107000727号