扫码关注公众号           扫码咨询技术支持           扫码咨询技术服务
  
客服热线:400-901-9800  客服QQ:4009019800  技术答疑  技术支持  质量反馈  关于我们  联系我们
产品中心-北京博奥森生物技术有限公司
首页 > 产品中心 > 一抗 > 产品信息
Musashi 1 Rabbit pAb (bs-11201R)  
订购热线:400-901-9800
订购邮箱:sales@bioss.com.cn
订购QQ:  400-901-9800
技术支持:techsupport@bioss.com.cn
50ul/1180.00元
100ul/1980.00元
200ul/2800.00元
大包装/询价

产品编号 bs-11201R
英文名称 Musashi 1 Rabbit pAb
中文名称 神经干细胞RNA结合蛋白Musashi1抗体
别    名 Musashi 1/Msi1; Msi 1; Msi1; Msi-1; MSI1H_HUMAN; Musashi homolog 1; Musashi-1; Musashi1; RNA binding protein Musashi homolog 1; RNA-binding protein Musashi homolog 1.  
研究领域 肿瘤  神经生物学  干细胞  
抗体来源 Rabbit
克隆类型 Polyclonal
克 隆 号
交叉反应 Human,Mouse,Rat (predicted: Rabbit,Pig,Cow,Chicken,Dog)
产品应用 IHC-P=1:100-500,IHC-F=1:100-500,IF=1:100-500,Flow-Cyt=2ug/Test,ICC/IF=1:100-500
not yet tested in other applications.
optimal dilutions/concentrations should be determined by the end user.
理论分子量 39 kDa
检测分子量
细胞定位 细胞核 细胞浆 
性    状 Liquid
浓    度 1mg/ml
免 疫 原 KLH conjugated synthetic peptide derived from human Musashi 1: 66-150/362 
亚    型 IgG
纯化方法 affinity purified by Protein A
缓 冲 液 0.01M TBS (pH7.4) with 1% BSA, 0.02% Proclin300 and 50% Glycerol.
保存条件 Shipped at 4℃. Store at -20℃ for one year. Avoid repeated freeze/thaw cycles.
注意事项 This product as supplied is intended for research use only, not for use in human, therapeutic or diagnostic applications.
PubMed PubMed
产品介绍 Musashi1 (Msi1) is an RNA-binding protein expressed in neural progenitor cells and neural stem cells. Msi1 is the mammalian homolog of Drosophila Musashi. The gene encoding human Msi1 encodes a 362 amino acid protein. In murine embryonic neural progenitor cells, Msi1 localizes to the cytoplasm and is downregulated during differentiation. Msi1 binds to NUMB, which encodes a membrane-associated antagonist of Notch signaling. Msi1 appears to function in the proliferation and maintenance of stem cell populations of the central nervous system. In addition to its usefulness as a marker for neural progenitor cells in normal human brains, Msi1 is also a marker for human gliomas. In rats, Msi1 is expressed in Sertoli cells of the testis and granulosa cells of the ovary.

Function:
RNA binding protein that regulates the expression of target mRNAs at the translation level. Regulates expression of the NOTCH1 antagonist NUMB. Binds RNA containing the sequence 5'-GUUAGUUAGUUAGUU-3' and other sequences containing the pattern 5'-[GA]U(1-3)AGU-3'. May play a role in the proliferation and maintenance of stem cells in the central nervous system.

Subcellular Location:
Cytoplasm. Nucleus.

Tissue Specificity:
Detected in fetal kidney, brain, liver and lung, and in adult brain and pancreas. Detected in hepatoma cell lines.

Similarity:
Belongs to the Musashi family.
Contains 2 RRM (RNA recognition motif) domains.

SWISS:
O43347

Gene ID:
4440

Database links:

Entrez Gene: 4440 Human

Entrez Gene: 17690 Mouse

Entrez Gene: 259272 Rat

Omim: 603328 Human

SwissProt: O43347 Human

SwissProt: Q61474 Mouse

SwissProt: Q8K3P4 Rat

Unigene: 158311 Human

Unigene: 5077 Mouse

Unigene: 162146 Rat



Musashi1是一种进化保守的RNA结合蛋白,在维持干细胞状态、分化和肿瘤发生方面起着重要作用。Musashi1 选择性地表达在神经前体细胞上,包括神经干细胞上。在神经系统外,Musashi1还是肠干细胞的选择性标记。这些组织干细胞或未成熟细胞Musashi1的表达,表明Musashi1在转录后基因调节阶段维持这些细胞未分化状态起重要作用。Musashi1过度表达通过依赖RBP2Jk的旁路激活Notch1,而Notch信号途径功能为诱导哺乳动物神经干细胞自我更新。通过musashi1-P-小鼠培养脑细胞的Musashi蛋白产物反义去除研究,发现这些基因在维持神经干细胞未分化状态起着重要的作用。 Musashi抑制m-Numb转录的分子机制尚待进一步研究。Musashi1有可能除转录调控外还参与其他调控途径。另外,Musashi1还表达在一些脑肿瘤的特殊类型(这些肿瘤可能起源自非成熟脑细胞),并且表达水平和肿瘤的恶性程度及增殖能力相关。
产品图片
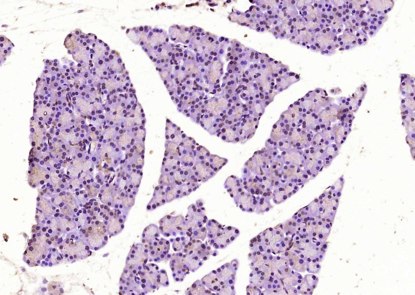
Paraformaldehyde-fixed, paraffin embedded (rat pancreas); Antigen retrieval by boiling in sodium citrate buffer (pH6.0) for 15min; Block endogenous peroxidase by 3% hydrogen peroxide for 20 minutes; Blocking buffer (normal goat serum) at 37°C for 30min; Antibody incubation with (Musashi 1) Polyclonal Antibody, Unconjugated (bs-11201R) at 1:200 overnight at 4°C, followed by operating according to SP Kit(Rabbit) (sp-0023) instructionsand DAB staining.
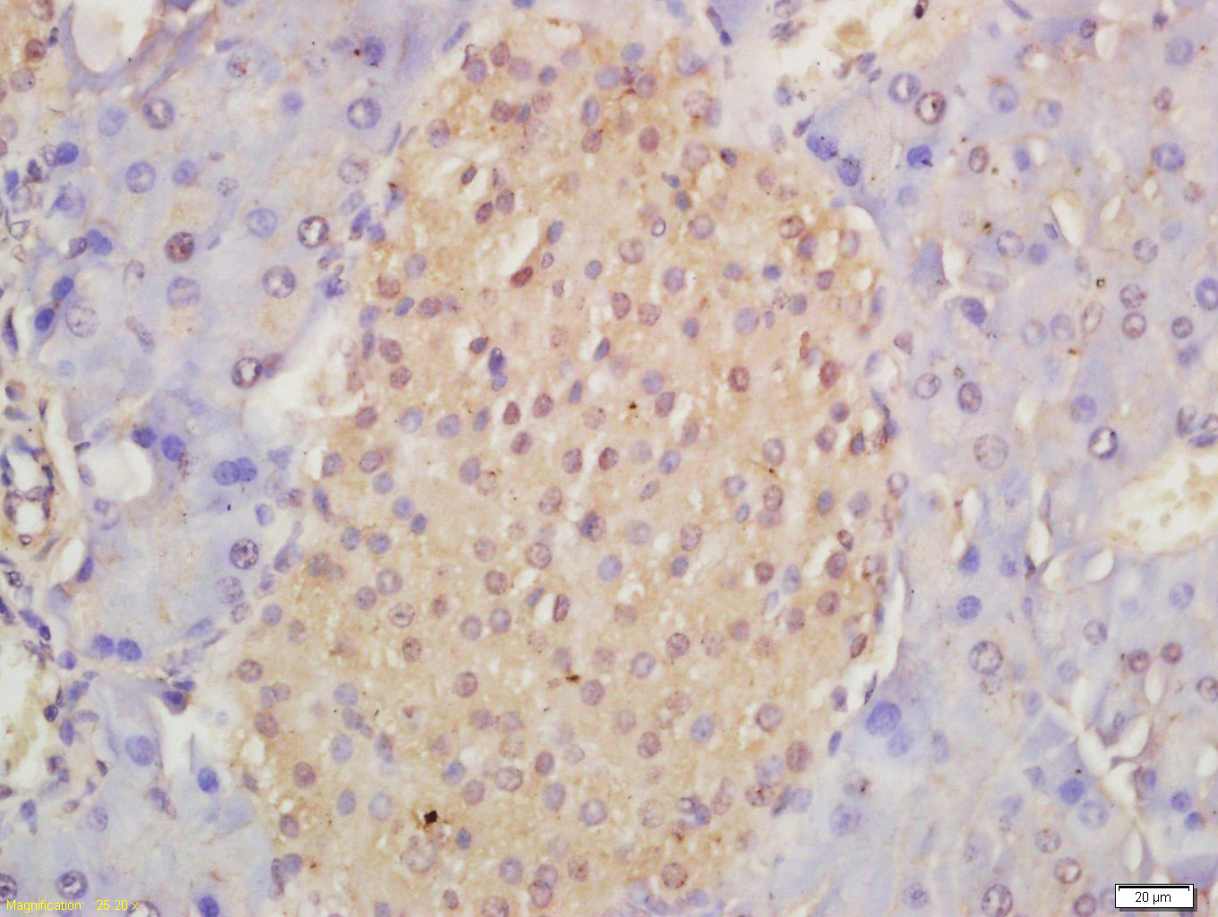
Tissue/cell: mouse pancreas tissue; 4% Paraformaldehyde-fixed and paraffin-embedded; Antigen retrieval: citrate buffer ( 0.01M, pH 6.0 ), Boiling bathing for 15min; Block endogenous peroxidase by 3% Hydrogen peroxide for 30min; Blocking buffer (normal goat serum,C-0005) at 37℃ for 20 min; Incubation: Anti-Musashi-1 Polyclonal Antibody, Unconjugated(bs-11201R) 1:200, overnight at 4°C, followed by conjugation to the secondary antibody(SP-0023) and DAB(C-0010) staining
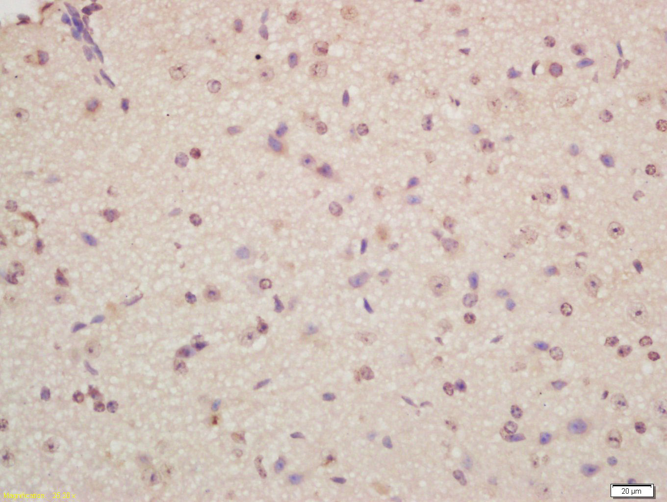
Tissue/cell: mouse brain tissue; 4% Paraformaldehyde-fixed and paraffin-embedded; Antigen retrieval: citrate buffer ( 0.01M, pH 6.0 ), Boiling bathing for 15min; Block endogenous peroxidase by 3% Hydrogen peroxide for 30min; Blocking buffer (normal goat serum,C-0005) at 37℃ for 20 min; Incubation: Anti-Musashi-1 Polyclonal Antibody, Unconjugated(bs-11201R) 1:200, overnight at 4°C, followed by conjugation to the secondary antibody(SP-0023) and DAB(C-0010) staining
SH-SY5Y cell; 4% Paraformaldehyde-fixed; Triton X-100 at room temperature for 20 min; Blocking buffer (normal goat serum, C-0005) at 37°C for 20 min; Antibody incubation with (Musashi 1) polyclonal Antibody, Unconjugated (bs-11201R) 1:100, 90 minutes at 37°C; followed by a conjugated Goat Anti-Rabbit IgG antibody at 37°C for 90 minutes, DAPI (blue, C02-04002) was used to stain the cell nuclei.
Blank control(black line):SH-SY5Y. Primary Antibody (green line): Rabbit Anti-Musashi 1 antibody (bs-11201R) Dilution:2ug/Test; Secondary Antibody(white blue line): Goat anti-rabbit IgG-AF488 Dilution: 0.5ug/Test. Isotype control(orange line): Normal Rabbit IgG Protocol The cells were fixed with 4% PFA (10min at room temperature)and then permeabilized with 90% ice-cold methanol for 20 min at -20℃, The cells were then incubated in 5%BSA to block non-specific protein-protein interactions for 30 min at room temperature .Cells stained with Primary Antibody for 30 min at room temperature. The secondary antibody used for 40 min at room temperature. Acquisition of 20,000 events was performed.
版权所有 2004-2026 www.bioss.com.cn 北京博奥森生物技术有限公司
通过国际质量管理体系ISO 9001:2015 GB/T 19001-2016    证书编号: 00124Q34771R2M/1100
通过国际医疗器械-质量管理体系ISO 13485:2016 GB/T 42061-2022     证书编号: CQC24QY20047R0M/1100
京ICP备05066980号-1         京公网安备110107000727号