扫码关注公众号           扫码咨询技术支持           扫码咨询技术服务
  
客服热线:400-901-9800  客服QQ:4009019800  技术答疑  技术支持  质量反馈  关于我们  联系我们
产品中心-北京博奥森生物技术有限公司
首页 > 产品中心 > 一抗 > 产品信息
EEA1 Rabbit pAb (bs-11250R)  
订购热线:400-901-9800
订购邮箱:sales@bioss.com.cn
订购QQ:  400-901-9800
技术支持:techsupport@bioss.com.cn
50ul/1180.00元
100ul/1980.00元
200ul/2800.00元
大包装/询价

产品编号 bs-11250R
英文名称 EEA1 Rabbit pAb
中文名称 早期内吞体相关蛋白1抗体
别    名 Early endosome antigen 1; Early endosome antigen 1, 162kD; Early endosome associated protein; EEA 1; EEA1; EEA1_HUMAN; Endosome associated protein p162; Endosome-associated protein p162; MST105; MSTP105; ZFYVE2; Zinc finger FYVE domain containing protein 2; Zinc finger FYVE domain-containing protein 2.  
研究领域 细胞生物  神经生物学  信号转导  
抗体来源 Rabbit
克隆类型 Polyclonal
克 隆 号
交叉反应 Human (predicted: Mouse,Rat,Cow,Dog,Hamster)
产品应用 IHC-P=1:100-500,IHC-F=1:100-500,IF=1:100-500,Flow-Cyt=1ug/Test
not yet tested in other applications.
optimal dilutions/concentrations should be determined by the end user.
理论分子量 162 kDa
检测分子量
细胞定位 细胞浆 细胞膜 
性    状 Liquid
浓    度 1mg/ml
免 疫 原 KLH conjugated synthetic peptide derived from human EEA1: 1251-1350/1411 
亚    型 IgG
纯化方法 affinity purified by Protein A
缓 冲 液 0.01M TBS (pH7.4) with 1% BSA, 0.02% Proclin300 and 50% Glycerol.
保存条件 Shipped at 4℃. Store at -20℃ for one year. Avoid repeated freeze/thaw cycles.
注意事项 This product as supplied is intended for research use only, not for use in human, therapeutic or diagnostic applications.
PubMed PubMed
产品介绍 Early endosomes are cytoplasmic compartments that function in receiving and sorting endocytosed proteins for vesicular transport. EEA1 (early endosome antigen 1) is a peripheral membrane protein that co-localizes with the transferrin receptor and Rab5 on early endosomes. EEA1 contains a calmodulin-binding IQ motif and cysteine rich finger motif necessary for its specific localization to the early endosomes. EEA1 has sequence homology to several yeast proteins that have been implicated in membrane trafficking, including Vps27, Fab1 and Vac1. Evidence suggests a possible role for EEA1 in mediating the regulatory effects of 3'-phosphoinositides on membrane trafficking.

Function:
Binds phospholipid vesicles containing phosphatidylinositol 3-phosphate and participates in endosomal trafficking.

Subunit:
Homodimer. Binds STX6. Binds RAB5A, RAB5B, RAB5C and RAB22A that have been activated by GTP-binding. Interacts with ERBB2.

Subcellular Location:
Cytoplasm. Early endosome membrane.

Similarity:
Contains 1 C2H2-type zinc finger. Contains 1 FYVE-type zinc finger.

SWISS:
Q15075

Gene ID:
8411

Database links:

Entrez Gene: 8411 Human

Entrez Gene: 216238 Mouse

Entrez Gene: 314764 Rat

Omim: 605070 Human

SwissProt: Q15075 Human

SwissProt: Q8BL66 Mouse

Unigene: 567367 Human

Unigene: 210035 Mouse

Unigene: 23513 Rat



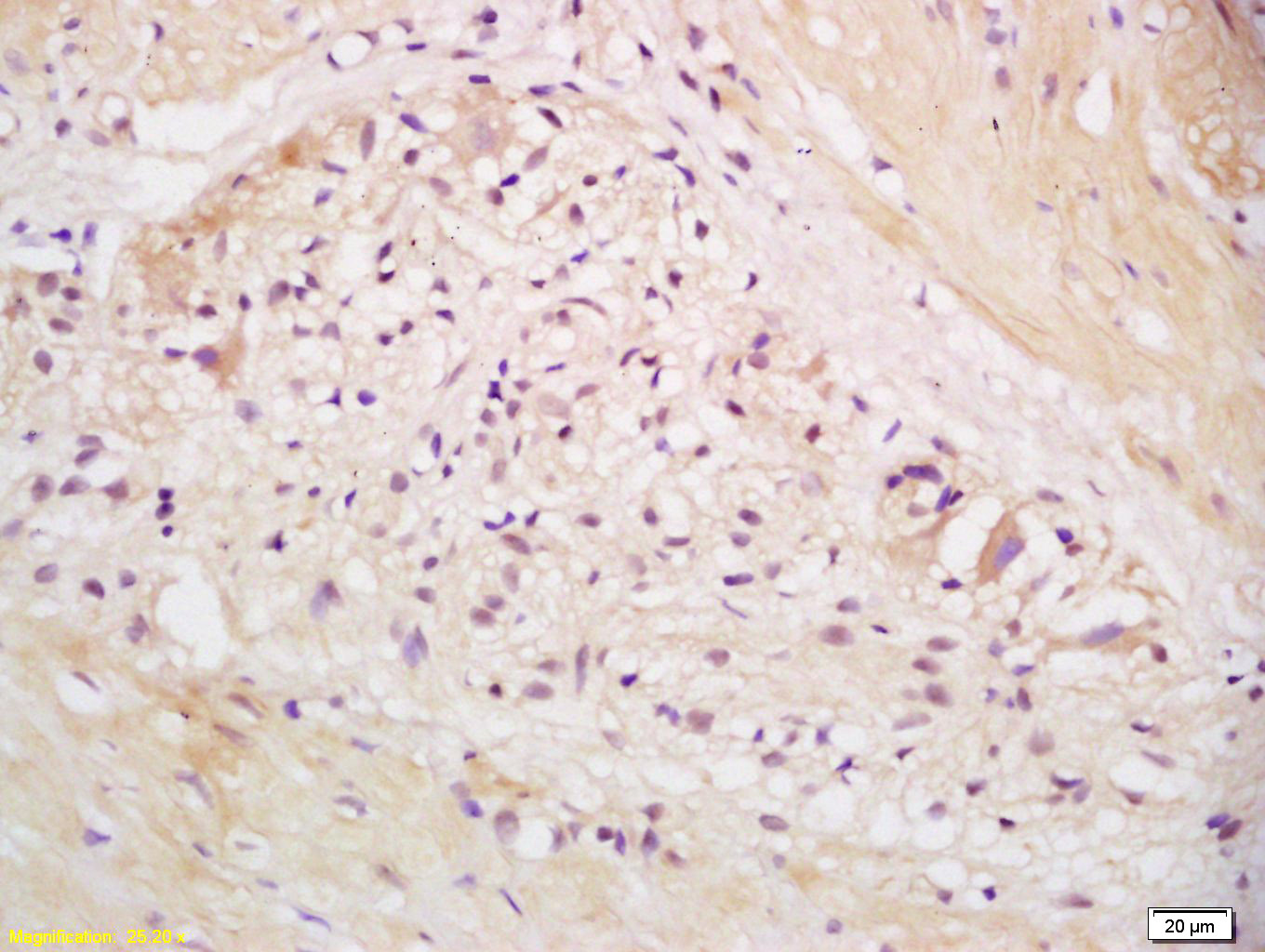
产品图片
Tissue/cell: human stomach tissue; 4% Paraformaldehyde-fixed and paraffin-embedded; Antigen retrieval: citrate buffer ( 0.01M, pH 6.0 ), Boiling bathing for 15min; Block endogenous peroxidase by 3% Hydrogen peroxide for 30min; Blocking buffer (normal goat serum,C-0005) at 37℃ for 20 min; Incubation: Anti-EEA1 Polyclonal Antibody, Unconjugated(bs-11250R) 1:200, overnight at 4°C, followed by conjugation to the secondary antibody(SP-0023) and DAB(C-0010) staining
Blank control(black line):Hela. Primary Antibody (green line): Rabbit Anti-EEA1 antibody (bs-11250R) Dilution:1ug/Test; Secondary Antibody(white blue line): Goat anti-rabbit IgG-AF488 Dilution: 0.5ug/Test. Isotype control(orange line): Normal Rabbit IgG Protocol The cells were fixed with 4% PFA (10min at room temperature)and then permeabilized with 90% ice-cold methanol for 20 min at -20℃, The cells were then incubated in 5%BSA to block non-specific protein-protein interactions for 30 min at room temperature .Cells stained with Primary Antibody for 30 min at room temperature. The secondary antibody used for 40 min at room temperature. Acquisition of 20,000 events was performed.
版权所有 2004-2026 www.bioss.com.cn 北京博奥森生物技术有限公司
通过国际质量管理体系ISO 9001:2015 GB/T 19001-2016    证书编号: 00124Q34771R2M/1100
通过国际医疗器械-质量管理体系ISO 13485:2016 GB/T 42061-2022     证书编号: CQC24QY20047R0M/1100
京ICP备05066980号-1         京公网安备110107000727号