扫码关注公众号           扫码咨询技术支持           扫码咨询技术服务
  
客服热线:400-901-9800  客服QQ:4009019800  技术答疑  技术支持  质量反馈  人才招聘  关于我们  联系我们
产品中心-北京博奥森生物技术有限公司
首页 > 产品中心 > 一抗 > 产品信息
DERLIN-1 Rabbit pAb (bs-11268R)  
订购热线:400-901-9800
订购邮箱:sales@bioss.com.cn
订购QQ:  400-901-9800
技术支持:techsupport@bioss.com.cn
50ul/1180.00元
100ul/1980.00元
200ul/2800.00元
大包装/询价

产品编号 bs-11268R
英文名称 DERLIN-1 Rabbit pAb
中文名称 细胞膜蛋白Derlin抗体
别    名 derlin-1; DER-1; DER1; 1110021N07Rik; RGD1311835; DERL1_BOVIN; DERL1; Der1-like protein 1; DERL1_HUMAN; Degradation in endoplasmic reticulum protein 1 (DERtrin-1); DERL1_MOUSE; Degradation in endoplasmic reticulum protein 1;   
研究领域 细胞生物  细胞膜蛋白  
抗体来源 Rabbit
克隆类型 Polyclonal
克 隆 号
交叉反应 Human (predicted: Mouse,Rat,Rabbit,Sheep,Cow,Dog,Horse)
产品应用 IHC-P=1:100-500,IHC-F=1:100-500,IF=1:100-500
not yet tested in other applications.
optimal dilutions/concentrations should be determined by the end user.
理论分子量 29 kDa
细胞定位 细胞浆 细胞膜 
性    状 Liquid
浓    度 1mg/ml
免 疫 原 KLH conjugated synthetic peptide derived from human DERLIN-1: 111-220/251 
亚    型 IgG
纯化方法 affinity purified by Protein A
缓 冲 液 0.01M TBS (pH7.4) with 1% BSA, 0.02% Proclin300 and 50% Glycerol.
保存条件 Shipped at 4℃. Store at -20℃ for one year. Avoid repeated freeze/thaw cycles.
注意事项 This product as supplied is intended for research use only, not for use in human, therapeutic or diagnostic applications.
PubMed PubMed
产品介绍 Degradation in endoplasmic reticulum proteins, also designated Derlins or DERtrins, are crucial for the degradation of misfolded endoplasmic reticulum (ER) luminal proteins. Derlin proteins are multi-pass membrane proteins localizing to the ER. Derlins are involved in transferring misfolded proteins from the ER to the cytosol, where the misfolded proteins are destroyed in an ubiquitin-dependent manner by the proteasome. In the case of cytomegalovirus infection, Derlin-1, as opposed to Derlins-2 and -3, is involved in the export of MHC class I heavy chains from the ER via its interaction with the viral protein US11. Derlins may also be important for cell proliferation.

Function:
Functional component of endoplasmic reticulum-associated degradation (ERAD) for misfolded lumenal proteins. May act by forming a channel that allows the retrotranslocation of misfolded proteins into the cytosol where they are ubiquitinated and degraded by the proteasome. May mediate the interaction between VCP and the degradation substrate. In case of infection by cytomegaloviruses, it plays a central role in the export from the ER and subsequent degradation of MHC class I heavy chains via its interaction with US11 viral protein, which recognizes and associates with MHC class I heavy chains. Also participates in the degradation process of misfolded cytomegalovirus US2 protein.

Subunit:
Forms homo- and heterooligomers with DERL2 and DERL3; binding to DERL3 is poorer than that between DERL2 and DERL3. Interacts with AMFR, VIMP/SELS, SEL1L, SYVN1 and VCP, as well as with SEL1L-SYVN1 and VCP-VIMP protein complexes; this interaction is weaker than that observed between DERL2 and these complexes. Interacts with the cytomegalovirus US11 protein. Interacts with NGLY1 and YOD1. Does not bind to EDEM1. Interacts with RNF103.

Subcellular Location:
Endoplasmic reticulum membrane; Multi-pass membrane protein.

Tissue Specificity:
Ubiquitous.

Similarity:
Belongs to the derlin family.

SWISS:
Q9BUN8

Gene ID:
79139

Database links:

Entrez Gene: 420350 Chicken

Entrez Gene: 404121 Cow

Entrez Gene: 475086 Dog

Entrez Gene: 79139 Human

Entrez Gene: 67819 Mouse

Entrez Gene: 100626802 Pig

Entrez Gene: 362912 Rat

Omim: 608813 Human

SwissProt: Q71SS4 Cow

SwissProt: Q9BUN8 Human

SwissProt: Q99J56 Mouse

Unigene: 241576 Human

Unigene: 289387 Mouse

Unigene: 110990 Rat



产品图片
Tissue/cell: human esophageal carcinoma; 4% Paraformaldehyde-fixed and paraffin-embedded; Antigen retrieval: citrate buffer ( 0.01M, pH 6.0 ), Boiling bathing for 15min; Block endogenous peroxidase by 3% Hydrogen peroxide for 30min; Blocking buffer (normal goat serum,C-0005) at 37℃ for 20 min; Incubation: Anti-DERLIN-1 Polyclonal Antibody, Unconjugated(bs-11268R) 1:600, overnight at 4°C, followed by conjugation to the secondary antibody(SP-0023) and DAB(C-0010) staining
Tissue/cell: human colon carcinoma; 4% Paraformaldehyde-fixed and paraffin-embedded; Antigen retrieval: citrate buffer ( 0.01M, pH 6.0 ), Boiling bathing for 15min; Block endogenous peroxidase by 3% Hydrogen peroxide for 30min; Blocking buffer (normal goat serum,C-0005) at 37℃ for 20 min; Incubation: Anti-DERLIN-1 Polyclonal Antibody, Unconjugated(bs-11268R) 1:600, overnight at 4°C, followed by conjugation to the secondary antibody(SP-0023) and DAB(C-0010) staining
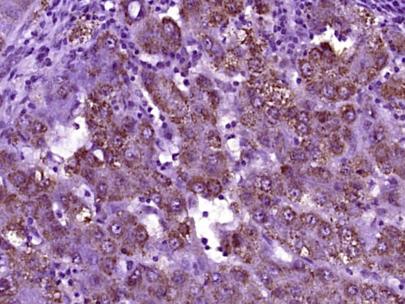
Paraformaldehyde-fixed, paraffin embedded (human liver carcinoma); Antigen retrieval by boiling in sodium citrate buffer (pH6.0) for 15min; Block endogenous peroxidase by 3% hydrogen peroxide for 20 minutes; Blocking buffer (normal goat serum) at 37°C for 30min; Antibody incubation with (DERLIN-1) Polyclonal Antibody, Unconjugated (bs-11268R) at 1:400 overnight at 4°C, followed by operating according to SP Kit(Rabbit) (sp-0023) instructionsand DAB staining.
版权所有 2004-2026 www.bioss.com.cn 北京博奥森生物技术有限公司
通过国际质量管理体系ISO 9001:2015 GB/T 19001-2016    证书编号: 00124Q34771R2M/1100
通过国际医疗器械-质量管理体系ISO 13485:2016 GB/T 42061-2022     证书编号: CQC24QY20047R0M/1100
京ICP备05066980号-1         京公网安备110107000727号