扫码关注公众号           扫码咨询技术支持           扫码咨询技术服务
  
客服热线:400-901-9800  客服QQ:4009019800  技术答疑  技术支持  质量反馈  关于我们  联系我们
产品中心-北京博奥森生物技术有限公司
首页 > 产品中心 > 一抗 > 产品信息
DNAJA1 Rabbit pAb (bs-11277R)  
订购热线:400-901-9800
订购邮箱:sales@bioss.com.cn
订购QQ:  400-901-9800
技术支持:techsupport@bioss.com.cn
50ul/1180.00元
100ul/1980.00元
200ul/2800.00元
大包装/询价

产品编号 bs-11277R
英文名称 DNAJA1 Rabbit pAb
中文名称 热休克蛋白相关蛋白4抗体
别    名 DJ 2; DJ2; DjA1; DnaJ(Hsp40) homolog, subfamily A, member 1; DnaJ homolog subfamily A member 1; DnaJ protein homolog 2; DNAJ2; Dnaja1; DNJA1_HUMAN; hDJ 2; HDJ-2; HDJ2; Heat shock 40 kDa protein 4; HSP 40-4; heat shock protein DNAJ like 2; Heat shock protein J2; HSDJ; HSJ-2; HSJ2; HSPF4; Human DnaJ protein 2; NEDD7; Neural precursor cell expressed developmentally down regulated 7; OTTHUMP00000021193.  
研究领域 细胞生物  发育生物学  信号转导  
抗体来源 Rabbit
克隆类型 Polyclonal
克 隆 号
交叉反应 Mouse (predicted: Human,Rat,Rabbit,Pig,Sheep,Cow)
产品应用 IHC-P=1:100-500,IHC-F=1:100-500,IF=1:100-500
not yet tested in other applications.
optimal dilutions/concentrations should be determined by the end user.
理论分子量 45 kDa
检测分子量
细胞定位 细胞核 细胞浆 细胞膜 
性    状 Liquid
浓    度 1mg/ml
免 疫 原 KLH conjugated synthetic peptide derived from human HSP 40-4: 21-110/397 
亚    型 IgG
纯化方法 affinity purified by Protein A
缓 冲 液 0.01M TBS (pH7.4) with 1% BSA, 0.02% Proclin300 and 50% Glycerol.
保存条件 Shipped at 4℃. Store at -20℃ for one year. Avoid repeated freeze/thaw cycles.
注意事项 This product as supplied is intended for research use only, not for use in human, therapeutic or diagnostic applications.
PubMed PubMed
产品介绍 DnaJ-like proteins interact with HSP 70 molecular chaperones and function to facilitate protein folding and mitochondrial protein import. HSP 40-4, also known as HDJ2, is the human DnaJ homolog that functions as a co-chaperone with a cysteine-rich zinc finger domain. The cellular redox enzyme thioredoxin interacts with HSP 40-4, and oxidation and reduction reversibly regulate HSP 40-4 function in response to the changing redox states of the cell. The zinc finger domain of HSP 40-4 may act as a redox sensor of chaperone-mediated protein-folding machinery, since HSP 40-4 inactivation leads to the oxidation of cysteine thiols and a simultaneous release of coordinated zinc. Loss of the HSP 40-4 protein may be linked to severe defects in spermatogenesis that involve aberrant androgen signaling.

Function:
Co-chaperone of Hsc70. Seems to play a role in protein import into mitochondria.

Subcellular Location:
Membrane.

Similarity:
Contains 1 CR-type zinc finger.
Contains 1 J domain.

SWISS:
P31689

Gene ID:
3301

Database links:

Entrez Gene: 3301 Human

Entrez Gene: 15502 Mouse

Entrez Gene: 100512008 Pig

Entrez Gene: 65028 Rat

Omim: 602837 Human

SwissProt: P31689 Human

SwissProt: P63037 Mouse

SwissProt: P63036 Rat

Unigene: 445203 Human

Unigene: 27897 Mouse

Unigene: 64562 Rat



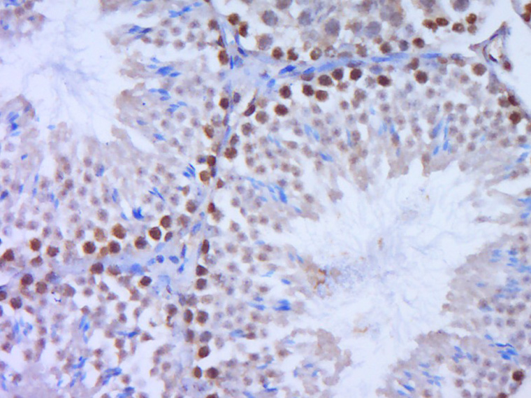
产品图片
Paraformaldehyde-fixed, paraffin embedded (Mouse testis); Antigen retrieval by boiling in sodium citrate buffer (pH6.0) for 15min; Block endogenous peroxidase by 3% hydrogen peroxide for 20 minutes; Blocking buffer (normal goat serum) at 37°C for 30min; Antibody incubation with (DNAJA1) Polyclonal Antibody, Unconjugated (bs-11277R) at 1:400 overnight at 4°C, followed by operating according to SP Kit(Rabbit) (sp-0023) instructionsand DAB staining.
版权所有 2004-2026 www.bioss.com.cn 北京博奥森生物技术有限公司
通过国际质量管理体系ISO 9001:2015 GB/T 19001-2016    证书编号: 00124Q34771R2M/1100
通过国际医疗器械-质量管理体系ISO 13485:2016 GB/T 42061-2022     证书编号: CQC24QY20047R0M/1100
京ICP备05066980号-1         京公网安备110107000727号