扫码关注公众号           扫码咨询技术支持           扫码咨询技术服务
  
客服热线:400-901-9800  客服QQ:4009019800  技术答疑  技术支持  质量反馈  关于我们  联系我们
产品中心-北京博奥森生物技术有限公司
首页 > 产品中心 > 一抗 > 产品信息
HOXA6 Rabbit pAb (bs-11294R)  
订购热线:400-901-9800
订购邮箱:sales@bioss.com.cn
订购QQ:  400-901-9800
技术支持:techsupport@bioss.com.cn
50ul/1180.00元
100ul/1980.00元
200ul/2800.00元
大包装/询价

产品编号 bs-11294R
英文名称 HOXA6 Rabbit pAb
中文名称 同源盒基因HOXA6蛋白抗体
别    名 HOX1B; Homeo box 1B; Homeo box A6; Homeobox 1B; Homeobox A6; Homeobox protein Hox A6; Homeobox protein Hox-1B; Homeobox protein Hox-A6 antibody Homeobox protein HoxA6; HOX 1; Hox 1B; HOX1; HOX1.2; Hox1B; HOXA6; HX A6; HXA6; HXA6_HUMAN.  
Specific References  (2)     |     bs-11294R has been referenced in 2 publications.
[IF=5.145] Deng J et al. Oxaliplatin‐induced neuropathic pain involves HOXA6 via a TET1‐dependent demethylation of the SOX10 promoter. Int J Cancer. 2020 Nov 1;147(9):2503-2514.  IHC ;  Rat.  
[IF=3.269] Weifeng Wang. et al. Down-regulated long non-coding RNA LHFPL3 antisense RNA 1 inhibits the radiotherapy resistance of nasopharyngeal carcinoma via modulating microRNA-143-5p/homeobox A6 axis. Bioengineered. 2022;13(3):5421-5433  WB ;  Human.  
研究领域 细胞生物  发育生物学  神经生物学  干细胞  表观遗传学  
抗体来源 Rabbit
克隆类型 Polyclonal
克 隆 号
交叉反应 Human,Mouse,Rat (predicted: Pig,Sheep,Dog,Horse)
产品应用 WB=1:500-2000,IHC-P=1:100-500,IHC-F=1:100-500,IF=1:100-500
not yet tested in other applications.
optimal dilutions/concentrations should be determined by the end user.
理论分子量 23 kDa
检测分子量
性    状 Liquid
浓    度 1mg/ml
免 疫 原 KLH conjugated synthetic peptide derived from human HOXA6/HOX1B: 171-233/233 
亚    型 IgG
纯化方法 affinity purified by Protein A
缓 冲 液 0.01M TBS (pH7.4) with 1% BSA, 0.02% Proclin300 and 50% Glycerol.
保存条件 Shipped at 4℃. Store at -20℃ for one year. Avoid repeated freeze/thaw cycles.
注意事项 This product as supplied is intended for research use only, not for use in human, therapeutic or diagnostic applications.
PubMed PubMed
产品介绍 The Hox homeobox genes encode proteins that are transcriptional regulators with an established role in embryonic development. HoxA6 (homeobox A6), also known as HOX1B, is a 233 amino acid protein that localizes to the nucleus. Expressed during embryonic development, HoxA6 functions as a sequence-specific DNA-binding transcription factor that is part of a regulatory mechanism that provides cells with positional identities during development. Via its ability to bind DNA, HoxA6 plays an important role in the regulation of gene expression, as well as morphogenesis and differentiation. The gene encoding HoxA6 maps to human chromosome 7, which houses over 1,000 genes and comprises nearly 5% of the human genome. Defects in some of the genes localized to chromosome 7 have been linked to Osteogenesis imperfecta, Williams-Beuren syndrome, Pendred syndrome, Lissencephaly, Citrullinemia and Shwachman-Diamond syndrome.

Function:
Sequence-specific transcription factor which is part of a developmental regulatory system that provides cells with specific positional identities on the anterior-posterior axis.

Tissue Specificity:
Nucleus.

Similarity:
Belongs to the Antp homeobox family.
Contains 1 homeobox DNA-binding domain.

SWISS:
P31267

Gene ID:
3203

Database links:

Entrez Gene: 3203 Human

Entrez Gene: 15403 Mouse

Entrez Gene: 685732 Rat

Omim: 142951 Human

SwissProt: P31267 Human

SwissProt: P09092 Mouse

Unigene: 679517 Human

Unigene: 222030 Mouse



产品图片
Sample: K562(Human) Cell Lysate at 30 ug Primary: Anti-HOXA6 (bs-11294R) at 1/500 dilution Secondary: IRDye800CW Goat Anti-Rabbit IgG at 1/20000 dilution Predicted band size: 23 kD Observed band size: 26 kD
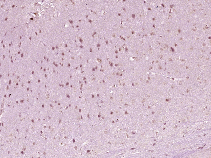
Paraformaldehyde-fixed, paraffin embedded (Rat brain); Antigen retrieval by boiling in sodium citrate buffer (pH6.0) for 15min; Block endogenous peroxidase by 3% hydrogen peroxide for 20 minutes; Blocking buffer (normal goat serum) at 37°C for 30min; Antibody incubation with (HOXA6) Polyclonal Antibody, Unconjugated (bs-11294R) at 1:400 overnight at 4°C, followed by operating according to SP Kit(Rabbit) (sp-0023) instructionsand DAB staining.
Paraformaldehyde-fixed, paraffin embedded (Mouse brain); Antigen retrieval by boiling in sodium citrate buffer (pH6.0) for 15min; Block endogenous peroxidase by 3% hydrogen peroxide for 20 minutes; Blocking buffer (normal goat serum) at 37°C for 30min; Antibody incubation with (HOXA6) Polyclonal Antibody, Unconjugated (bs-11294R) at 1:400 overnight at 4°C, followed by operating according to SP Kit(Rabbit) (sp-0023) instructionsand DAB staining.
Paraformaldehyde-fixed, paraffin embedded (rat brain); Antigen retrieval by boiling in sodium citrate buffer (pH6.0) for 15min; Block endogenous peroxidase by 3% hydrogen peroxide for 20 minutes; Blocking buffer (normal goat serum) at 37°C for 30min; Antibody incubation with (HOXA6) Polyclonal Antibody, Unconjugated (bs-11294R) at 1:200 overnight at 4°C, followed by operating according to SP Kit(Rabbit) (sp-0023) instructionsand DAB staining.
Paraformaldehyde-fixed, paraffin embedded (mouse spinal cord); Antigen retrieval by boiling in sodium citrate buffer (pH6.0) for 15min; Block endogenous peroxidase by 3% hydrogen peroxide for 20 minutes; Blocking buffer (normal goat serum) at 37°C for 30min; Antibody incubation with (HOXA6) Polyclonal Antibody, Unconjugated (bs-11294R) at 1:200 overnight at 4°C, followed by operating according to SP Kit(Rabbit) (sp-0023) instructionsand DAB staining.
Paraformaldehyde-fixed, paraffin embedded (rat spinal cord); Antigen retrieval by boiling in sodium citrate buffer (pH6.0) for 15min; Block endogenous peroxidase by 3% hydrogen peroxide for 20 minutes; Blocking buffer (normal goat serum) at 37°C for 30min; Antibody incubation with (HOXA6) Polyclonal Antibody, Unconjugated (bs-11294R) at 1:200 overnight at 4°C, followed by operating according to SP Kit(Rabbit) (sp-0023) instructionsand DAB staining.
版权所有 2004-2026 www.bioss.com.cn 北京博奥森生物技术有限公司
通过国际质量管理体系ISO 9001:2015 GB/T 19001-2016    证书编号: 00124Q34771R2M/1100
通过国际医疗器械-质量管理体系ISO 13485:2016 GB/T 42061-2022     证书编号: CQC24QY20047R0M/1100
京ICP备05066980号-1         京公网安备110107000727号