扫码关注公众号           扫码咨询技术支持           扫码咨询技术服务
  
客服热线:400-901-9800  客服QQ:4009019800  技术答疑  技术支持  质量反馈  关于我们  联系我们
产品中心-北京博奥森生物技术有限公司
首页 > 产品中心 > 一抗 > 产品信息
MPP3/SAP102 Rabbit pAb (bs-11315R)  
订购热线:400-901-9800
订购邮箱:sales@bioss.com.cn
订购QQ:  400-901-9800
技术支持:techsupport@bioss.com.cn
50ul/1180.00元
100ul/1980.00元
200ul/2800.00元
大包装/询价

产品编号 bs-11315R
英文名称 MPP3/SAP102 Rabbit pAb
中文名称 突触相关蛋白102抗体
别    名 Discs large Drosophila homolog 3; Discs large homolog 3 neuroendocrine dlg Drosophila; Discs large homolog 3; Discs large homolog 3 Drosophila; Discs, large homolog 3(Drosophila); Disks large homolog 3; DLG 3; DLG3; DLG3_HUMAN; MPP3; MPP-3; KIAA1232; mKIAA1232; MRX 90; MRX; MRX90; NE Dlg; NEDLG; Neuroendocrine dlg; Neuroendocrine-DLG; OTTHUMP00000023475; OTTHUMP00000023476; OTTHUMP00000023477; SAP 102; SAP-102; SAP102; Synapse associated protein 102; Synapse-associated protein 102; XLMR; bA291O7.3; bA291O7.3 discs large Drosophila homolog 3 neuroendocrine dlg.  
研究领域 细胞生物  神经生物学  信号转导  细胞骨架  
抗体来源 Rabbit
克隆类型 Polyclonal
克 隆 号
交叉反应 Rat (predicted: Human,Mouse,Rabbit,Pig,Cow,Chicken,Dog,Horse)
产品应用 IHC-P=1:100-500,IHC-F=1:100-500,IF=1:100-500
not yet tested in other applications.
optimal dilutions/concentrations should be determined by the end user.
理论分子量 90 kDa
检测分子量
性    状 Liquid
浓    度 1mg/ml
免 疫 原 KLH conjugated synthetic peptide derived from human SAP102: 501-600/817 
亚    型 IgG
纯化方法 affinity purified by Protein A
缓 冲 液 0.01M TBS (pH7.4) with 1% BSA, 0.02% Proclin300 and 50% Glycerol.
保存条件 Shipped at 4℃. Store at -20℃ for one year. Avoid repeated freeze/thaw cycles.
注意事项 This product as supplied is intended for research use only, not for use in human, therapeutic or diagnostic applications.
PubMed PubMed
产品介绍 MPP3, also known as Discs large homolog 3 (DLG3), is a 585 amino acid protein belonging to the MAGUK family. Proteins in the MAGUK family, including CASK, ZO-1, ZO-2, p55 and MPP2, are known to regulate cell proliferation, intracellular junctions and signaling pathways by interacting with the cytoskeleton. MPP3 contains one guanylate kinase-like domain, one PDZ domain, two L27 domains and one SH3 domain. Via the PDZ domain, MMP3 interacts with the C-terminus of TSLC1. MMP3 has also been found to interact with SR-2A and SR-4.

Function:
Required for learning most likely through its role in synaptic plasticity following NMDA receptor signaling.

Subunit:
Interacts through its PDZ domains with NETO1, GRIN2B and SYNGAP1. Interacts through its guanylate kinase-like domain with DLGAP1, DLGAP2, DLGAP3 and DLGAP4 (By similarity). Interacts through its PDZ domains with APC. Interacts through its first two PDZ domains with ERBB4. Interacts through its third PDZ domain with NLGN1, and probably with NLGN2 and NLGN3. Interacts with FRMPD4 (via C-terminus). Interacts with LRFN1, LRFN2 and LRFN4.

DISEASE:
Defects in DLG3 are the cause of mental retardation X-linked type 90 (MRX90) [MIM:300189]. Mental retardation is characterized by significantly sub-average general intellectual functioning associated with impairments in adaptative behavior and manifested during the developmental period. Non-syndromic mental retardation patients do not manifest other clinical signs.

Similarity:
Belongs to the MAGUK family. Contains 1 guanylate kinase-like domain.
Contains 3 PDZ (DHR) domains.
Contains 1 SH3 domain.

SWISS:
Q13368

Gene ID:
4356

Database links:

Entrez Gene: 4356 Human

Omim: 601114 Human

SwissProt: Q13368 Human

Unigene: 396566 Human



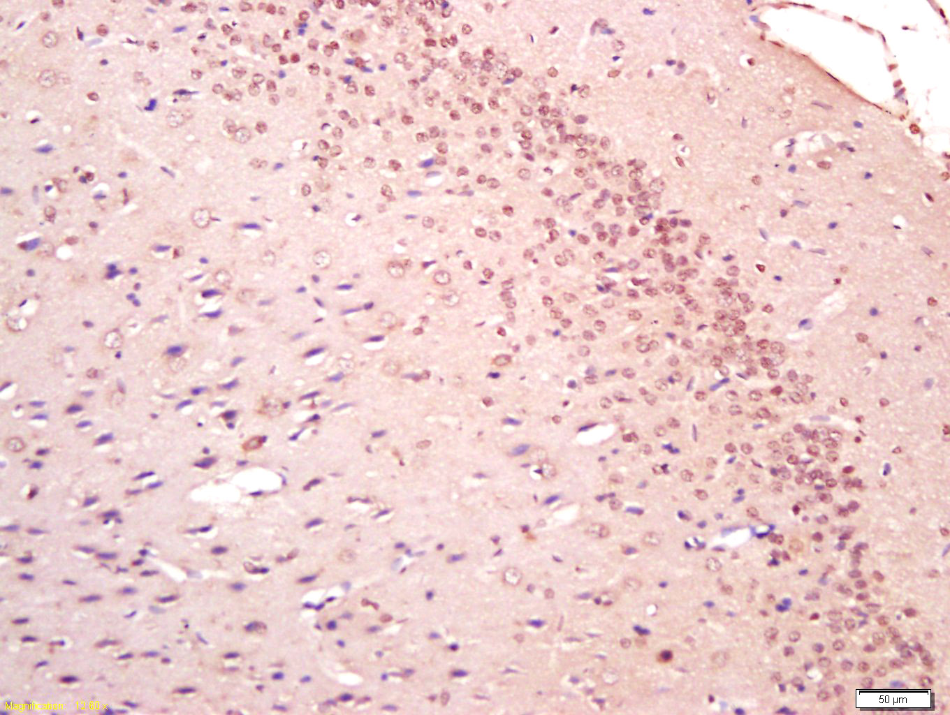
产品图片
Tissue/cell: rat brain tissue; 4% Paraformaldehyde-fixed and paraffin-embedded; Antigen retrieval: citrate buffer ( 0.01M, pH 6.0 ), Boiling bathing for 15min; Block endogenous peroxidase by 3% Hydrogen peroxide for 30min; Blocking buffer (normal goat serum,C-0005) at 37℃ for 20 min; Incubation: Anti-MPP3 Polyclonal Antibody, Unconjugated(bs-11315R) 1:200, overnight at 4°C, followed by conjugation to the secondary antibody(SP-0023) and DAB(C-0010) staining
版权所有 2004-2026 www.bioss.com.cn 北京博奥森生物技术有限公司
通过国际质量管理体系ISO 9001:2015 GB/T 19001-2016    证书编号: 00124Q34771R2M/1100
通过国际医疗器械-质量管理体系ISO 13485:2016 GB/T 42061-2022     证书编号: CQC24QY20047R0M/1100
京ICP备05066980号-1         京公网安备110107000727号