扫码关注公众号           扫码咨询技术支持           扫码咨询技术服务
  
客服热线:400-901-9800  客服QQ:4009019800  技术答疑  技术支持  质量反馈  人才招聘  关于我们  联系我们
产品中心-北京博奥森生物技术有限公司
首页 > 产品中心 > 一抗 > 产品信息
C1QC Rabbit pAb (bs-11337R)  
订购热线:400-901-9800
订购邮箱:sales@bioss.com.cn
订购QQ:  400-901-9800
技术支持:techsupport@bioss.com.cn
50ul/1180.00元
100ul/1980.00元
200ul/2800.00元
大包装/询价

产品编号 bs-11337R
英文名称 C1QC Rabbit pAb
中文名称 补体C1q多肽链C抗体
别    名 C1Q-C; C1QD3; C1QG; Adib; Ciqc; C1QC_HUMAN; C1QC; C1QC_MOUSE; C1QC_RAT; complement C1q C chain; complement component 1, q subcomponent, gamma polypeptide; complement component 1, q subcomponent, C chain  补体C1q C亚基
Specific References  (1)     |     bs-11337R has been referenced in 1 publications.
[IF=16.988] Wu Yutong. et al. Osteoclast-Derived Apoptotic Bodies Inhibit Naive Cd8 T Cell Activation via Siglec15 Promoting Breast Cancer Secondary Metastasis. Cell Reports Medicine. 2022 Nov 03  WB ;  Mouse.  
研究领域 免疫学  神经生物学  细胞类型标志物  
抗体来源 Rabbit
克隆类型 Polyclonal
交叉反应 Human,Mouse (predicted: Rat,Rabbit,Dog,Horse)
产品应用 IHC-P=1:100-500,IHC-F=1:100-500,IF=1:100-500,ELISA=1:500-5000
not yet tested in other applications.
optimal dilutions/concentrations should be determined by the end user.
理论分子量 23kDa
细胞定位 分泌型蛋白 
性    状 Liquid
浓    度 1mg/ml
免 疫 原 KLH conjugated synthetic peptide derived from human C1QC: 81-180/245 
亚    型 IgG
纯化方法 affinity purified by Protein A
缓 冲 液 0.01M TBS (pH7.4) with 1% BSA, 0.02% Proclin300 and 50% Glycerol.
保存条件 Shipped at 4℃. Store at -20℃ for one year. Avoid repeated freeze/thaw cycles.
注意事项 This product as supplied is intended for research use only, not for use in human, therapeutic or diagnostic applications.
PubMed PubMed
产品介绍 C1q, a subcomponent of the classical complement pathway, is composed of nine subunits that mediate classical complement activation and thereby play an important role in the immune response. Six of these subunits are disulfide-linked dimers of chains A and B, while three of these subunits, designated C1q-A through C1q-C, are disulfide-linked dimers of chain C. The presence of receptors for C1q on effector cells modulates its activity, which may be antibody-dependent or independent. Macrophages are the primary source of C1q, while anti-inflammatory drugs as well as cytokines differentially regulate expression of the mRNA, as well as the protein. However, its ability to modulate the interaction of platelets with collagen and immune complexes suggests C1q influences homeostasis as well as other immune activities, and perhaps thrombotic complications resulting from immune injury. Defects in C1q-A, C1q-B and C1q-C cause inactivation of the classical pathway, leading to a rare genetic disorder characterized by lupus-like symptoms.

Function:
C1q associates with the proenzymes C1r and C1s to yield C1, the first component of the serum complement system. The collagen-like regions of C1q interact with the Ca(2+)-dependent C1r(2)C1s(2) proenzyme complex, and efficient activation of C1 takes place on interaction of the globular heads of C1q with the Fc regions of IgG or IgM antibody present in immune complexes.

Subunit:
C1 is a calcium-dependent trimolecular complex of C1q, R and S in the molar ration of 1:2:2. C1q subcomponent is composed of nine subunits, six of which are disulfide-linked dimers of the A and B chains, and three of which are disulfide-linked dimers of the C chain.

Subcellular Location:
Secreted.

Post-translational modifications:
O-linked glycans consist of Glc-Gal disaccharides bound to the oxygen atom of post-translationally added hydroxyl groups.

DISEASE:
Defects in C1QC are a cause of complement component C1q deficiency (C1QD) [MIM:613652]. A rare defect resulting in C1 deficiency and impaired activation of the complement classical pathway. C1 deficiency generally leads to severe immune complex disease with features of systemic lupus erythematosus and glomerulonephritis.

Similarity:
Contains 1 C1q domain.
Contains 1 collagen-like domain.

SWISS:
P02747

Gene ID:
714

Database links:

Entrez Gene: 714 Human

Entrez Gene: 12262 Mouse

Entrez Gene: 362634 Rat

Omim: 120575 Human

SwissProt: P02747 Human

SwissProt: Q02105 Mouse

SwissProt: P31722 Rat

Unigene: 467753 Human

Unigene: 439732 Mouse

Unigene: 2393 Rat



产品图片
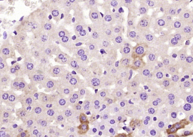
Paraformaldehyde-fixed, paraffin embedded (mouse liver tissue); Antigen retrieval by boiling in sodium citrate buffer (pH6.0) for 15min; Block endogenous peroxidase by 3% hydrogen peroxide for 20 minutes; Blocking buffer (normal goat serum) at 37°C for 30min; Antibody incubation with (C1QC) Polyclonal Antibody, Unconjugated (bs-11337R) at 1:400 overnight at 4°C, followed by operating according to SP Kit(Rabbit) (sp-0023) instructionsand DAB staining.
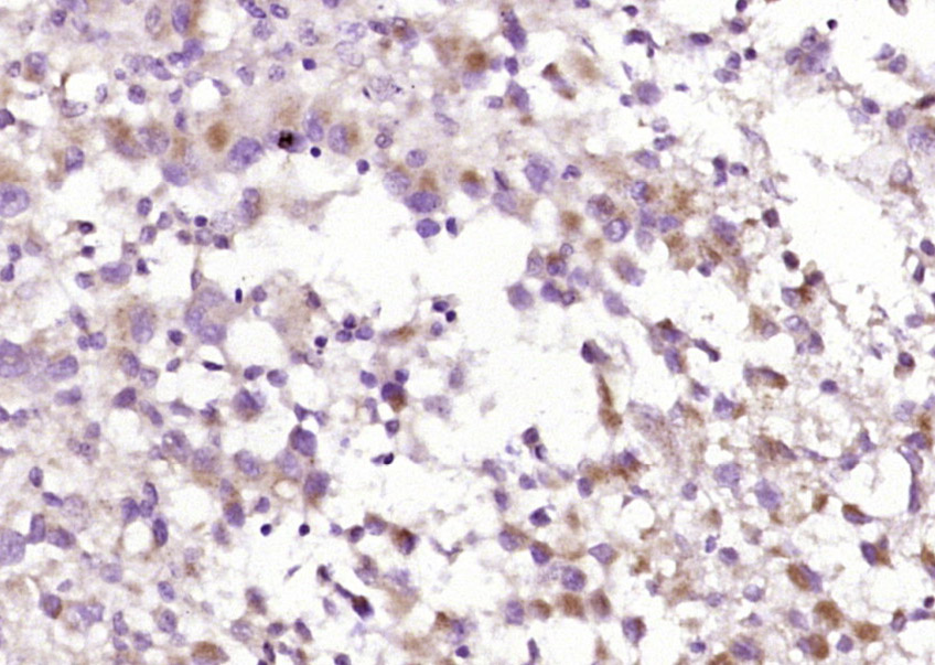
Paraformaldehyde-fixed, paraffin embedded (human brain glioma); Antigen retrieval by boiling in sodium citrate buffer (pH6.0) for 15min; Block endogenous peroxidase by 3% hydrogen peroxide for 20 minutes; Blocking buffer (normal goat serum) at 37°C for 30min; Antibody incubation with (C1QC) Polyclonal Antibody, Unconjugated (bs-11337R) at 1:400 overnight at 4°C, followed by operating according to SP Kit(Rabbit) (sp-0023) instructionsand DAB staining.
版权所有 2004-2026 www.bioss.com.cn 北京博奥森生物技术有限公司
通过国际质量管理体系ISO 9001:2015 GB/T 19001-2016    证书编号: 00124Q34771R2M/1100
通过国际医疗器械-质量管理体系ISO 13485:2016 GB/T 42061-2022     证书编号: CQC24QY20047R0M/1100
京ICP备05066980号-1         京公网安备110107000727号