扫码关注公众号           扫码咨询技术支持           扫码咨询技术服务
  
客服热线:400-901-9800  客服QQ:4009019800  技术答疑  技术支持  质量反馈  关于我们  联系我们
产品中心-北京博奥森生物技术有限公司
首页 > 产品中心 > 一抗 > 产品信息
IKK beta Rabbit pAb (bs-4880R)  
订购热线:400-901-9800
订购邮箱:sales@bioss.com.cn
订购QQ:  400-901-9800
技术支持:techsupport@bioss.com.cn
50ul/1180.00元
100ul/1980.00元
200ul/2800.00元
大包装/询价

产品编号 bs-4880R
英文名称 IKK beta Rabbit pAb
中文名称 KB抑制蛋白激酶β抗体
别    名 IKKI kappa B kinase 2; IKKβ; IKK β; I kappa B kinase beta; IkBKB; IKK 2; IKK B; IKK2; IKKB; Inhibitor of kappa light chain gene enhancer in B cells; Inhibitor of kappa light polypeptide gene enhancer in B cells; Inhibitor of kappa light polypeptide gene enhancer in B cells kinase beta; Inhibitor of nuclear factor kappa B kinase beta subunit; Inhibitor of nuclear factor kappa B kinase subunit beta; MGC131801; NFKBIKB; Nuclear factor NF kappa B inhibitor kinase beta; Nuclear factor of kappa light chain gene enhancer in B cells inhibitor; IKKB_HUMAN.  
Specific References  (9)     |     bs-4880R has been referenced in 9 publications.
[IF=6.117] Yuanyuan Xing. et al. Artemisia ordosica polysaccharide ameliorated LPS-induced growth inhibition and intestinal injury in broilers through enhancing immune-regulation and antioxidant capacity. J NUTR BIOCHEM. 2023 Feb;:109284  WB ;  Chicken.  
[IF=5.81] Xu X. et al. Alhagi pseudalhagi Extract Exerts Protective Effects Against Intestinal Inflammation in Ulcerative Colitis by Affecting TLR4-Dependent NF-κB Signaling Pathways.. Front Pharmacol. 2021 Nov;12:764602-764602  WB ;  Mouse.  
[IF=5.162] Liu S et al. Structural characterization of a novel polysaccharide from Panax notoginseng residue and its immunomodulatory activity on bone marrow dendritic cells. Int J Biol Macromol . 2020 Oct 15;161:797-809.  WB ;  Mouse.  
[IF=3.298] Zhongxiao Zhou. et al. Formononetin regulates endothelial nitric oxide synthase to protect vascular endothelium in deep vein thrombosis rats:. INT J IMMUNOPATH PH. 2022;():  WB ;  Rat.  
[IF=2.685] Li, Ying. et al. Parthenolide inhibits proliferation of cells infected with Kaposi’s sarcoma-associated herpesvirus by suppression of the NF-κB signaling pathway. ARCH VIROL. 2023 Feb;168(2):1-12  WB ;  Human.  
[IF=2.027] Zhu F et al. Effects of fermented feed on growth performance, immune response, and antioxidant capacity in laying hen chicks and the underlying molecular mechanism involving nuclear factor-κB. Poult Sci. 2020 May;99(5):2573-2580.  WB ;  chicken.  
[IF=1.918] Dong Y et al. Quercetin Inhibits the Proliferation and Metastasis of Human Non-Small Cell Lung Cancer Cell Line: The Key Role of Src-Mediated Fibroblast Growth Factor-Inducible 14 (Fn14)/ Nuclear Factor kappa B (NF-κB) pathway. Med Sci Monit . 2020 Mar 30;26:e920537.  WB ;  human.  
[IF=1.894] Wang et al. Src Promotes Metastasis of Human Non-Small Cell Lung Cancer Cells through Fn14-Mediated NF-κB Signaling. (2018) Med.Sci.Monit. 24:1282-1294  WB ;  Human.  
[IF=0] Xiaoqing Song. et al. Protective effect of hydroxysafflor yellow A on MSCs against senescence induced by D-galactose. CHIN HERB MED. 2022 Dec;:  WB ;  Rat.  
研究领域 肿瘤  细胞生物  免疫学  信号转导  激酶和磷酸酶  
抗体来源 Rabbit
克隆类型 Polyclonal
克 隆 号
交叉反应 Human,Mouse,Rat
产品应用 WB=1:500-2000,IHC-P=1:100-500,IHC-F=1:100-500,IF=1:100-500,ICC/IF=1:100-500
not yet tested in other applications.
optimal dilutions/concentrations should be determined by the end user.
理论分子量 87 kDa
检测分子量
细胞定位 细胞核 细胞浆 细胞膜 
性    状 Liquid
浓    度 1mg/ml
免 疫 原 KLH conjugated synthetic peptide derived from human IKK beta: 141-240/756 
亚    型 IgG
纯化方法 affinity purified by Protein A
缓 冲 液 0.01M TBS (pH7.4) with 1% BSA, 0.02% Proclin300 and 50% Glycerol.
保存条件 Shipped at 4℃. Store at -20℃ for one year. Avoid repeated freeze/thaw cycles.
注意事项 This product as supplied is intended for research use only, not for use in human, therapeutic or diagnostic applications.
PubMed PubMed
产品介绍 IKK beta (I-Kappa-B kinase-beta) is a member of the IKK complex which is composed of IKK alpha, IKK beta, IKK gamma and IKAP. Phosphorylation of I-Kappa-B on a serine residue by the IKK complex frees NF-kB from I-Kappa-B and marks it for degradation via ubiquination. IKK beta has been shown to activate NF-kB and phosphorylate IKB alpha and beta. Phosphorylation of 2 sites at the activation loop of IKK beta is essential for activation of IKK by TNF and IL1. Once activated, IKK beta autophosphorylates which in turn decreases IKK activity and prevents prolonged activation of the inflammatory response. Additionally, IKK beta activity can also be regulated by MEKK1.

Function:
Serine kinase that plays an essential role in the NF-kappa-B signaling pathway which is activated by multiple stimuli such as inflammatory cytokines, bacterial or viral products, DNA damages or other cellular stresses. Acts as part of the canonical IKK complex in the conventional pathway of NF-kappa-B activation and phosphorylates inhibitors of NF-kappa-B on 2 critical serine residues. These modifications allow polyubiquitination of the inhibitors and subsequent degradation by the proteasome. In turn, free NF-kappa-B is translocated into the nucleus and activates the transcription of hundreds of genes involved in immune response, growth control, or protection against apoptosis. In addition to the NF-kappa-B inhibitors, phosphorylates several other components of the signaling pathway including NEMO/IKBKG, NF-kappa-B subunits RELA and NFKB1, as well as IKK-related kinases TBK1 and IKBKE. IKK-related kinase phosphorylations may prevent the overproduction of inflammatory mediators since they exert a negative regulation on canonical IKKs. Also phosphorylates other substrates including NCOA3, BCL10 and IRS1. Within the nucleus, acts as an adapter protein for NFKBIA degradation in UV-induced NF-kappa-B activation.

Subunit:
Component of the I-kappa-B-kinase (IKK) core complex consisting of CHUK, IKBKB and IKBKG; probably four alpha/CHUK-beta/IKBKB dimers are associated with four gamma/IKBKG subunits. The IKK core complex seems to associate with regulatory or adapter proteins to form a IKK-signalosome holo-complex. The IKK complex associates with TERF2IP/RAP1, leading to promote IKK-mediated phosphorylation of RELA/p65. Part of a complex composed of NCOA2, NCOA3, CHUK/IKKA, IKBKB, IKBKG and CREBBP. Part of a 70-90 kDa complex at least consisting of CHUK/IKKA, IKBKB, NFKBIA, RELA, IKBKAP and MAP3K14. Found in a membrane raft complex, at least composed of BCL10, CARD11, DPP4 and IKBKB. Interacts with SQSTM1 through PRKCZ or PRKCI. Forms an NGF-induced complex with IKBKB, PRKCI and TRAF6. May interact with MAVS/IPS1. Interacts with NALP2. Interacts with TICAM1. Interacts with Yersinia yopJ. Interacts with FAF1; the interaction disrupts the IKK complex formation. Interacts with ATM. Part of a ternary complex consisting of TANK, IKBKB and IKBKG. Interacts with NIBP; the interaction is direct. Interacts with ARRB1 and ARRB2. Interacts with TRIM21. Interacts with NLRC5; prevents IKBKB phosphorylation and kinase activity. Interacts with PDPK1.

Subcellular Location:
Cytoplasm. Nucleus. Membrane raft. Note=Colocalized with DPP4 in membrane rafts.

Tissue Specificity:
Highly expressed in heart, placenta, skeletal muscle, kidney, pancreas, spleen, thymus, prostate, testis and peripheral blood.

Post-translational modifications:
Upon cytokine stimulation, phosphorylated on Ser-177 and Ser-181 by MEKK1 and/or MAP3K14/NIK as well as TBK1 and PRKCZ; which enhances activity. Once activated, autophosphorylates on the C-terminal serine cluster; which decreases activity and prevents prolonged activation of the inflammatory response. Phosphorylated by the IKK-related kinases TBK1 and IKBKE, which is associated with reduced CHUK/IKKA and IKBKB activity and NF-kappa-B-dependent gene transcription.
Acetylation of Thr-180 by Yersinia yopJ prevents phosphorylation and activation, thus blocking the I-kappa-B pathway.
Ubiquitinated. Monoubiquitination involves TRIM21 that leads to inhibition of Tax-induced NF-kappa-B signaling. According to PubMed:19675099, 'Ser-163' does not serve as a monoubiquitination site. According to PubMed:16267042, ubiquitination on 'Ser-163' modulates phosphorylation on C-terminal serine residues. Monoubiquitination by TRIM21 is disrupted by Yersinia yopJ.

Similarity:
Belongs to the protein kinase superfamily. Ser/Thr protein kinase family. I-kappa-B kinase subfamily.
Contains 1 protein kinase domain.

SWISS:
O14920

Gene ID:
3551

Database links:

Entrez Gene: 3551 Human

Entrez Gene: 16150 Mouse

Entrez Gene: 84351 Rat

Omim: 603258 Human

SwissProt: O14920 Human

SwissProt: O88351 Mouse

SwissProt: Q9QY78 Rat

Unigene: 597664 Human

Unigene: 277886 Mouse

Unigene: 19222 Rat



产品图片
25 ug total protein per lane of various lysates (see on figure) probed with IKK beta polyclonal antibody, unconjugated (bs-4880R) at 1:1000 dilution and 4°C overnight incubation. Followed by conjugated secondary antibody incubation at r.t. for 60 min.
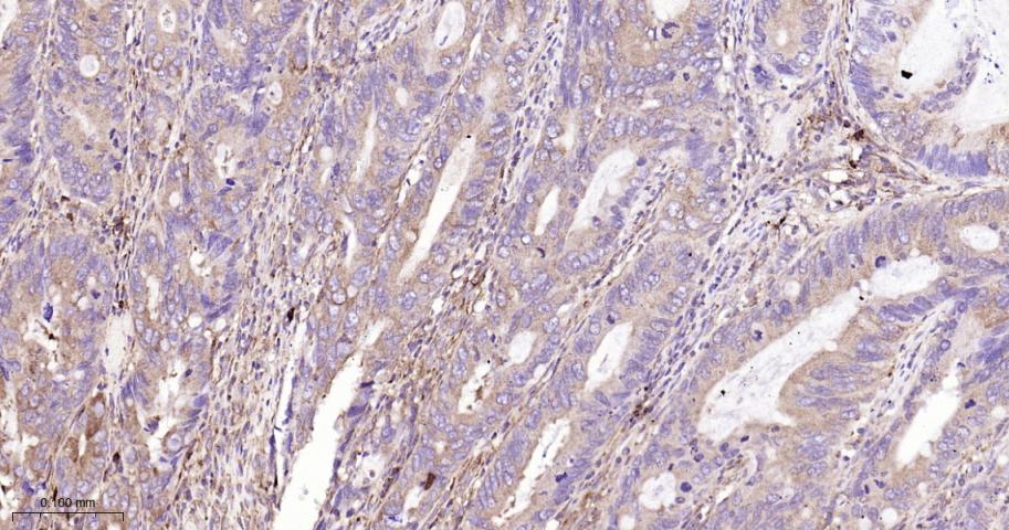
Paraformaldehyde-fixed, paraffin embedded Human Colon Cancer; Antigen retrieval by boiling in sodium citrate buffer (pH6.0) for 15 min; The section was incubated with IKK beta Polyclonal Antibody, Unconjugated (bs-4880R) at 1:200 overnight at 4°C, followed by conjugation to the bs-0295G-HRP and DAB (C-0010) staining.
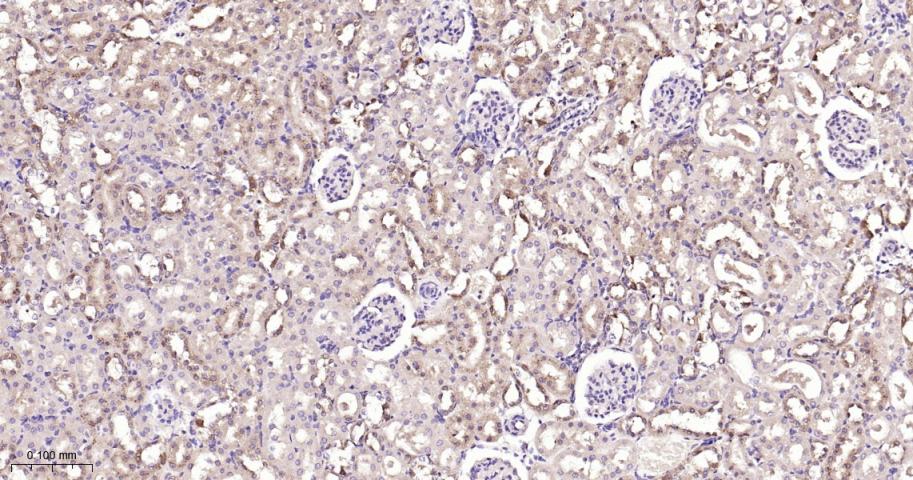
Paraformaldehyde-fixed, paraffin embedded Rat Kidney; Antigen retrieval by boiling in sodium citrate buffer (pH6.0) for 15 min; The section was incubated with IKK beta Polyclonal Antibody, Unconjugated (bs-4880R) at 1:200 overnight at 4°C, followed by conjugation to the bs-0295G-HRP and DAB (C-0010) staining.
版权所有 2004-2026 www.bioss.com.cn 北京博奥森生物技术有限公司
通过国际质量管理体系ISO 9001:2015 GB/T 19001-2016    证书编号: 00124Q34771R2M/1100
通过国际医疗器械-质量管理体系ISO 13485:2016 GB/T 42061-2022     证书编号: CQC24QY20047R0M/1100
京ICP备05066980号-1         京公网安备110107000727号