扫码关注公众号           扫码咨询技术支持           扫码咨询技术服务
  
客服热线:400-901-9800  客服QQ:4009019800  技术答疑  技术支持  质量反馈  人才招聘  关于我们  联系我们
产品中心-北京博奥森生物技术有限公司
首页 > 产品中心 > 一抗 > 产品信息
A2LD1 Rabbit pAb (bs-11381R)  
订购热线:400-901-9800
订购邮箱:sales@bioss.com.cn
订购QQ:  400-901-9800
技术支持:techsupport@bioss.com.cn
50ul/1180.00元
100ul/1980.00元
200ul/2800.00元
大包装/询价

产品编号 bs-11381R
英文名称 A2LD1 Rabbit pAb
中文名称 A2LD1蛋白抗体
别    名 A2LD1; GGACT_HUMAN; GGACT; AIG2-like domain-containing protein 1; Gamma-glutamylamine cyclotransferase; 4.3.2.8;   
研究领域 肿瘤  信号转导  
抗体来源 Rabbit
克隆类型 Polyclonal
克 隆 号
交叉反应 Human,Mouse,Rat (predicted: Rabbit,Dog,Horse)
产品应用 WB=1:500-2000,IHC-P=1:100-500,IHC-F=1:100-500,IF=1:100-500
not yet tested in other applications.
optimal dilutions/concentrations should be determined by the end user.
理论分子量 17 kDa
检测分子量 17
细胞定位 细胞外基质 分泌型蛋白 
性    状 Liquid
浓    度 1mg/ml
免 疫 原 KLH conjugated synthetic peptide derived from human A2LD1: 1-50/153 
亚    型 IgG
纯化方法 affinity purified by Protein A
缓 冲 液 0.01M TBS (pH7.4) with 1% BSA, 0.02% Proclin300 and 50% Glycerol.
保存条件 Shipped at 4℃. Store at -20℃ for one year. Avoid repeated freeze/thaw cycles.
注意事项 This product as supplied is intended for research use only, not for use in human, therapeutic or diagnostic applications.
PubMed PubMed
产品介绍 A2LD1 is a 153 amino acid protein belonging to the gamma-glutamylcyclotransferase family. A2LD1 contains two exons, with only the second exon coding, and spans 2.2 kb. Consisting of a monomer subunit, A2LD1 participates in acyltransferase and gamma-glutamylcyclotransferase activities. A2LD1 assists with the breakdown of proteins cross-linked by transglutaminases. A2LD1 also catalyzes the formation of 5-oxoproline from L-gamma-glutamyl-L-epsilon-lysine, but is inactive with L-gamma-glutamyl-alpha-amino acid substrates, such as L-gamma-glutamyl-L-alpha-cysteine and L-gamma-glutamyl-L-alpha-alanine. A2LD1 is encoded by a gene that maps to human chromosome 13q32.3.

Function:
Contributes to degradation of proteins cross-linked by transglutaminases. Degrades the cross-link between a lysine and a glutamic acid residue from two proteins that have been cross-linked by transglutaminases. Catalyzes the formation of 5-oxoproline from L-gamma-glutamyl-L-epsilon-lysine. Inactive with L-gamma-glutamyl-alpha-amino acid substrates such as L-gamma-glutamyl-L-alpha-cysteine and L-gamma-glutamyl-L-alpha-alanine.

Subunit:
Monomer.

Similarity:
Belongs to the gamma-glutamylcyclotransferase family.

SWISS:
Q9BVM4

Gene ID:
87769

Database links:

Entrez Gene: 87769 Human

Omim: 613378 Human

SwissProt: Q9BVM4 Human

Unigene: 350868 Human



产品图片
Sample: Liver (Mouse) Lysate at 40 ug Primary: Anti- A2LD1 (bs-11381R) at 1/1000 dilution Secondary: IRDye800CW Goat Anti-Rabbit IgG at 1/20000 dilution Predicted band size: 17 kD Observed band size: 17 kD
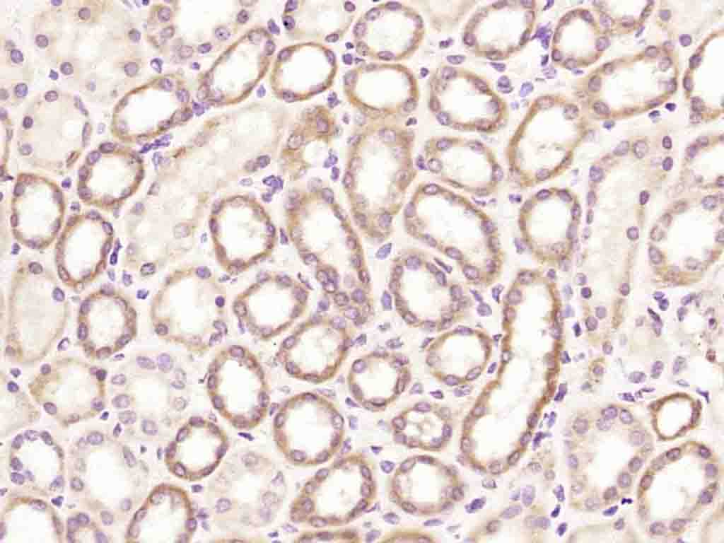
Paraformaldehyde-fixed, paraffin embedded (Human kidney); Antigen retrieval by boiling in sodium citrate buffer (pH6.0) for 15min; Block endogenous peroxidase by 3% hydrogen peroxide for 20 minutes; Blocking buffer (normal goat serum) at 37°C for 30min; Antibody incubation with (A2LD1) Polyclonal Antibody, Unconjugated (bs-11381R) at 1:200 overnight at 4°C, followed by operating according to SP Kit(Rabbit) (sp-0023) instructionsand DAB staining.
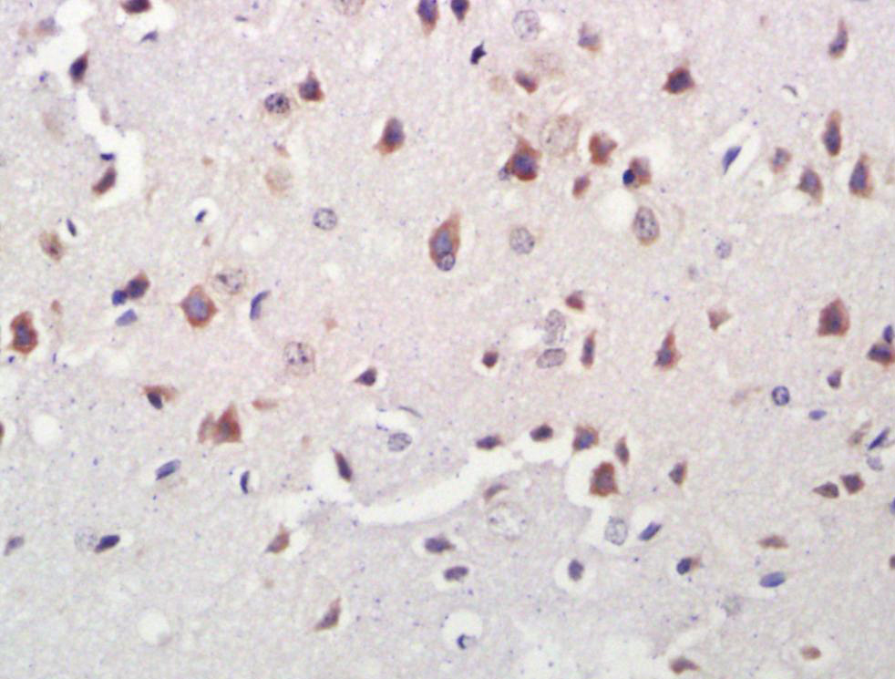
Tissue/cell: rat brain tissue; 4% Paraformaldehyde-fixed and paraffin-embedded; Antigen retrieval: citrate buffer ( 0.01M, pH 6.0 ), Boiling bathing for 15min; Block endogenous peroxidase by 3% Hydrogen peroxide for 30min; Blocking buffer (normal goat serum,C-0005) at 37℃ for 20 min; Incubation: Anti-A2LD1 Polyclonal Antibody, Unconjugated(bs-11381R) 1:200, overnight at 4°C, followed by conjugation to the secondary antibody(SP-0023) and DAB(C-0010) staining
版权所有 2004-2026 www.bioss.com.cn 北京博奥森生物技术有限公司
通过国际质量管理体系ISO 9001:2015 GB/T 19001-2016    证书编号: 00124Q34771R2M/1100
通过国际医疗器械-质量管理体系ISO 13485:2016 GB/T 42061-2022     证书编号: CQC24QY20047R0M/1100
京ICP备05066980号-1         京公网安备110107000727号