扫码关注公众号           扫码咨询技术支持           扫码咨询技术服务
  
客服热线:400-901-9800  客服QQ:4009019800  技术答疑  技术支持  质量反馈  人才招聘  关于我们  联系我们
产品中心-北京博奥森生物技术有限公司
首页 > 产品中心 > 一抗 > 产品信息
Neurogranin Rabbit pAb (bs-11435R)  
订购热线:400-901-9800
订购邮箱:sales@bioss.com.cn
订购QQ:  400-901-9800
技术支持:techsupport@bioss.com.cn
50ul/1180.00元
100ul/1980.00元
200ul/2800.00元
大包装/询价

产品编号 bs-11435R
英文名称 Neurogranin Rabbit pAb
中文名称 神经颗粒素抗体
别    名 RC3; hng; 0710001B06Rik; NG; NG/RC3; Pss1; BICKS; NEUG_BOVIN; NRGN; B-50 immunoreactive C-kinase substrate (BICKS); p17; NEUG_HUMAN; NEUG_MOUSE; NEUG_RAT; Protein kinase C substrate 7.5 kDa protein;   
研究领域 细胞生物  神经生物学  信号转导  激酶和磷酸酶  
抗体来源 Rabbit
克隆类型 Polyclonal
克 隆 号
交叉反应 Mouse,Rat (predicted: Human,Rabbit,Pig,Cow,Dog,Horse)
产品应用 IHC-P=1:100-500,IHC-F=1:100-500,IF=1:100-500
not yet tested in other applications.
optimal dilutions/concentrations should be determined by the end user.
理论分子量 7.6 kDa
细胞定位 细胞浆 
性    状 Liquid
浓    度 1mg/ml
免 疫 原 KLH conjugated synthetic peptide derived from human NG/Neurogranin: 30-78/78 
亚    型 IgG
纯化方法 affinity purified by Protein A
缓 冲 液 0.01M TBS (pH7.4) with 1% BSA, 0.02% Proclin300 and 50% Glycerol.
保存条件 Shipped at 4℃. Store at -20℃ for one year. Avoid repeated freeze/thaw cycles.
注意事项 This product as supplied is intended for research use only, not for use in human, therapeutic or diagnostic applications.
PubMed PubMed
产品介绍 Neurogranin (NRGN) is the human homolog of the neuron-specific rat RC3/neurogranin gene. This gene encodes a postsynaptic protein kinase substrate that binds calmodulin in the absence of calcium. The NRGN gene contains four exons and three introns. The exons 1 and 2 encode the protein and exons 3 and 4 contain untranslated sequences. It is suggested that the NRGN is a direct target for thyroid hormone in human brain, and that control of expression of this gene could underlay many of the consequences of hypothyroidism on mental states during development as well as in adult subjects. [provided by RefSeq, Jul 2008].

Function:
Acts as a "third messenger" substrate of protein kinase C-mediated molecular cascades during synaptic development and remodeling. Binds to calmodulin in the absence of calcium.

Tissue Specificity:
In the cerebral cortex, found in the cell bodies of neurons in layers II-VI, and in apical and basal dendrites of pyramidal neurons. Is not found in the dendrites in patients with Alzheimer disease.

Post-translational modifications:
Phosphorylated at Ser-36 by PHK

Similarity:
Belongs to the neurogranin family.
Contains 1 collagen-like domain.
Contains 1 IQ domain.

SWISS:
Q92686

Gene ID:
4900

Database links:

Entrez Gene: 616955 Cow

Entrez Gene: 4900 Human

Entrez Gene: 64011 Mouse

Entrez Gene: 64356 Rat

Omim: 602350 Human

SwissProt: P35722 Cow

SwissProt: Q92686 Human

SwissProt: P60761 Mouse

SwissProt: Q04940 Rat

Unigene: 524116 Human

Unigene: 335065 Mouse

Unigene: 11236 Rat



产品图片
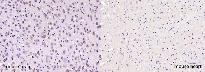
Positive sample:Paraformaldehyde-fixed, paraffin embedded (mouse brain); Negative sample:Paraformaldehyde-fixed, paraffin embedded (mouse heart); Antigen retrieval by boiling in sodium citrate buffer (pH6.0) for 15min; Block endogenous peroxidase by 3% hydrogen peroxide for 20 minutes; Blocking buffer (normal goat serum) at 37°C for 30min; Antibody incubation with (Neurogranin) Polyclonal Antibody, Unconjugated (bs-11435R) at 1:200 overnight at 4°C, followed by operating according to SP Kit(Rabbit) (sp-0023) instructionsand DAB staining.
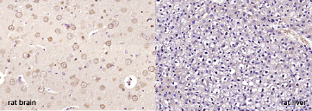
Positive sample:Paraformaldehyde-fixed, paraffin embedded (rat brian); Negative sample:Paraformaldehyde-fixed, paraffin embedded (rat liver); Antigen retrieval by boiling in sodium citrate buffer (pH6.0) for 15min; Block endogenous peroxidase by 3% hydrogen peroxide for 20 minutes; Blocking buffer (normal goat serum) at 37°C for 30min; Antibody incubation with (Neurogranin) Polyclonal Antibody, Unconjugated (bs-11435R) at 1:200 overnight at 4°C, followed by operating according to SP Kit(Rabbit) (sp-0023) instructionsand DAB staining.
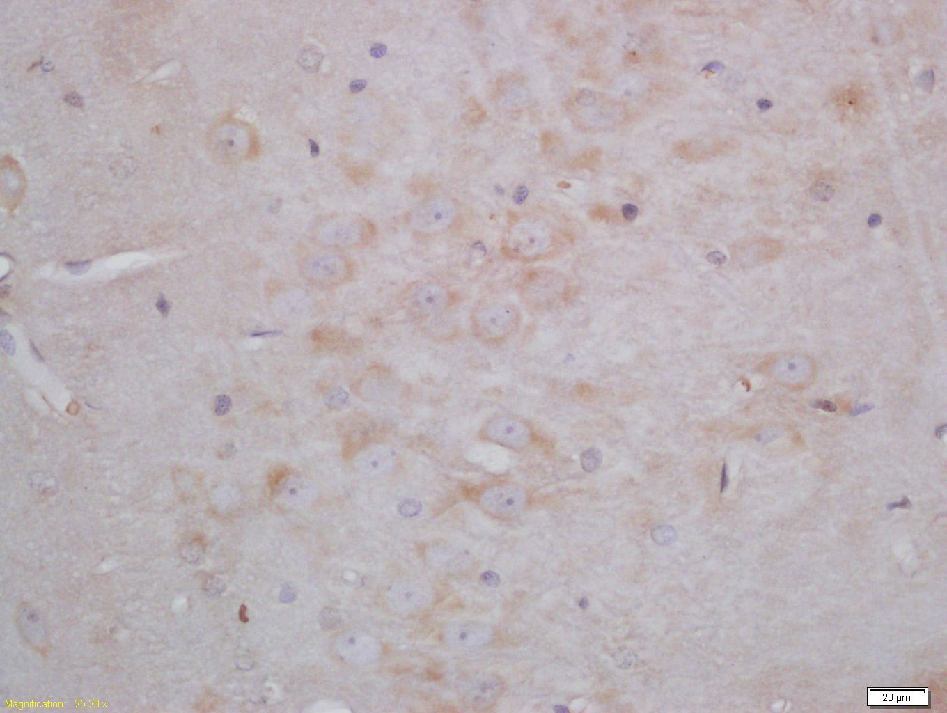
Tissue/cell: rat brain tissue; 4% Paraformaldehyde-fixed and paraffin-embedded; Antigen retrieval: citrate buffer ( 0.01M, pH 6.0 ), Boiling bathing for 15min; Block endogenous peroxidase by 3% Hydrogen peroxide for 30min; Blocking buffer (normal goat serum,C-0005) at 37℃ for 20 min; Incubation: Anti-Neurogranin Polyclonal Antibody, Unconjugated(bs-11435R) 1:200, overnight at 4°C, followed by conjugation to the secondary antibody(SP-0023) and DAB(C-0010) staining
版权所有 2004-2026 www.bioss.com.cn 北京博奥森生物技术有限公司
通过国际质量管理体系ISO 9001:2015 GB/T 19001-2016    证书编号: 00124Q34771R2M/1100
通过国际医疗器械-质量管理体系ISO 13485:2016 GB/T 42061-2022     证书编号: CQC24QY20047R0M/1100
京ICP备05066980号-1         京公网安备110107000727号