扫码关注公众号           扫码咨询技术支持           扫码咨询技术服务
  
客服热线:400-901-9800  客服QQ:4009019800  技术答疑  技术支持  质量反馈  关于我们  联系我们
产品中心-北京博奥森生物技术有限公司
首页 > 产品中心 > 一抗 > 产品信息
AMIGO2 Rabbit pAb (bs-11450R)  
订购热线:400-901-9800
订购邮箱:sales@bioss.com.cn
订购QQ:  400-901-9800
技术支持:techsupport@bioss.com.cn
50ul/1180.00元
100ul/1980.00元
200ul/2800.00元
大包装/询价

产品编号 bs-11450R
英文名称 AMIGO2 Rabbit pAb
中文名称 粘附分子IgG样结构域蛋白2抗体
别    名 Adhesion molecule with Ig like domain 2; ALI 1; ALI1; Alivin 1; Alivin-1; Alivin1; AMIGO 2; Amphoterin induced gene 2; Amphoterin induced protein 2; DEGA; AMGO2_HUMAN; AMIGO-2; Amigo2; Amphoterin induced protein 2; Amphoterin-induced protein 2; Differentially expressed in gastric adenocarcinoma; Differentially expressed in gastric adenocarcinomas; Transmembrane protein AMIGO 2; Transmembrane protein AMIGO2.  
Specific References  (1)     |     bs-11450R has been referenced in 1 publications.
[IF=5.923] Kirsten Hülskötter. et al. Tamoxifen Application Is Associated with Transiently Increased Loss of Hippocampal Neurons following Virus Infection. Int J Mol Sci. 2021 Jan;22(16):8486  IHC ;  Mouse.  
研究领域 神经生物学  
抗体来源 Rabbit
克隆类型 Polyclonal
克 隆 号
交叉反应 Human,Mouse,Rat (predicted: Pig,Sheep,Cow,Dog,Horse)
产品应用 WB=1:500-2000,IHC-P=1:100-500,IHC-F=1:100-500,IF=1:100-500
not yet tested in other applications.
optimal dilutions/concentrations should be determined by the end user.
理论分子量 54 kDa
检测分子量
细胞定位 细胞核 细胞膜 
性    状 Liquid
浓    度 1mg/ml
免 疫 原 KLH conjugated synthetic peptide derived from human AMIGO2: 21-120/522 <Extracellular>
亚    型 IgG
纯化方法 affinity purified by Protein A
缓 冲 液 0.01M TBS (pH7.4) with 1% BSA, 0.02% Proclin300 and 50% Glycerol.
保存条件 Shipped at 4℃. Store at -20℃ for one year. Avoid repeated freeze/thaw cycles.
注意事项 This product as supplied is intended for research use only, not for use in human, therapeutic or diagnostic applications.
PubMed PubMed
产品介绍 The amphoterin-induced gene and ORF (AMIGO) family of proteins consists of AMIGO-1, AMIGO-2 and AMIGO-3. All three members are single pass type I membrane proteins that contain several leucine-rich repeats, one IgG domain, and a transmembrane domain. The AMIGO proteins are specifically expressed on fiber tracts of neuronal tissues and participate in their formation. The AMIGO proteins can form complexes with each other, but can also bind itself. AMIGO-1, also designated Alivin-2, promotes growth and fasciculation of neurites and plays a role in myelination and fasciculation of developing neural axons. In cerebellar neurons, AMIGO-2 (Alivin-1) is crucial for depolarization-dependent survival. Similar to AMIGO-1 and AMIGO-2, AMIGO-3 (Alivin-3) plays a role in homophilic and/or heterophilic cell-cell interaction and signal transduction.

Function:
A novel primary response gene, AMIGO2, is an activity-dependent gene and promotes survival of neurons. Sequence analyses reveal that rat, mouse, and human AMIGO2 proteins contain seven leucine-rich repeats, one IgC2-like loop and a transmembrane domain, and display homology to Kek and Trk families. Results suggest that expression of ali1 promotes depolarization-dependent survival of the granule neuron. Mouse AMIGO2 was mapped to a locus approximately 55.3 cm from the centromere on chromosome 15 that is syntenic to positional candidate loci for familial Alzheimer's disease type 5 and Parkinson's disease 8 on human chromosome 12.

Subunit:
Binds itself as well as AMIGO1 and AMIGO3 (By similarity).

Subcellular Location:
Cell membrane; Single-pass type I membrane protein. Nucleus. Note: Associated with nucleus as well as plasma membrane. Restricted to somata of cerebellar as well as hippocampal neurons By

Tissue Specificity:
Highest levels in breast, ovary, cervix, and uterus. Lower levels in lung, colon, and rectum. Differentially expressed in 56% of thyroid, 57% of pancreatic and 45% of stomach cancers.

Similarity:
Belongs to the immunoglobulin superfamily. AMIGO family.
Contains 1 Ig-like C2-type (immunoglobulin-like) domain.
Contains 6 LRR (leucine-rich) repeats.
Contains 1 LRRCT domain.
Contains 1 LRRNT domain.

SWISS:
Q86SJ2

Gene ID:
347902

Database links:

Entrez Gene: 347902 Human

SwissProt: Q86SJ2 Human

Unigene: 121520 Human



产品图片
Sample: Hela(Human) Cell Lysate at 30 ug Primary: Anti- AMIGO2 (bs-11450R) at 1/1000 dilution Secondary: IRDye800CW Goat Anti-Rabbit IgG at 1/20000 dilution Predicted band size: 54 kD Observed band size: 54 kD
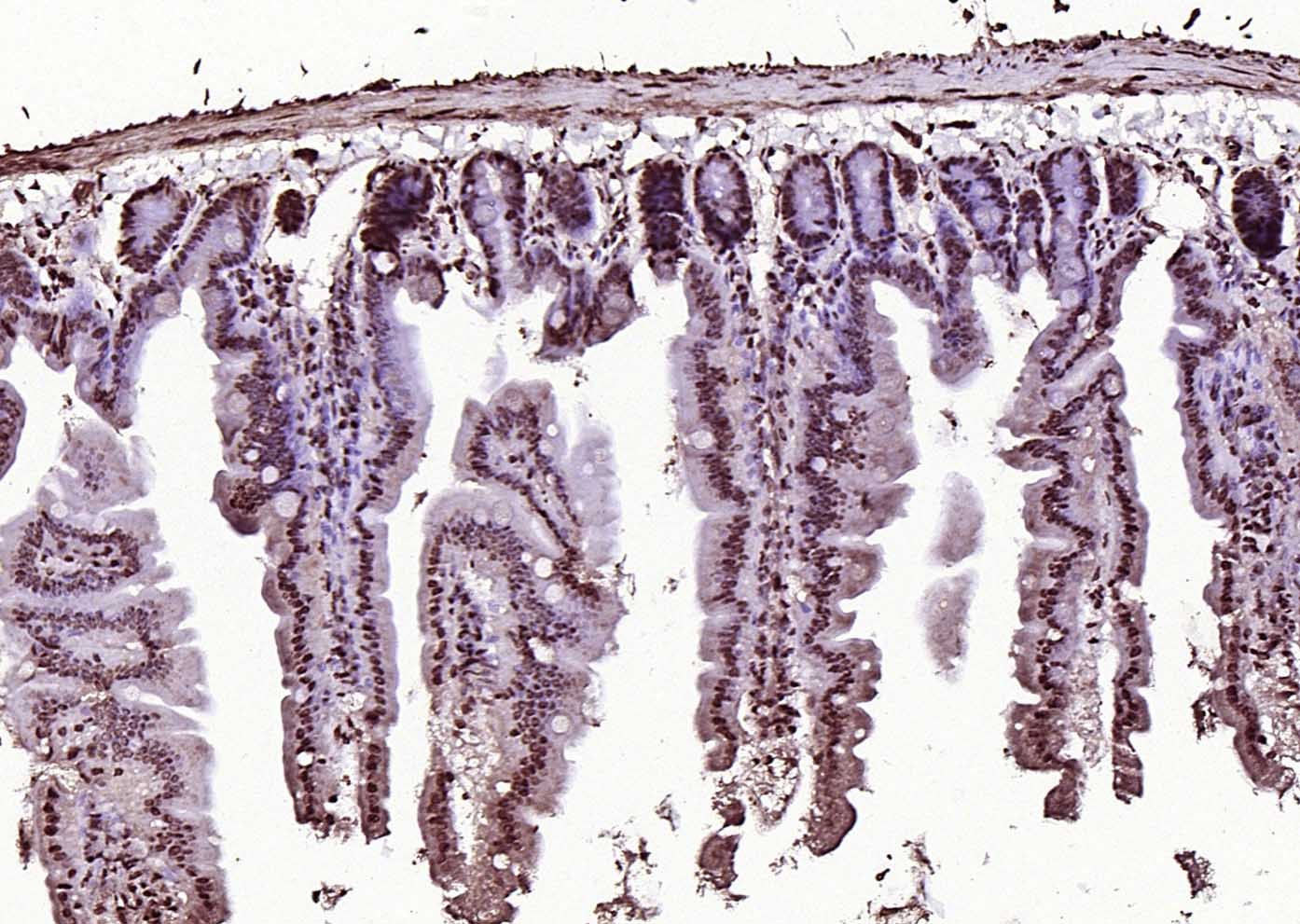
Paraformaldehyde-fixed, paraffin embedded (mouse small intestine); Antigen retrieval by boiling in sodium citrate buffer (pH6.0) for 15min; Block endogenous peroxidase by 3% hydrogen peroxide for 20 minutes; Blocking buffer (normal goat serum) at 37°C for 30min; Antibody incubation with (AMIGO2) Polyclonal Antibody, Unconjugated (bs-11450R) at 1:200 overnight at 4°C, followed by operating according to SP Kit(Rabbit) (sp-0023) instructionsand DAB staining.
Paraformaldehyde-fixed, paraffin embedded (rat small intestine); Antigen retrieval by boiling in sodium citrate buffer (pH6.0) for 15min; Block endogenous peroxidase by 3% hydrogen peroxide for 20 minutes; Blocking buffer (normal goat serum) at 37°C for 30min; Antibody incubation with (AMIGO2) Polyclonal Antibody, Unconjugated (bs-11450R) at 1:200 overnight at 4°C, followed by operating according to SP Kit(Rabbit) (sp-0023) instructionsand DAB staining.
Paraformaldehyde-fixed, paraffin embedded (human breast); Antigen retrieval by boiling in sodium citrate buffer (pH6.0) for 15min; Block endogenous peroxidase by 3% hydrogen peroxide for 20 minutes; Blocking buffer (normal goat serum) at 37°C for 30min; Antibody incubation with (AMIGO2) Polyclonal Antibody, Unconjugated (bs-11450R) at 1:200 overnight at 4°C, followed by operating according to SP Kit(Rabbit) (sp-0023) instructionsand DAB staining.
Tissue/cell: mouse placenta tissue; 4% Paraformaldehyde-fixed and paraffin-embedded; Antigen retrieval: citrate buffer ( 0.01M, pH 6.0 ), Boiling bathing for 15min; Block endogenous peroxidase by 3% Hydrogen peroxide for 30min; Blocking buffer (normal goat serum,C-0005) at 37℃ for 20 min; Incubation: Anti-AMIGO2 Polyclonal Antibody, Unconjugated(bs-11450R) 1:200, overnight at 4°C, followed by conjugation to the secondary antibody(SP-0023) and DAB(C-0010) staining
版权所有 2004-2026 www.bioss.com.cn 北京博奥森生物技术有限公司
通过国际质量管理体系ISO 9001:2015 GB/T 19001-2016    证书编号: 00124Q34771R2M/1100
通过国际医疗器械-质量管理体系ISO 13485:2016 GB/T 42061-2022     证书编号: CQC24QY20047R0M/1100
京ICP备05066980号-1         京公网安备110107000727号