扫码关注公众号           扫码咨询技术支持           扫码咨询技术服务
  
客服热线:400-901-9800  客服QQ:4009019800  技术答疑  技术支持  质量反馈  人才招聘  关于我们  联系我们
产品中心-北京博奥森生物技术有限公司
首页 > 产品中心 > 一抗 > 产品信息
phospho-EIF2S1 (Ser51) Rabbit pAb (bs-4842R)  
订购热线:400-901-9800
订购邮箱:sales@bioss.com.cn
订购QQ:  400-901-9800
技术支持:techsupport@bioss.com.cn
50ul/1180.00元
100ul/1980.00元
200ul/2800.00元
大包装/询价

产品编号 bs-4842R
英文名称 phospho-EIF2S1 (Ser51) Rabbit pAb
中文名称 磷酸化真核启动因子2α抗体
别    名 IF2A_HUMAN; EIF2S1; Eukaryotic translation initiation factor 2 subunit alpha (eIF-2-alpha | eIF-2A | eIF-2alpha | eIF2-alpha); EIF2A; IF2A_MOUSE; IF2A_RAT; eukaryotic translation initiation factor 2 subunit alpha; eukaryotic translation initiation factor 2, subunit 1 (alpha, 35kD ); eukaryotic translation initiation factor 2, subunit 1 alpha, 35kDa; EIF2S1 (phospho-S51); p-EIF2S1; phospho-EIF2S1; EIF2S1 (phospho-Ser51)  
Specific References  (13)     |     bs-4842R has been referenced in 13 publications.
[IF=38.637] Qiyi Zhao. et al. Targeting Mitochondria-Located circRNA SCAR Alleviates NASH via Reducing mROS Output. Cell. 2020 Oct;183:76  WB ;  Humann.  
[IF=14.024] Berger,et al.Localized Myosin II Activity Regulates Assembly and Plasticity of the Axon Initial Segment.(2018) Neuron. 97:555-570.e6.  IF(ICC) ;  Mouse.  
[IF=13.281] Tingting Wang. et al. Synergistic Lysosomal Impairment and ER Stress Activation for Boosted Autophagy Dysfunction Based on Te Double-Headed Nano-Bullets. SMALL. 2022 May 29  WB ;  Mouse.  
[IF=11.329] Yao et al. A non-canonical pathway regulates ER stress signaling and blocks ER stress-induced apoptosis and heart failure. (2017) Nat.Commu. 8:133  WB ;  Human.  
[IF=9.988] Yue Zhang. et al. Endoplasmic reticulum stress-controlled autophagic pathway promotes polystyrene microplastics-induced myocardial dysplasia in birds. ENVIRON POLLUT. 2022 Oct;311:119963  WB ;  Chicken.  
[IF=6.175] Chen Yanan. et al. Pterostilbene attenuates intrauterine growth retardation-induced colon inflammation in piglets by modulating endoplasmic reticulum stress and autophagy. Journal of Animal Science and Biotechnology. 2022 Dec;13(1):1-16  WB ;  Human.  
[IF=4.872] Yu Wang. et al. Zinc offers splenic protection through suppressing PERK/IRE1-driven apoptosis pathway in common carp (Cyprinus carpio) under arsenic stress. Ecotox Environ Safe. 2021 Jan;208:111473  WB ;  Fish.  
[IF=3.858] Li,et al.Silver nanoparticles induce SH-SY5Y cell apoptosis via endoplasmic reticulum- and mitochondrial pathways that lengthen endoplasmic reticulum-mitochondria contact sites and alter inositol-3-phosphate receptor function.(2018) Toxicology Letters. 285:156-167.  WB ;  Human.  
[IF=3.687] Cha et al. miR-211 Plays a Critical Role in Cnidium officinale Makino Extract-Induced, ROS/ER Stress-Mediated Apoptosis in U937 and U266 Cells. (2018) Int.J.Mol.Sci.Mar 15;19(3).  WB ;  
[IF=3.224] Yu Wang. et al. Co-administration of zinc for treating and preventing arsenism in common carp Cyprinus carpio: An alternative to avoid physiological and cellular damages. Aquaculture. 2021 Jan;531:735965  WB ;  Fish.  
[IF=3.184] Bingwei Yang et al. Polychlorinated Biphenyl Quinone Promotes Atherosclerosis through Lipid Accumulation and Endoplasmic Reticulum Stress via CD36. Chem Res Toxicol. 2020 Jun 15;33(6):1497-1507.  WB ;  Mouse.  
[IF=2.971] Wenfeng Gouet al. Ursolic acid derivative UA232 evokes apoptosis of lung cancer cells induced by endoplasmic reticulum stress. Pharm Biol . 2020 Dec;58(1):707-715.  WB ;  Human.  
[IF=2.33] He, Yihuai, et al. "Sustained endoplasmic reticulum stress inhibits hepatocyte proliferation via downregulation of c-Met expression." Molecular and Cellular Biochemistry (2014): 1-8.  WB ;  Human.  
产品类型 磷酸化抗体 
研究领域 肿瘤  细胞生物  神经生物学  信号转导  细胞凋亡  转录调节因子  激酶和磷酸酶  
抗体来源 Rabbit
克隆类型 Polyclonal
交叉反应 Mouse,Rat (predicted: Human,Cow,Chicken)
产品应用 WB=1:500-2000,IHC-P=1:100-500,IHC-F=1:100-500,IF=1:100-500
not yet tested in other applications.
optimal dilutions/concentrations should be determined by the end user.
理论分子量 36kDa
检测分子量 34
细胞定位 细胞浆 
性    状 Liquid
浓    度 1mg/ml
免 疫 原 KLH conjugated synthesised phosphopeptide derived from human eIF2 alpha around the phosphorylation site of Ser51: EL(p-S)RR 
亚    型 IgG
纯化方法 affinity purified by Protein A
缓 冲 液 0.01M TBS (pH7.4) with 1% BSA, 0.02% Proclin300 and 50% Glycerol.
保存条件 Shipped at 4℃. Store at -20℃ for one year. Avoid repeated freeze/thaw cycles.
注意事项 This product as supplied is intended for research use only, not for use in human, therapeutic or diagnostic applications.
PubMed PubMed
产品介绍 The translation initiation factor EIF2 catalyzes the first regulated step of protein synthesis initiation, promoting the binding of the initiator tRNA to 40S ribosomal subunits. Binding occurs as a ternary complex of methionyl-tRNA, EIF2, and GTP. EIF2 is composed of 3 nonidentical subunits, the 36-kD EIF2-alpha subunit (EIF2S1), the 38-kD EIF2-beta subunit (EIF2S2; MIM 603908), and the 52-kD EIF2-gamma subunit (EIF2S3; MIM 300161). The rate of formation of the ternary complex is modulated by the phosphorylation state of EIF2-alpha (Ernst et al., 1987 [PubMed 2948954]).[supplied by OMIM, Feb 2010].

Function:
Functions in the early steps of protein synthesis by forming a ternary complex with GTP and initiator tRNA. This complex binds to a 40S ribosomal subunit, followed by mRNA binding to form a 43S preinitiation complex. Junction of the 60S ribosomal subunit to form the 80S initiation complex is preceded by hydrolysis of the GTP bound to eIF-2 and release of an eIF-2-GDP binary complex. In order for eIF-2 to recycle and catalyze another round of initiation, the GDP bound to eIF-2 must exchange with GTP by way of a reaction catalyzed by eIF-2B.

Subunit:
Heterotrimer composed of an alpha, a beta and a gamma chain. Component of an EIF2 complex at least composed of CELF1/CUGBP1, CALR, CALR3, EIF2S1, EIF2S2, HSP90B1 and HSPA5. Interaction with METAP2 protects EIF2S1 from inhibitory phosphorylation. Interacts with ABCF1 isoform 2. Associates with ribosomes.

Subcellular Location:
Cytoplasmic granule. Note=The cytoplasmic granules are stress granules which are a dense aggregation in the cytosol composed of proteins and RNAs that appear when the cell is under stress. Co-localizes with NANOS3 in the stress granules.

Post-translational modifications:
Substrate for at least 4 kinases: EIF2AK3/PERK, GCN2, HRI and PKR. Phosphorylation stabilizes the eIF-2/GDP/eIF-2B complex and prevents GDP/GTP exchange reaction, thus impairing the recycling of eIF-2 between successive rounds of initiation and leading to global inhibition of translation. In case of infection by vaccinia virus or rotavirus A, eIF2S1 phosphorylation state is modulated.

Similarity:
Belongs to the eIF-2-alpha family.
Contains 1 S1 motif domain.

SWISS:
P05198

Gene ID:
1965

Database links:

Entrez Gene: 1965 Human

Entrez Gene: 13665 Mouse

Entrez Gene: 54318 Rat

Omim: 603907 Human

SwissProt: P05198 Human

SwissProt: Q6ZWX6 Mouse

SwissProt: P68101 Rat

Unigene: 151777 Human

Unigene: 196220 Mouse

Unigene: 1488 Rat



产品图片
Sample: Ovary (Mouse) Lysate at 40 ug Primary: Anti-Phospho-eIF2 alpha(Ser51) (bs-4842R) at 1/300 dilution Secondary: IRDye800CW Goat Anti-Rabbit IgG at 1/20000 dilution Predicted band size: 36 kD Observed band size: 34 kD
Sample: Testis (Mouse) Lysate at 40 ug Primary: Anti-Phospho-eIF2 alpha(Ser51) (bs-4842R) at 1/300 dilution Secondary: IRDye800CW Goat Anti-Rabbit IgG at 1/20000 dilution Predicted band size: 36 kD Observed band size: 34 kD
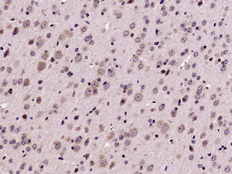
Paraformaldehyde-fixed, paraffin embedded (Rat brain); Antigen retrieval by microwave in sodium citrate buffer (pH6.0) ; Block endogenous peroxidase by 3% hydrogen peroxide for 30 minutes; Blocking buffer (3% BSA) at RT for 30min; Antibody incubation with (Phospho-eIF2 alpha(Ser51)) Polyclonal Antibody, Unconjugated (bs-4842R) at 1:400 overnight at 4°C, followed by conjugation to the secondary antibody (labeled with HRP)and DAB staining.
Paraformaldehyde-fixed, paraffin embedded (Mouse brain); Antigen retrieval by microwave in sodium citrate buffer (pH6.0) ; Block endogenous peroxidase by 3% hydrogen peroxide for 30 minutes; Blocking buffer (3% BSA) at RT for 30min; Antibody incubation with (Phospho-eIF2 alpha(Ser51)) Polyclonal Antibody, Unconjugated (bs-4842R) at 1:400 overnight at 4°C, followed by conjugation to the secondary antibody (labeled with HRP)and DAB staining.
版权所有 2004-2026 www.bioss.com.cn 北京博奥森生物技术有限公司
通过国际质量管理体系ISO 9001:2015 GB/T 19001-2016    证书编号: 00124Q34771R2M/1100
通过国际医疗器械-质量管理体系ISO 13485:2016 GB/T 42061-2022     证书编号: CQC24QY20047R0M/1100
京ICP备05066980号-1         京公网安备110107000727号