 
| 产品编号 | bs-11507R | 
| 英文名称 | BBS1 Rabbit pAb | 
| 中文名称 | 巴尔得-别德尔综合征相关蛋白5抗体 | 
| 别 名 | AI451249; Bardet-Biedl syndrome 1; Bardet-Biedl syndrome 1 homolog; Bardet-Biedl syndrome 1 protein; BBS1; BBS1_HUMAN; BBS2-like protein 2; D19Ertd609e. | 
| 研究领域 | 细胞生物 神经生物学 内分泌病 | 
| 抗体来源 | Rabbit | 
| 克隆类型 | Polyclonal | 
| 克 隆 号 | |
| 交叉反应 | Human,Mouse,Rat (predicted: Rabbit,Sheep,Cow,Dog,Horse) | 
| 产品应用 | WB=1:500-2000,IHC-P=1:100-500,IHC-F=1:100-500,IF=1:100-500,ICC/IF=1:100-500 not yet tested in other applications. optimal dilutions/concentrations should be determined by the end user. | 
| 理论分子量 | 65 kDa | 
| 检测分子量 | |
| 细胞定位 | 细胞浆 细胞膜 | 
| 性 状 | Liquid | 
| 浓 度 | 1mg/ml | 
| 免 疫 原 | KLH conjugated synthetic peptide derived from human BBS5: 181-270/593 | 
| 亚 型 | IgG | 
| 纯化方法 | affinity purified by Protein A | 
| 缓 冲 液 | 0.01M TBS (pH7.4) with 1% BSA, 0.02% Proclin300 and 50% Glycerol. | 
| 保存条件 | Shipped at 4℃. Store at -20℃ for one year. Avoid repeated freeze/thaw cycles. | 
| 注意事项 | This product as supplied is intended for research use only, not for use in human, therapeutic or diagnostic applications. | 
| PubMed | PubMed | 
| 产品介绍 | The BBSome complex is required for ciliogenesis but is dispensable for centriolar satellite function. This ciliogenic function is mediated in part by the Rab8 GDP/GTP exchange factor, which localizes to the basal body and contacts the BBSome. Rab8(GTP) enters the primary cilium and promotes extension of the ciliary membrane. Firstly the BBSome associates with the ciliary membrane and binds to Rabin8, the guanosyl exchange factor (GEF) for Rab8 and then the Rab8-GTP localizes to the cilium and promotes docking and fusion of carrier vesicles to the base of the ciliary membrane. Function: This gene encodes a protein that has been directly linked to Bardet-Biedl syndrome. The primary features of this syndrome include retinal dystrophy, obesity, polydactyly, renal abnormalities and learning disabilities. Experimentation in non-human eukaryotes suggests that this gene is expressed in ciliated cells and that it is required for the formation of cilia. Alternate transcriptional splice variants have been observed but have not been fully characterized. Subunit: Part of BBSome complex, that contains BBS1, BBS2, BBS4, BBS5, BBS7, BBS8, BBS9 and BBIP10. The BBSome complex binds to PCM1 and tubulin. Interacts with the C-terminus of RAB3IP. Interacts with CCDC28B. Subcellular Location: Cell projection Tissue Specificity: Highly expressed in the kidney. Also found in fetal tissue, testis, retina, adipose tissue, heart, skeletal muscle and pancreas. DISEASE: Defects in BBS1 are a cause of Bardet-Biedl syndrome type 1 (BBS1) [MIM:209900]. Bardet-Biedl syndrome (BBS) is a genetically heterogeneous disorder characterized by usually severe pigmentary retinopathy, early onset obesity, polydactyly, hypogenitalism, renal malformation and mental retardation. Secondary features include diabetes mellitus, hypertension and congenital heart disease. A relatively high incidence of BBS is found in the mixed Arab populations of Kuwait and in Bedouin tribes throughout the Middle East, most likely due to the high rate of consaguinity in these populations and a founder effect. Inheritance is autosomal recessive, but three mutated alleles (two at one locus, and a third at a second locus) may be required for disease manifestation in some cases (triallelic inheritance). SWISS: Q8NFJ9 Gene ID: 582 Database links: Entrez Gene: 582 Human Entrez Gene: 52028 Mouse Omim: 209901 Human SwissProt: Q8NFJ9 Human Unigene: 502915 Human Unigene: 23636 Mouse Unigene: 12497 Rat BBS蛋白是一类研究早期儿童肥胖综合症有关的其中一种。巴尔得-别德尔综合征(Bardet-Biedl syndrome,BBS)的特征为不同程度的肥胖、智力延迟、色素视网膜病变、多指和肾脏异常。 | 
| 产品图片 | 
Sample: 
HepG2(Human) Cell Lysate at 30 ug
U2os(Human) Cell Lysate at 30 ug
Primary: Anti- BBS1 (bs-11507R) at 1/1000 dilution
Secondary: IRDye800CW Goat Anti-Rabbit IgG at 1/20000 dilution
Predicted band size: 65 kD
Observed band size: 65 kD
 
Sample: 
Hela(Human) Cell Lysate at 30 ug
Primary: Anti- BBS1 (bs-11507R) at 1/1000 dilution
Secondary: IRDye800CW Goat Anti-Rabbit IgG at 1/20000 dilution
Predicted band size: 65 kD
Observed band size: 65 kD
 
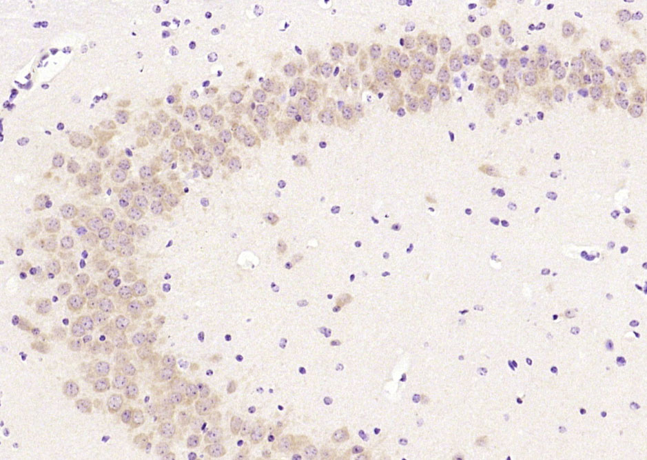
Paraformaldehyde-fixed, paraffin embedded (mouse brain); Antigen retrieval by boiling in sodium citrate buffer (pH6.0) for 15min; Block endogenous peroxidase by 3% hydrogen peroxide for 20 minutes; Blocking buffer (normal goat serum) at 37°C for 30min; Antibody incubation with (BBS1) Polyclonal Antibody, Unconjugated (bs-11507R) at 1:200 overnight at 4°C, followed by operating according to SP Kit(Rabbit) (sp-0023) instructionsand DAB staining.
 
Paraformaldehyde-fixed, paraffin embedded (rat brain); Antigen retrieval by boiling in sodium citrate buffer (pH6.0) for 15min; Block endogenous peroxidase by 3% hydrogen peroxide for 20 minutes; Blocking buffer (normal goat serum) at 37°C for 30min; Antibody incubation with (BBS1) Polyclonal Antibody, Unconjugated (bs-11507R) at 1:200 overnight at 4°C, followed by operating according to SP Kit(Rabbit) (sp-0023) instructionsand DAB staining.
 
U87MG cell; 4% Paraformaldehyde-fixed; Triton X-100 at room temperature for 20 min; Blocking buffer (normal goat serum, C-0005) at 37°C for 20 min; Antibody incubation with (BBS1) polyclonal Antibody, Unconjugated (bs-11507R) 1:100, 90 minutes at 37°C; followed by a conjugated Goat Anti-Rabbit IgG antibody at 37°C for 90 minutes, DAPI (blue, C02-04002) was used to stain the cell nuclei.
 | 
| 1、抗体溶解方法 | |
| 2、抗体修复方式 | |
| 3、常用试剂的配制 | |
| 4、免疫组化操作步骤 | |
| 5、免疫组化问题解答 | |
| 6、Western Blotting 操作步骤 | |
| 7、Western Blotting 问题解答 | |
| 8、关于肽链的设计 | |
| 9、多肽的溶解与保存 | |
| 10、酶标抗体效价测定程序 | |