扫码关注公众号           扫码咨询技术支持           扫码咨询技术服务
  
客服热线:400-901-9800  客服QQ:4009019800  技术答疑  技术支持  质量反馈  人才招聘  关于我们  联系我们
产品中心-北京博奥森生物技术有限公司
首页 > 产品中心 > 一抗 > 产品信息
DUSP6 Rabbit pAb (bs-11546R)  
订购热线:400-901-9800
订购邮箱:sales@bioss.com.cn
订购QQ:  400-901-9800
技术支持:techsupport@bioss.com.cn
50ul/1180.00元
100ul/1980.00元
200ul/2800.00元
大包装/询价

产品编号 bs-11546R
英文名称 DUSP6 Rabbit pAb
中文名称 双特异性蛋白磷酸酶6/丝裂原活化蛋白激酶磷酸酶3抗体
别    名 HH19; MKP3; PYST1; 1300019I03Rik; MKP-3; DUS6_HUMAN; DUSP6; Dual specificity protein phosphatase PYST1; Mitogen-activated protein kinase phosphatase 3 (MAP kinase phosphatase 3 | MKP-3); 3.1.3.16; 3.1.3.48; DUS6_MOUSE; DUS6_RAT;   
Specific References  (1)     |     bs-11546R has been referenced in 1 publications.
[IF=4.56] Rodrigues et al. Obesity Increases Mitogen-Activated Protein Kinase Phosphatase-3 Levels in the Hypothalamus of Mice. (2017) Front.Cell.Neurosci. 11:313  WB ;  Mouse.  
研究领域 神经生物学  信号转导  激酶和磷酸酶  
抗体来源 Rabbit
克隆类型 Polyclonal
克 隆 号
交叉反应 Human (predicted: Mouse,Rat,Rabbit,Cow,Dog,Horse)
产品应用 IHC-P=1:100-500,IHC-F=1:100-500,IF=1:100-500
not yet tested in other applications.
optimal dilutions/concentrations should be determined by the end user.
理论分子量 42 kDa
细胞定位 细胞浆 
性    状 Liquid
浓    度 1mg/ml
免 疫 原 KLH conjugated synthetic peptide derived from human DUSP6: 311-381/381 
亚    型 IgG
纯化方法 affinity purified by Protein A
缓 冲 液 0.01M TBS (pH7.4) with 1% BSA, 0.02% Proclin300 and 50% Glycerol.
保存条件 Shipped at 4℃. Store at -20℃ for one year. Avoid repeated freeze/thaw cycles.
注意事项 This product as supplied is intended for research use only, not for use in human, therapeutic or diagnostic applications.
PubMed PubMed
产品介绍 The protein encoded by this gene is a member of the dual specificity protein phosphatase subfamily. These phosphatases inactivate their target kinases by dephosphorylating both the phosphoserine/threonine and phosphotyrosine residues. They negatively regulate members of the mitogen-activated protein (MAP) kinase superfamily (MAPK/ERK, SAPK/JNK, p38), which are associated with cellular proliferation and differentiation. Different members of the family of dual specificity phosphatases show distinct substrate specificities for various MAP kinases, different tissue distribution and subcellular localization, and different modes of inducibility of their expression by extracellular stimuli. This gene product inactivates ERK2, is expressed in a variety of tissues with the highest levels in heart and pancreas, and unlike most other members of this family, is localized in the cytoplasm. Two transcript variants encoding different isoforms have been found for this gene. [provided by RefSeq, Jul 2008]

Function:
Inactivates MAP kinases. Has a specificity for the ERK family.

Subcellular Location:
Cytoplasm.

Similarity:
Belongs to the protein-tyrosine phosphatase family. Non-receptor class dual specificity subfamily.
Contains 1 rhodanese domain.
Contains 1 tyrosine-protein phosphatase domain.

SWISS:
Q16828

Gene ID:
1848

Database links:

Entrez Gene: 1848 Human

Entrez Gene: 67603 Mouse

Entrez Gene: 116663 Rat

Omim: 602748 Human

SwissProt: Q16828 Human

SwissProt: Q9DBB1 Mouse

SwissProt: Q64346 Rat

Unigene: 298654 Human

Unigene: 1791 Mouse

Unigene: 4313 Rat



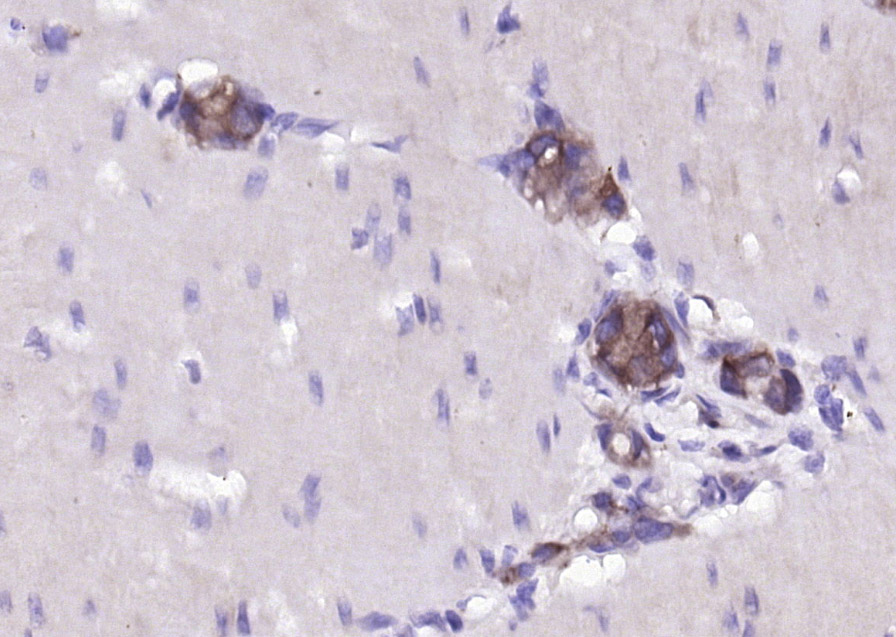
产品图片
Paraformaldehyde-fixed, paraffin embedded (human gastric carcinoma); Antigen retrieval by boiling in sodium citrate buffer (pH6.0) for 15min; Block endogenous peroxidase by 3% hydrogen peroxide for 20 minutes; Blocking buffer (normal goat serum) at 37°C for 30min; Antibody incubation with (DUSP6) Polyclonal Antibody, Unconjugated (bs-11546R) at 1:200 overnight at 4°C, followed by operating according to SP Kit(Rabbit) (sp-0023) instructionsand DAB staining.
版权所有 2004-2026 www.bioss.com.cn 北京博奥森生物技术有限公司
通过国际质量管理体系ISO 9001:2015 GB/T 19001-2016    证书编号: 00124Q34771R2M/1100
通过国际医疗器械-质量管理体系ISO 13485:2016 GB/T 42061-2022     证书编号: CQC24QY20047R0M/1100
京ICP备05066980号-1         京公网安备110107000727号