扫码关注公众号           扫码咨询技术支持           扫码咨询技术服务
  
客服热线:400-901-9800  客服QQ:4009019800  技术答疑  技术支持  质量反馈  关于我们  联系我们
产品中心-北京博奥森生物技术有限公司
首页 > 产品中心 > 一抗 > 产品信息
NAT8L Rabbit pAb (bs-11593R)  
订购热线:400-901-9800
订购邮箱:sales@bioss.com.cn
订购QQ:  400-901-9800
技术支持:techsupport@bioss.com.cn
50ul/1180.00元
100ul/1980.00元
200ul/2800.00元
大包装/询价

产品编号 bs-11593R
英文名称 NAT8L Rabbit pAb
中文名称 N-乙酰转移酶8样蛋白抗体
别    名 Camello-like protein 3; CML3; Hcml3; N acetyltransferase 8 like(GCN5 related, putative); N-acetylaspartate synthetase; N-acetyltransferase 8-like protein; NAA synthetase; NAT8 like; Nat8l; NAT8L_HUMAN.  
研究领域 肿瘤  发育生物学  信号转导  细胞周期蛋白  细胞膜蛋白  
抗体来源 Rabbit
克隆类型 Polyclonal
克 隆 号
交叉反应 Human (predicted: Mouse,Rat,Rabbit,Pig,Dog,Horse)
产品应用 IHC-P=1:100-500,IHC-F=1:100-500,IF=1:100-500
not yet tested in other applications.
optimal dilutions/concentrations should be determined by the end user.
理论分子量 33 kDa
检测分子量
细胞定位 细胞浆 细胞膜 
性    状 Liquid
浓    度 1mg/ml
免 疫 原 KLH conjugated synthetic peptide derived from human NAT8L: 201-302/302 
亚    型 IgG
纯化方法 affinity purified by Protein A
缓 冲 液 0.01M TBS (pH7.4) with 1% BSA, 0.02% Proclin300 and 50% Glycerol.
保存条件 Shipped at 4℃. Store at -20℃ for one year. Avoid repeated freeze/thaw cycles.
注意事项 This product as supplied is intended for research use only, not for use in human, therapeutic or diagnostic applications.
PubMed PubMed
产品介绍 This gene encodes a single-pass membrane protein, which contains a conserved sequence of the GCN5 or NAT superfamily of N-acetyltransferases and is a member of the N-acyltransferase (NAT) superfamily. This protein is a neuron-specific protein and is the N-acetylaspartate (NAA) biosynthetic enzyme, catalyzing the NAA synthesis from L-aspartate and acetyl-CoA. NAA is a major storage and transport form of acetyl coenzyme A specific to the nervous system. The gene mutation results in primary NAA deficiency (hypoacetylaspartia).

Function:
Plays a role in the regulation of lipogenesis by producing N-acetylaspartate acid (NAA), a brain-specific metabolite. NAA occurs in high concentration in brain and its hydrolysis plays a significant part in the maintenance of intact white matter. Promotes dopamine uptake by regulating TNF-alpha expression. Attenuates methamphetamine-induced inhibition of dopamine uptake.

Subcellular Location:
Cytoplasm. Membrane; Single-pass membrane protein (Potential). Microsome membrane; Single-pass membrane protein (By similarity). Mitochondrion membrane; Single-pass membrane protein. Rough endoplasmic reticulum membrane; Single-pass membrane protein (By similarity). Note=Its enzymatic activity contribution is quantitatively larger in mitochondrial compartment than in extramitochondrial compartment.

Tissue Specificity:
Expressed in brain.

DISEASE:
Defects in NAT8L are the cause of N-acetylaspartate deficiency (NACED) [MIM:614063]. A metabolic disorder resulting in truncal ataxia, marked developmental delay, seizures, and secondary microcephaly.

Similarity:
Belongs to the camello family.
Contains 1 N-acetyltransferase domain.

SWISS:
Q8N9F0

Gene ID:
339983

Database links:

Entrez Gene: 339983 Human

Entrez Gene: 269642 Mouse

Omim: 610647 Human

SwissProt: Q8N9F0 Human

SwissProt: Q3UGX3 Mouse

Unigene: 318529 Human

Unigene: 274610 Mouse



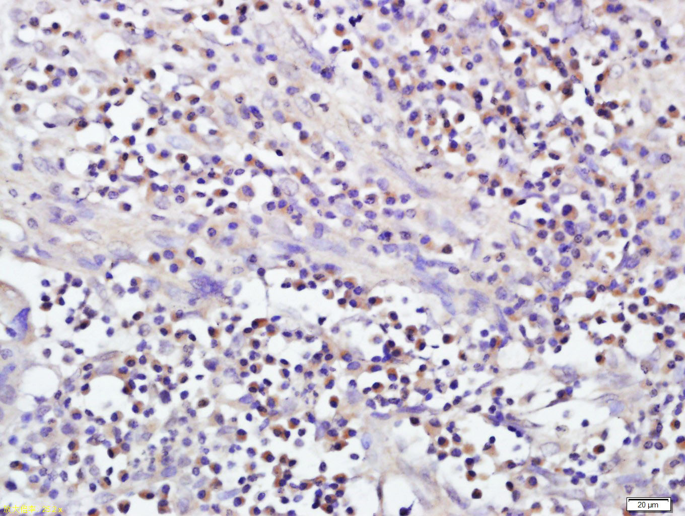
产品图片
Tissue/cell: human stomach carcinoma; 4% Paraformaldehyde-fixed and paraffin-embedded; Antigen retrieval: citrate buffer ( 0.01M, pH 6.0 ), Boiling bathing for 15min; Block endogenous peroxidase by 3% Hydrogen peroxide for 30min; Blocking buffer (normal goat serum,C-0005) at 37℃ for 20 min; Incubation: Anti-NAT8L Polyclonal Antibody, Unconjugated(bs-11593R) 1:500, overnight at 4°C, followed by conjugation to the secondary antibody(SP-0023) and DAB(C-0010) staining
版权所有 2004-2026 www.bioss.com.cn 北京博奥森生物技术有限公司
通过国际质量管理体系ISO 9001:2015 GB/T 19001-2016    证书编号: 00124Q34771R2M/1100
通过国际医疗器械-质量管理体系ISO 13485:2016 GB/T 42061-2022     证书编号: CQC24QY20047R0M/1100
京ICP备05066980号-1         京公网安备110107000727号