扫码关注公众号           扫码咨询技术支持           扫码咨询技术服务
  
客服热线:400-901-9800  客服QQ:4009019800  技术答疑  技术支持  质量反馈  人才招聘  关于我们  联系我们
产品中心-北京博奥森生物技术有限公司
首页 > 产品中心 > 一抗 > 产品信息
NALP3/CIAS1 Rabbit pAb (bs-10021R)  
订购热线:400-901-9800
订购邮箱:sales@bioss.com.cn
订购QQ:  400-901-9800
技术支持:techsupport@bioss.com.cn
50ul/1180.00元
100ul/1980.00元
200ul/2800.00元
大包装/询价

产品编号 bs-10021R
英文名称 NALP3/CIAS1 Rabbit pAb
中文名称 细胞凋亡诱导蛋白NALP3抗体
别    名 AGTAVPRL; AII; AVP; C1orf7; CIAS1; CLR1.1; DFNA34; FCAS; FCAS1; FCU; KEFH; MWS; NALP3; PYPAF1; AII/AVP; Mmig1; NLRP3_HUMAN; NLRP3; Angiotensin/vasopressin receptor AII/AVP-like; Caterpiller protein 1.1 (CLR1.1); Cold-induced autoinflammatory syndrome 1 protein; Cryopyrin; PYRIN-containing APAF1-like protein 1; 3.6.4.-; NLRP3_MOUSE; Cold autoinflammatory syndrome 1 protein homolog; Mast cell maturation-associated-inducible protein 1; NLR family pyrin domain containing 3; cold autoinflammatory syndrome 1; deafness, autosomal dominant 34; nucleotide-binding oligomerization domain, leucine rich repeat and pyrin domain containing 3  
Specific References  (66)     |     bs-10021R has been referenced in 66 publications.
[IF=10.383] Zhen Xu. et al. Green Biosynthesis of Silver Nanoparticles Using Aqueous Extracts of Ageratum Conyzoides and Their Anti-Inflammatory Effects. ACS APPL MATER INTER. 2023;XXXX(XXX):XXX-XXX  WB ;  Mouse,Human.  
[IF=8.469] Pang, Qi. et al. Irisin protects against vascular calcification by activating autophagy and inhibiting NLRP3-mediated vascular smooth muscle cell pyroptosis in chronic kidney disease. Cell Death Dis. 2022 Mar;13(3):1-15  IF ;  Mouse.  
[IF=8.469] Zheng, Jie. et al. A novel function of NLRP3 independent of inflammasome as a key transcription factor of IL-33 in epithelial cells of atopic dermatitis. Cell Death Dis. 2021 Sep;12(10):1-12  IHC ;  mouse.  
[IF=7.919] Chen Y et al. A selected small molecule prevents inflammatory osteolysis through restraining osteoclastogenesis by modulating PTEN activityClin Transl Med.2020 Dec;10(8):e240.  WB、IHC ;  Mouse.  
[IF=7.561] You Zhou. et al. Overexpression of lncRNA TUG1 Alleviates NLRP3 Inflammasome-Mediated Cardiomyocyte Pyroptosis Through Targeting the miR-186-5p/XIAP Axis in Coronary Microembolization-Induced Myocardial Damage. Front Immunol. 2021; 12: 637598  WB ;  Rat.  
[IF=7.376] Meng Sun. et al. Silibinin protects against sepsis and septic myocardial injury in an NR1H3-dependent pathway. FREE RADICAL BIO MED. 2022 Jul;187:141  WB ;  Mouse.  
[IF=7.129] Jingjing Zhang. et al. The inhibition of TRPML1/TFEB leads to lysosomal biogenesis disorder, contributes to developmental fluoride neurotoxicity. ECOTOX ENVIRON SAFE. 2023 Jan;250:114511  WB ;  Rat,Human.  
[IF=6.6] Chinmaya Panda. et al. Aggregated Tau-PHF6 (VQIVYK) Potentiates NLRP3 Inflammasome Expression and Autophagy in Human Microglial Cells. Cells-Basel. 2021 Jul;10(7):1652  ICC ;  Human.  
[IF=6.6] Maryam Baazm. et al. Regulation of Inflammasomes by Application of Omega-3 Polyunsaturated Fatty Acids in a Spinal Cord Injury Model. Cells-Basel. 2021 Nov;10(11):3147  WB ;  Rat.  
[IF=6.543] Wen Lianghe. et al. Melatonin Exerts Cardioprotective Effects by Inhibiting NLRP3 Inflammasome-Induced Pyroptosis in Mice following Myocardial Infarction. Oxid Med Cell Longev. 2021;2021:5387799  WB,IF ;  mouse.  
[IF=6.388] Yuanyuan Chen. et al. Inhibiting mitochondrial inflammation through Drp1/HK1/NLRP3 pathway: A mechanism of alpinetin attenuated aging-associated cognitive impairment. PHYTOTHER RES. 2023 Feb;:  WB,IF ;  Mouse.  
[IF=6.376] Wang, Xiaoying. et al. LncRNA FENDRR with m6A RNA methylation regulates hypoxia-induced pulmonary artery endothelial cell pyroptosis by mediating DRP1 DNA methylation. MOL MED. 2022 Dec;28(1):1-20  WB, IF ;  Human.  
[IF=6.304] Hanwen Li et al. P2Y 14 receptor has a critical role in acute gouty arthritis by regulating pyroptosis of macrophages. Cell Death Dis.2020 May 26;11(5):394.  WB ;  Rat.  
[IF=6.208] Nina Müller. et al. Lipocalin-2 Deficiency Diminishes Canonical NLRP3 Inflammasome Formation and IL-1β Production in the Subacute Phase of Spinal Cord Injury. INT J MOL SCI. 2023 Jan;24(10):8689  WB,IF ;  Mouse.  
[IF=6.187] Debye et al. Neurodegeneration and NLRP3 inflammasome expression in the anterior thalamus of SOD1(G93A) ALS mice. (2016) Brain.Pathol.  IHC-P,IHC-P-IF ;  Mouse.  
[IF=5.895] Xu Yang. et al. T-2 Toxin Caused Mice Testicular Inflammation Injury via ROS-Mediated NLRP3 Inflammasome Activation. J AGR FOOD CHEM. 2022;XXXX(XXX):XXX-XXX  WB ;  Mouse.  
[IF=5.714] Lu Zhan. et al. Honokiol reduces fungal burden and ameliorate inflammation lesions of Aspergillus fumigatus keratitis via Dectin-2 down-regulation. INT IMMUNOPHARMACOL. 2023 May;118:109849  WB ;  Mouse.  
[IF=5.714] Yani He. et al. Glycolytic reprogramming controls periodontitis-associated macrophage pyroptosis via AMPK/SIRT1/NF-κB signaling pathway. INT IMMUNOPHARMACOL. 2023 Jun;119:110192  WB ;  Human.  
[IF=5.589]   WB + ELISA ;  Mouse.  
[IF=5.4] Zendedel, Adib, et al. "Estrogen Attenuates Local Inflammasome Expression and Activation after Spinal Cord Injury." Molecular Neurobiology (2017): 1-12.  WB, IF(IHC-P) ;  Rat.  
[IF=5.4] Heitzer, Marius, et al. "Administration of 17β-Estradiol Improves Motoneuron Survival and Down-regulates Inflammasome Activation in Male SOD1 (G93A) ALS Mice." Molecular Neurobiology: 1-15.  WB ;  Mouse.  
[IF=5.396] Shi-Yong Zhu. et al. Lycopene Ameliorates Atrazine-Induced Pyroptosis in Spleen via Suppressing the Ox-mtDNA/Nlrp3 Inflammasome Pathway. Food Funct. 2021 Nov;:  IF ;  Mouse.  
[IF=5.29] Zendedel, Adib, et al. "Activation and Regulation of NLRP3 Inflammasome by Intrathecal Application of SDF-1a in a Spinal Cord Injury Model." Molecular Neurobiology (2015): 1-13.  WB ;  Rat.  
[IF=5.195] Ming-Hui Li. et al. Fufang Zhenzhu Tiaozhi capsule ameliorates hyperuricemic nephropathy by inhibition of PI3K/AKT/NF-κB pathway. J ETHNOPHARMACOL. 2022 Aug;:115644  WB ;  Mouse.  
[IF=5.195] Yangchun Liu. et al. Nicorandil protects against coronary microembolization-induced myocardial injury by suppressing cardiomyocyte pyroptosis via the AMPK/TXNIP/NLRP3 signaling pathway. EUR J PHARMACOL. 2022 Dec;936:175365  IF, WB ;  Rat.  
[IF=5.195] Zhen Xu. et al. The aqueous extracts of Ageratum conyzoides inhibit inflammation by suppressing NLRP3 inflammasome activation. J ETHNOPHARMACOL. 2023 Jun;309:116353  WB,ICC ;  Mouse,Human.  
[IF=5.195] Qian Zhang. et al. Shiwei Qingwen decoction regulates TLR4/NF-κB signaling pathway and NLRP3 inflammasome to reduce inflammatory response in lipopolysaccharide-induced acute lung injury. J ETHNOPHARMACOL. 2023 Sep;313:116615  WB ;  Rat,Human.  
[IF=5.168] Yu, Chengyuan, et al. "Chronic obstructive sleep apnea promotes aortic remodeling in canines through miR-145/Smad3 signaling pathway." Oncotarget 8.23 (2017): 37705.  WB ;  Dog.  
[IF=5.1] Zhang, Xiaohui, et al. "H3 Relaxin Protects Against Myocardial Injury in Experimental Diabetic Cardiomyopathy by Inhibiting Myocardial Apoptosis, Fibrosis and Inflammation." Cellular Physiology and Biochemistry 43.4 (2017): 1311-1324.  WB ;  Rat.  
[IF=4.966] Hui Che. et al. Melatonin exerts neuroprotective effects by inhibiting neuronal pyroptosis and autophagy in STZ‐induced diabetic mice. Faseb J. 2020 Oct;34(10):14042-14054  WB,IHC ;  Mouse, Human.  
研究领域 肿瘤  心血管  细胞生物  免疫学  信号转导  细胞凋亡  转录调节因子  
抗体来源 Rabbit
克隆类型 Polyclonal
交叉反应 Human,Mouse,Rat
产品应用 WB=1:500-2000,IHC-P=1:100-500,IHC-F=1:100-500,IF=1:100-500
not yet tested in other applications.
optimal dilutions/concentrations should be determined by the end user.
理论分子量 114kDa
检测分子量 120
细胞定位 细胞核 细胞浆 分泌型蛋白 
性    状 Liquid
浓    度 1mg/ml
免 疫 原 KLH conjugated synthetic peptide derived from human Cryopyrin: 15-120/1036 
亚    型 IgG
纯化方法 affinity purified by Protein A
缓 冲 液 0.01M TBS (pH7.4) with 1% BSA, 0.02% Proclin300 and 50% Glycerol.
保存条件 Shipped at 4℃. Store at -20℃ for one year. Avoid repeated freeze/thaw cycles.
注意事项 This product as supplied is intended for research use only, not for use in human, therapeutic or diagnostic applications.
PubMed PubMed
产品介绍 May function as an inducer of apoptosis. Interacts selectively with ASC and this complex may function as an upstream activator of NF-kappa-B signaling. Inhibits TNF-alpha induced activation and nuclear translocation of RELA/NF-KB p65. Also inhibits transcriptional activity of RELA. Activates caspase-1 in response to a number of triggers including bacterial or viral infection which leads to processing and release of IL1B and IL18.

Function:
May function as an inducer of apoptosis. Interacts selectively with ASC and this complex may function as an upstream activator of NF-kappa-B signaling. Inhibits TNF-alpha induced activation and nuclear translocation of RELA/NF-KB p65. Also inhibits transcriptional activity of RELA. Activates caspase-1 in response to a number of triggers including bacterial or viral infection which leads to processing and release of IL1B and IL18.

Subcellular Location:
Cytoplasm.

Tissue Specificity:
Expressed in blood leukocytes. Strongly expressed in polymorphonuclear cells and osteoblasts. Undetectable or expressed at a lower magnitude in B- and T-lymphoblasts, respectively. High level of expression detected in chondrocytes. Detected in non-keratinizing epithelia of oropharynx, esophagus and ectocervix and in the urothelial layer of the bladder.

DISEASE:
Defects in NLRP3 are the cause of familial cold autoinflammatory syndrome type 1 (FCAS1) [MIM:120100]; also known as familial cold urticaria. FCAS are rare autosomal dominant systemic inflammatory diseases characterized by episodes of rash, arthralgia, fever and conjunctivitis after generalized exposure to cold.
Defects in NLRP3 are a cause of Muckle-Wells syndrome (MWS) [MIM:191900]; also known as urticaria-deafness-amyloidosis syndrome. MWS is a hereditary periodic fever syndrome characterized by fever, chronic recurrent urticaria, arthralgias, progressive sensorineural deafness, and reactive renal amyloidosis. The disease may be severe if generalized amyloidosis occurs.
Defects in NLRP3 are the cause of chronic infantile neurologic cutaneous and articular syndrome (CINCA) [MIM:607115]; also known as neonatal onset multisystem inflammatory disease (NOMID). CINCA is a rare congenital inflammatory disorder characterized by a triad of neonatal onset of cutaneous symptoms, chronic meningitis and joint manifestations with recurrent fever and inflammation.

Similarity:
Belongs to the NLRP family.
Contains 1 DAPIN domain.
Contains 9 LRR (leucine-rich) repeats.
Contains 1 NACHT domain.

SWISS:
Q96P20

Gene ID:
114548

Database links:

Entrez Gene: 114548 Human

Entrez Gene: 216799 Mouse

Entrez Gene: 287362 Rat

Omim: 606416 Human

SwissProt: Q96P20 Human

SwissProt: Q8R4B8 Mouse

Unigene: 159483 Human

Unigene: 54174 Mouse




产品图片
RAW264.7 (M) cells were treated with or without LPS (10 µg/ml) for 8h, 25 μg total protein per lane of cell lysates (see on figure) probed with NALP3/CIAS1 polyclonal antibody, unconjugated (bs-10021R) at 1:1000 dilution and 4°C overnight incubation. Followed by conjugated secondary antibody incubation at r.t. for 60 min.
25 ug total protein per lane of various lysates (see on figure) probed with NALP3/CIAS1 polyclonal antibody, unconjugated (bs-10021R) at 1:1000 dilution and 4°C overnight incubation. Followed by conjugated secondary antibody incubation at r.t. for 60 min.
Paraformaldehyde-fixed, paraffin embedded Human Purulent appendicitis; Antigen retrieval by boiling in sodium citrate buffer (pH6.0) for 15 min; Antibody incubation with NALP3/CIAS1 Polyclonal Antibody, Unconjugated (bs-10021R) at 1:200 overnight at 4°C, followed by conjugation to the bs-0295G-HRP and DAB (C-0010) staining.
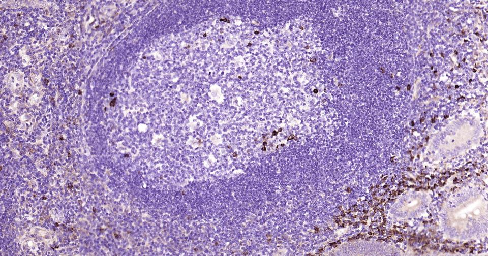
Paraformaldehyde-fixed, paraffin embedded Rat Thymus; Antigen retrieval by boiling in sodium citrate buffer (pH6.0) for 15 min; Antibody incubation with NALP3/CIAS1 Polyclonal Antibody, Unconjugated (bs-10021R) at 1:200 overnight at 4°C, followed by conjugation to the bs-0295G-HRP and DAB (C-0010) staining.
Paraformaldehyde-fixed, paraffin embedded Mouse Thymus; Antigen retrieval by boiling in sodium citrate buffer (pH6.0) for 15 min; Antibody incubation with NALP3/CIAS1 Polyclonal Antibody, Unconjugated (bs-10021R) at 1:200 overnight at 4°C, followed by conjugation to the bs-0295G-HRP and DAB (C-0010) staining.
Paraformaldehyde-fixed, paraffin embedded Rat Spleen; Antigen retrieval by boiling in sodium citrate buffer (pH6.0) for 15 min; Antibody incubation with NALP3/CIAS1 Polyclonal Antibody, Unconjugated (bs-10021R) at 1:200 overnight at 4°C, followed by conjugation to the bs-0295G-HRP and DAB (C-0010) staining.
Paraformaldehyde-fixed, paraffin embedded Mouse Spleen; Antigen retrieval by boiling in sodium citrate buffer (pH6.0) for 15 min; Antibody incubation with NALP3/CIAS1 Polyclonal Antibody, Unconjugated (bs-10021R) at 1:200 overnight at 4°C, followed by conjugation to the bs-0295G-HRP and DAB (C-0010) staining.
Paraformaldehyde-fixed, paraffin embedded Human Chronic inflammatory mastitis; Antigen retrieval by boiling in sodium citrate buffer (pH6.0) for 15 min; Antibody incubation with NALP3/CIAS1 Polyclonal Antibody, Unconjugated (bs-10021R) at 1:200 overnight at 4°C, followed by conjugation to the bs-0295G-HRP and DAB (C-0010) staining.
Paraformaldehyde-fixed, paraffin embedded Human Spleen; Antigen retrieval by boiling in sodium citrate buffer (pH6.0) for 15 min; Antibody incubation with NALP3/CIAS1 Polyclonal Antibody, Unconjugated (bs-10021R) at 1:200 overnight at 4°C, followed by conjugation to the bs-0295G-HRP and DAB (C-0010) staining.
版权所有 2004-2026 www.bioss.com.cn 北京博奥森生物技术有限公司
通过国际质量管理体系ISO 9001:2015 GB/T 19001-2016    证书编号: 00124Q34771R2M/1100
通过国际医疗器械-质量管理体系ISO 13485:2016 GB/T 42061-2022     证书编号: CQC24QY20047R0M/1100
京ICP备05066980号-1         京公网安备110107000727号