扫码关注公众号           扫码咨询技术支持           扫码咨询技术服务
  
客服热线:400-901-9800  客服QQ:4009019800  技术答疑  技术支持  质量反馈  关于我们  联系我们
产品中心-北京博奥森生物技术有限公司
首页 > 产品中心 > 一抗 > 产品信息
phospho-GluR1 (Ser863) Rabbit pAb (bs-11632R)  
订购热线:400-901-9800
订购邮箱:sales@bioss.com.cn
订购QQ:  400-901-9800
技术支持:techsupport@bioss.com.cn
50ul/1180.00元
100ul/1980.00元
200ul/2800.00元
大包装/询价

产品编号 bs-11632R
英文名称 phospho-GluR1 (Ser863) Rabbit pAb
中文名称 磷酸化谷氨酸受体1抗体
别    名 p-GluR-1(Ser 863); p-GluR1(Ser863); Glutamate Receptor 1(phospho S863); Glutamate Receptor 1(phospho Ser863); GLUR 1; GLUR A; AMPA 1; GluR-1; AMPA selective glutamate receptor 1; AMPA-selective glutamate receptor 1; GluA1; GLUH 1; GLUH1; GluR K1; GluR-1; GluR-A; GluR-K1; GLUR1; GLURA; GluRK1; Glutamate receptor 1; Glutamate receptor ionotropic AMPA 1; Glutamate receptor ionotropic; Glutamate receptor, ionotropic, AMPA 1; Gria 1; Gria1; GRIA1_HUMAN; HBGR1; MGC133252; OTTHUMP00000160643; OTTHUMP00000165781; OTTHUMP00000224241; OTTHUMP00000224242; OTTHUMP00000224243.  
产品类型 磷酸化抗体 
研究领域 肿瘤  细胞生物  免疫学  神经生物学  信号转导  转录调节因子  细胞膜受体  
抗体来源 Rabbit
克隆类型 Polyclonal
克 隆 号
交叉反应 Human,Mouse,Rat (predicted: Rabbit,Pig,Sheep,Cow,Dog,Horse)
产品应用 IHC-P=1:100-500,IHC-F=1:100-500,IF=1:100-500
not yet tested in other applications.
optimal dilutions/concentrations should be determined by the end user.
理论分子量 98 kDa
检测分子量
细胞定位 细胞浆 细胞膜 
性    状 Liquid
浓    度 1mg/ml
免 疫 原 KLH conjugated synthesised phosphopeptide derived from human GluR1 around the phosphorylation site of Ser863: RN(p-S)GA 
亚    型 IgG
纯化方法 affinity purified by Protein A
缓 冲 液 0.01M TBS (pH7.4) with 1% BSA, 0.02% Proclin300 and 50% Glycerol.
保存条件 Shipped at 4℃. Store at -20℃ for one year. Avoid repeated freeze/thaw cycles.
注意事项 This product as supplied is intended for research use only, not for use in human, therapeutic or diagnostic applications.
PubMed PubMed
产品介绍 Glutamate receptors are the predominant excitatory neurotransmitter receptors in the mammalian brain and are activated in a variety of normal neurophysiologic processes. These receptors are heteromeric protein complexes with multiple subunits, each possessing transmembrane regions, and all arranged to form a ligand-gated ion channel. The classification of glutamate receptors is based on their activation by different pharmacologic agonists. This gene belongs to a family of alpha-amino-3-hydroxy-5-methyl-4-isoxazole propionate (AMPA) receptors. Alternatively spliced transcript variants encoding different isoforms have been found for this gene. [provided by RefSeq, Jul 2008].

Function:
Ionotropic glutamate receptor. L-glutamate acts as an excitatory neurotransmitter at many synapses in the central nervous system. Binding of the excitatory neurotransmitter L-glutamate induces a conformation change, leading to the opening of the cation channel, and thereby converts the chemical signal to an electrical impulse. The receptor then desensitizes rapidly and enters a transient inactive state, characterized by the presence of bound agonist.

Subunit:
Homotetramer or heterotetramer of pore-forming glutamate receptor subunits. Tetramers may be formed by the dimerization of dimers. Interacts with DLG1 via its C-terminus. Interacts with SYNDIG1 and GRIA2. Interacts with LRFN. Interacts with HIP1 and RASGRF2. Found in a complex with GRIA2, GRIA3, GRIA4, CNIH2, CNIH3, CACNG2, CACNG3, CACNG4, CACNG5, CACNG7 and CACNG8. Interacts with CACNG5. Interacts with CNIH2 and CACNG2.

Subcellular Location:
Cell membrane. Endoplasmic reticulum membrane.

Tissue Specificity:
Widely expressed in brain.

Post-translational modifications:
Palmitoylated. Depalmitoylated upon glutamate stimulation. Cys-603 palmitoylation leads to Golgi retention and decreased cell surface expression. In contrast, Cys-829 palmitoylation does not affect cell surface expression but regulates stimulation-dependent endocytosis.

Similarity:
Belongs to the glutamate-gated ion channel (TC 1.A.10.1) family. GRIA1 subfamily.

SWISS:
P42261

Gene ID:
2890

Database links:

Entrez Gene: 2890 Human

Entrez Gene: 14799 Mouse

Entrez Gene: 50592 Rat

Omim: 138248 Human

SwissProt: P42261 Human

SwissProt: P23818 Mouse

SwissProt: P19490 Rat

Unigene: 519693 Human

Unigene: 4920 Mouse

Unigene: 29971 Rat



产品图片
Paraformaldehyde-fixed, paraffin embedded (human glioma tissue); Antigen retrieval by boiling in sodium citrate buffer (pH6.0) for 15min; Block endogenous peroxidase by 3% hydrogen peroxide for 20 minutes; Blocking buffer (normal goat serum) at 37°C for 30min; Antibody incubation with (GluR1 (Ser863)) Polyclonal Antibody, Unconjugated (bs-11632R) at 1:400 overnight at 4°C, followed by operating according to SP Kit(Rabbit) (sp-0023) instructionsand DAB staining.
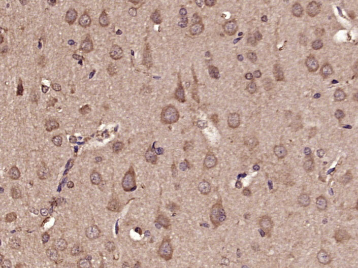
Paraformaldehyde-fixed, paraffin embedded (mouse brain tissue); Antigen retrieval by boiling in sodium citrate buffer (pH6.0) for 15min; Block endogenous peroxidase by 3% hydrogen peroxide for 20 minutes; Blocking buffer (normal goat serum) at 37°C for 30min; Antibody incubation with (GluR1 (Ser863)) Polyclonal Antibody, Unconjugated (bs-11632R) at 1:400 overnight at 4°C, followed by operating according to SP Kit(Rabbit) (sp-0023) instructionsand DAB staining.
Paraformaldehyde-fixed, paraffin embedded (rat brain tissue); Antigen retrieval by boiling in sodium citrate buffer (pH6.0) for 15min; Block endogenous peroxidase by 3% hydrogen peroxide for 20 minutes; Blocking buffer (normal goat serum) at 37°C for 30min; Antibody incubation with (GluR1 (Ser863)) Polyclonal Antibody, Unconjugated (bs-11632R) at 1:400 overnight at 4°C, followed by operating according to SP Kit(Rabbit) (sp-0023) instructionsand DAB staining.
版权所有 2004-2026 www.bioss.com.cn 北京博奥森生物技术有限公司
通过国际质量管理体系ISO 9001:2015 GB/T 19001-2016    证书编号: 00124Q34771R2M/1100
通过国际医疗器械-质量管理体系ISO 13485:2016 GB/T 42061-2022     证书编号: CQC24QY20047R0M/1100
京ICP备05066980号-1         京公网安备110107000727号