扫码关注公众号           扫码咨询技术支持           扫码咨询技术服务
  
客服热线:400-901-9800  客服QQ:4009019800  技术答疑  技术支持  质量反馈  人才招聘  关于我们  联系我们
产品中心-北京博奥森生物技术有限公司
首页 > 产品中心 > 一抗 > 产品信息
FISH Rabbit pAb (bs-11645R)  
订购热线:400-901-9800
订购邮箱:sales@bioss.com.cn
订购QQ:  400-901-9800
技术支持:techsupport@bioss.com.cn
50ul/1180.00元
100ul/1980.00元
200ul/2800.00元
大包装/询价

产品编号 bs-11645R
英文名称 FISH Rabbit pAb
中文名称 FISH蛋白抗体
别    名 FISH; SH3MD1; TKS5; SPD2A_HUMAN; SH3PXD2A; Adapter protein TKS5; Five SH3 domain-containing protein; SH3 multiple domains protein 1; Tyrosine kinase substrate with five SH3 domains; KIAA0418;   
研究领域 肿瘤  细胞生物  免疫学  神经生物学  信号转导  激酶和磷酸酶  
抗体来源 Rabbit
克隆类型 Polyclonal
克 隆 号
交叉反应 Rat (predicted: Human,Mouse)
产品应用 IHC-P=1:100-500,IHC-F=1:100-500,IF=1:100-500
not yet tested in other applications.
optimal dilutions/concentrations should be determined by the end user.
理论分子量 125 kDa
细胞定位 细胞浆 
性    状 Liquid
浓    度 1mg/ml
免 疫 原 KLH conjugated synthetic peptide derived from human FISH: 261-360/1133 
亚    型 IgG
纯化方法 affinity purified by Protein A
缓 冲 液 0.01M TBS (pH7.4) with 1% BSA, 0.02% Proclin300 and 50% Glycerol.
保存条件 Shipped at 4℃. Store at -20℃ for one year. Avoid repeated freeze/thaw cycles.
注意事项 This product as supplied is intended for research use only, not for use in human, therapeutic or diagnostic applications.
PubMed PubMed
产品介绍 Fish, a potential Src substrate, is a broadly expressed adaptor protein containing five SH3 domains and a phox homology (PX) domain (1). The Src family of protein tyrosine kinases act in signal transduction pathways (2-4). Src kinases vary in expression but are strongly regulated in vivo; catalytic activity is repressed by interacting with the SH3 domain (5-7). In Src-transformed fibroblasts and in normal cells treated with certain growth factors fish is tyrosine-phosphorylated (1). Treatment of cells with cytochalasin D results in rapid tyrosine phosphorylation of fish, along with activation of Src (1). Fish is likely to be involved in tyrosine kinase signaling and may have a role in cytoskeletal changes (1).

Function:
Adapter protein involved in invadopodia and podosome formation, extracellular matrix degradation and invasiveness of some cancer cells. Binds matrix metalloproteinases (ADAMs), NADPH oxidases (NOXs) and phosphoinositides. Acts as an organizer protein that allows NOX1- or NOX3-dependent reactive oxygen species (ROS) generation and ROS localization. In association with ADAM12, mediates the neurotoxic effect of beta-amyloid peptide.

Subunit:
Interacts (via N-terminus) with CYBA (By similarity). Interacts with ADAM12, ADAM15 and ADAM19. Interacts with NOXO1. Interacts (via SH3 domains) with NOXA1. Interacts with FASLG.

Subcellular Location:
Cytoplasm. Cell projection > podosome. Cytoplasmic in normal cells and localizes to podosomes in SRC-transformed cells.

Tissue Specificity:
Found in several cancer cell lines, particularly invasive breast carcinomas and melanomas.

Post-translational modifications:
Tyrosine phosphorylated by SRC. Phosphorylation plays a regulatory role in the protein localization. The intramolecular interaction of the PX domain with the third SH3 domain maintains the protein in the cytoplasm and phosphorylation disrupts this interaction, resulting in the redistribution of the protein from cytoplasm to the perimembrane region. Phosphorylated on serine upon DNA damage, probably by ATM or ATR.

Similarity:
Belongs to the SH3PXD2 family.
Contains 1 PX (phox homology) domain.
Contains 5 SH3 domains.

SWISS:
Q5TCZ1

Gene ID:
9644

Database links:

Entrez Gene: 9644 Human

SwissProt: Q5TCZ1 Human

Unigene: 594708 Human

Unigene: 728193 Human



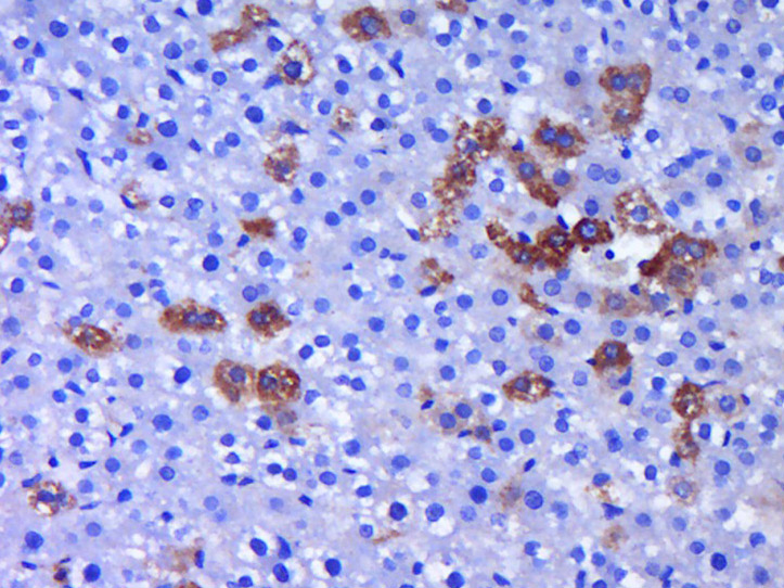
产品图片
Paraformaldehyde-fixed, paraffin embedded (Rat liver); Antigen retrieval by boiling in sodium citrate buffer (pH6.0) for 15min; Block endogenous peroxidase by 3% hydrogen peroxide for 20 minutes; Blocking buffer (normal goat serum) at 37°C for 30min; Antibody incubation with (FISH) Polyclonal Antibody, Unconjugated (bs-11645R) at 1:400 overnight at 4°C, followed by operating according to SP Kit(Rabbit) (sp-0023) instructionsand DAB staining.
版权所有 2004-2026 www.bioss.com.cn 北京博奥森生物技术有限公司
通过国际质量管理体系ISO 9001:2015 GB/T 19001-2016    证书编号: 00124Q34771R2M/1100
通过国际医疗器械-质量管理体系ISO 13485:2016 GB/T 42061-2022     证书编号: CQC24QY20047R0M/1100
京ICP备05066980号-1         京公网安备110107000727号